Phone:
+1 877 302 8632
Fax:
+1 888 205 9894 (Toll-free)
E-Mail:
orders@antibodies-online.com

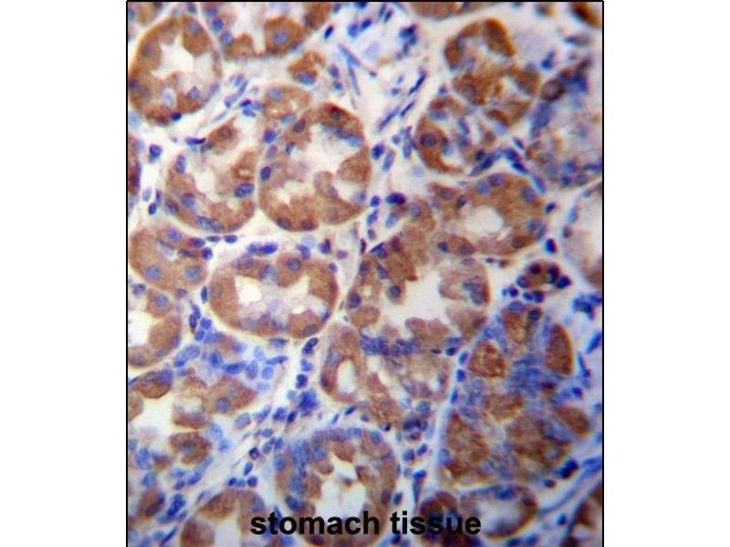
WDR89 antibody (C-Term)

This Rabbit Polyclonal antibody specifically detects WDR89 in WB and IHC (p). It exhibits reactivity toward Human.
Catalog No. ABIN657331
$451.00
Plus shipping costs $50.00
Shipping to: United States
Delivery in 10 to 12 Business Days

Quick Overview for WDR89 antibody (C-Term) (ABIN657331)

Target

WDR89 (WD Repeat Domain 89 (WDR89))

Reactivity

  • 18
  • 2
  • 2
  • 2
  • 2
  • 2
  • 2
  • 1
  • 1
  • 1
Human

Host

  • 18
Rabbit

Clonality

  • 18
Polyclonal

Conjugate

  • 9
  • 3
  • 2
  • 2
  • 1
  • 1
This WDR89 antibody is un-conjugated

Application

  • 11
  • 11
  • 10
  • 2
  • 1
Western Blotting (WB), Immunohistochemistry (Paraffin-embedded Sections) (IHC (p))

Clone

RB33353
You are here:
Chat with us!