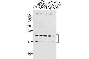
Western Blotting (WB), Immunohistochemistry (Paraffin-embedded Sections) (IHC (p))
Clone
RB32985
Binding Specificity
AA 105-133, C-Term
Predicted Reactivity
Zf, B
Purification
This antibody is purified through a protein A column, followed by peptide affinity purification.
Immunogen
This UBE2W antibody is generated from rabbits immunized with a KLH conjugated synthetic peptide between 105-133 amino acids from the C-terminal region of human UBE2W.
Purified polyclonal antibody supplied in PBS with 0.09 % (W/V) sodium azide.
Preservative
Sodium azide
Precaution of Use
This product contains Sodium azide: a POISONOUS AND HAZARDOUS SUBSTANCE which should be handled by trained staff only.
Storage
4 °C,-20 °C
Storage Comment
UBE2W Antibody (C-term) can be refrigerated at 2-8 °C for up to 6 months. For long term storage, place the at -20 °C.
Expiry Date
6 months
Target
UBE2W
(Ubiquitin-Conjugating Enzyme E2W (UBE2W))
Alternative Name
UBE2W
Background
UBE2W accepts ubiquitin from the E1 complex and catalyzes its covalent attachment to other proteins. In vitro catalyzes monoubiquitination and 'Lys-11'-linked polyubiquitination.