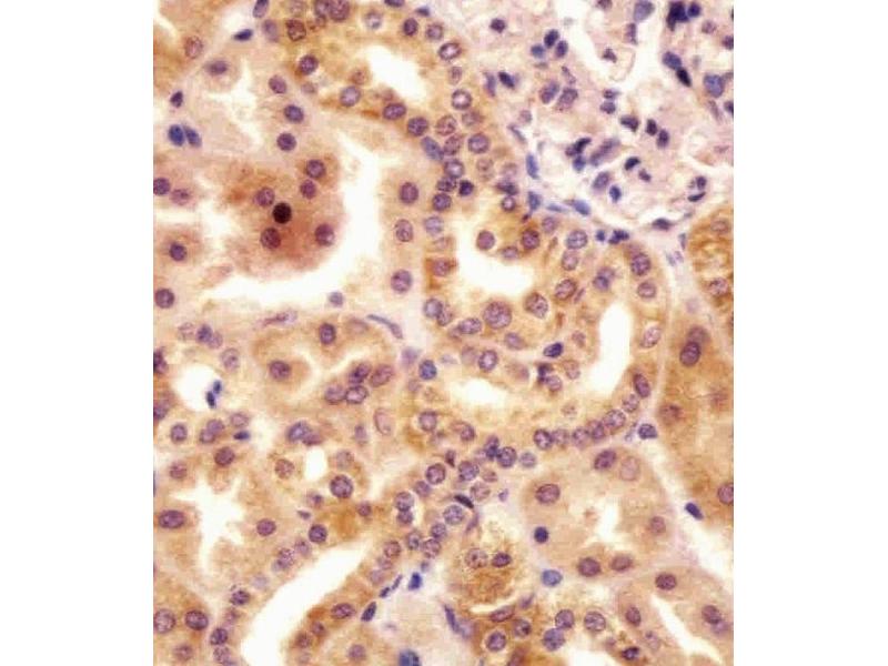
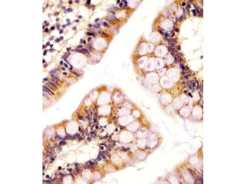
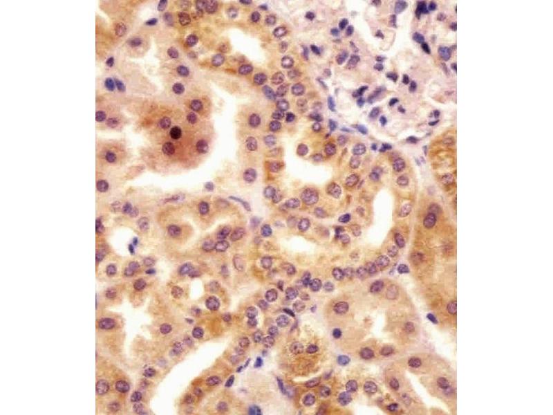
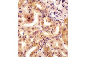
RSBN1 antibody (N-Term)
Quick Overview for RSBN1 antibody (N-Term) (ABIN655484)
Target
Reactivity
Host
Clonality
Conjugate
Application
Clone
-
-
Binding Specificity
- AA 51-78, N-Term
-
Purification
- This antibody is purified through a protein A column, followed by peptide affinity purification.
-
Immunogen
- This RSBN1 antibody is generated from rabbits immunized with a KLH conjugated synthetic peptide between 51-78 amino acids from the N-terminal region of human RSBN1.
-
Isotype
- Ig Fraction
-
-
-
-
Application Notes
- WB: 1:2000. WB: 1:1000. WB: 1:2000. IHC-P: 1:10~50. IHC-P: 1:25. IHC-P: 1:25. FC: 1:10~50
-
Restrictions
- For Research Use only
-
-
-
Format
- Liquid
-
Buffer
- Purified polyclonal antibody supplied in PBS with 0.09 % (W/V) sodium azide.
-
Preservative
- Sodium azide
-
Precaution of Use
- This product contains Sodium azide: a POISONOUS AND HAZARDOUS SUBSTANCE which should be handled by trained staff only.
-
Storage
- 4 °C,-20 °C
-
Storage Comment
- Maintain refrigerated at 2-8 °C for up to 6 months. For long term storage store at -20 °C in small aliquots to prevent freeze-thaw cycles.
-
Expiry Date
- 6 months
-
-
-