Phone:
+1 877 302 8632
Fax:
+1 888 205 9894 (Toll-free)
E-Mail:
orders@antibodies-online.com

C7ORF25 antibody (N-Term)

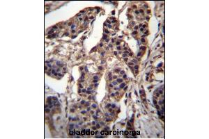
This Rabbit Polyclonal antibody specifically detects C7ORF25 in WB and IHC (p). It exhibits reactivity toward Human.
Catalog No. ABIN657088
$451.00
Plus shipping costs $50.00
Shipping to: United States
Delivery in 10 to 12 Business Days

Quick Overview for C7ORF25 antibody (N-Term) (ABIN657088)

Target

C7ORF25 (Chromosome 7 Open Reading Frame 25 (C7ORF25))

Reactivity

  • 15
  • 8
Human

Host

  • 23
Rabbit

Clonality

  • 23
Polyclonal

Conjugate

  • 4
  • 2
  • 2
  • 2
  • 1
  • 1
  • 1
  • 1
  • 1
  • 1
  • 1
  • 1
  • 1
  • 1
  • 1
  • 1
  • 1
This C7ORF25 antibody is un-conjugated

Application

  • 23
  • 13
  • 13
  • 10
  • 8
  • 4
  • 3
  • 1
Western Blotting (WB), Immunohistochemistry (Paraffin-embedded Sections) (IHC (p))

Clone

RB32719
You are here:
Chat with us!