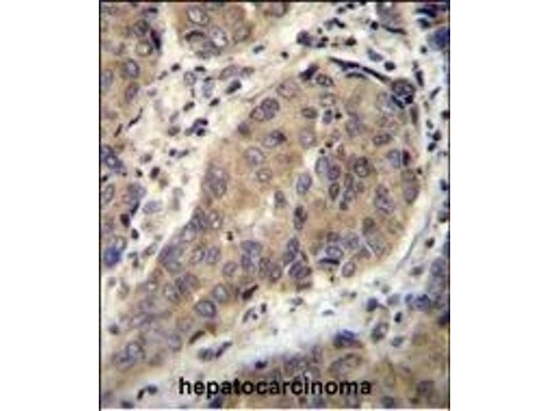
The Rabbit Polyclonal anti-WTIP antibody (Clone RB29854) (ABIN655782) specifically detects WTIP in WB, IF and IHC (p).
The antibody is reactive with Human samples.
Purified polyclonal antibody supplied in PBS with 0.09 % (W/V) sodium azide.
Preservative
Sodium azide
Precaution of Use
This product contains Sodium azide: a POISONOUS AND HAZARDOUS SUBSTANCE which should be handled by trained staff only.
Storage
4 °C,-20 °C
Storage Comment
Maintain refrigerated at 2-8 °C for up to 6 months. For long term storage store at -20 °C in small aliquots to prevent freeze-thaw cycles.
Expiry Date
6 months
Target
WTIP
(Wilms Tumor 1 Interacting Protein (WTIP))
Alternative Name
WTIP
Background
WTIP may monitor slit diaphragm protein assembly, a specialized adherens junction characteristic of podocytes. In case of podocyte injury, it shuttles into the nucleus and acts as a transcription regulator that represses WT1-dependent transcription regulation, thereby translating changes in slit diaphragm structure into altered gene expression and a less differentiated phenotype (By similarity).