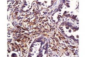
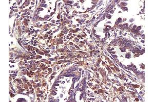
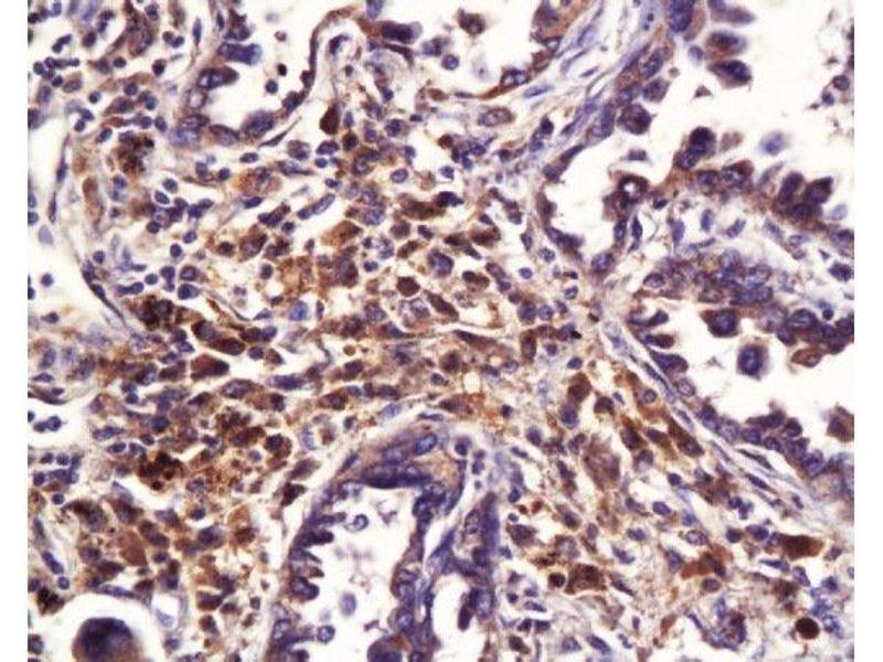
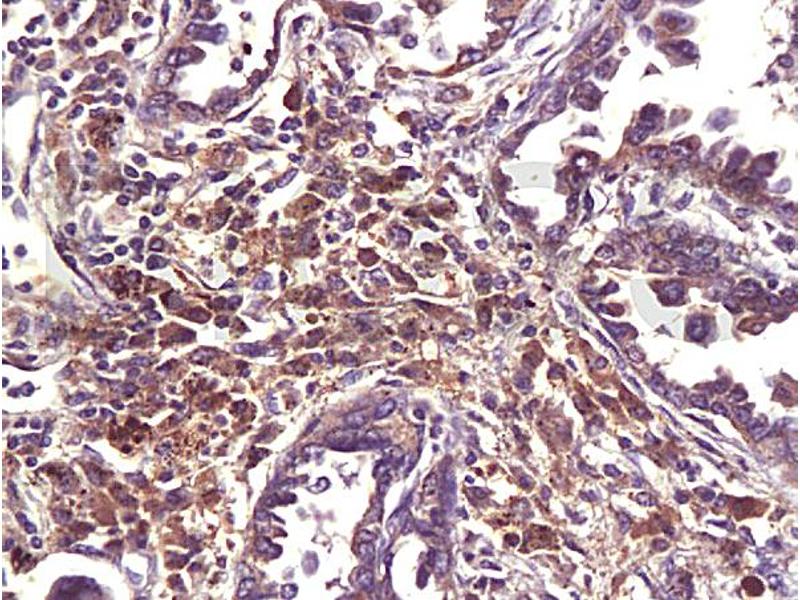
ATP-Binding Cassette, Sub-Family B (MDR/TAP), Member 1B (ABCB1B) (AA 21-100) antibody
Quick Overview for ATP-Binding Cassette, Sub-Family B (MDR/TAP), Member 1B (ABCB1B) (AA 21-100) antibody (ABIN670161)
Target
See all ATP-Binding Cassette, Sub-Family B (MDR/TAP), Member 1B (ABCB1B) AntibodiesReactivity
Host
Clonality
Conjugate
Application
-
-
Binding Specificity
- AA 21-100
-
Cross-Reactivity
- Human, Mouse, Rat
-
Purification
- Purified by Protein A.
-
Immunogen
- KLH conjugated synthetic peptide derived from mouse MDR1
-
Isotype
- IgG
-
-
-
-
Application Notes
-
WB 1:300-5000
ELISA 1:500-1000
FCM 1:20-100
IHC-P 1:200-400
IHC-F 1:100-500
IF(IHC-P) 1:50-200
IF(IHC-F) 1:50-200
IF(ICC) 1:50-200 -
Restrictions
- For Research Use only
-
-
-
Format
- Liquid
-
Concentration
- 1 μg/μL
-
Buffer
- 0.01M TBS( pH 7.4) with 1 % BSA, 0.02 % Proclin300 and 50 % Glycerol.
-
Preservative
- ProClin
-
Precaution of Use
- This product contains ProClin: a POISONOUS AND HAZARDOUS SUBSTANCE, which should be handled by trained staff only.
-
Storage
- 4 °C,-20 °C
-
Storage Comment
- Shipped at 4°C. Store at -20°C for one year. Avoid repeated freeze/thaw cycles.
-
Expiry Date
- 12 months
-
-
-
: "The impact of insulin on chemotherapeutic sensitivity to 5-fluorouracil in gastric cancer cell lines SGC7901, MKN45 and MKN28." in: Journal of experimental & clinical cancer research : CR, Vol. 34, pp. 64, (2016) (PubMed).
: "MicroRNA-186 induces sensitivity of ovarian cancer cells to paclitaxel and cisplatin by targeting ABCB1." in: Journal of ovarian research, Vol. 8, pp. 80, (2016) (PubMed).
: "Development of a novel orthotopic non-small cell lung cancer model and therapeutic benefit of 2'-(2-bromohexadecanoyl)-docetaxel conjugate nanoparticles." in: Nanomedicine : nanotechnology, biology, and medicine, Vol. 10, Issue 7, pp. 1497-506, (2014) (PubMed).
: "The expression and significance of P-glycoprotein, lung resistance protein and multidrug resistance-associated protein in gastric cancer." in: Journal of experimental & clinical cancer research : CR, Vol. 28, pp. 144, (2009) (PubMed).
-
-
- ATP-Binding Cassette, Sub-Family B (MDR/TAP), Member 1B (ABCB1B)
-
Alternative Name
- MDR1
-
Background
-
Synonyms: Pgp, P-gp, Evi32, Mdr1a, Multidrug resistance protein 1A, ATP-binding cassette sub-family B member 1A, Abcb1a
Background: Energy-dependent efflux pump responsible for decreased drug accumulation in multidrug-resistant cells.
-
Gene ID
- 18671
-
UniProt
- P21447
Target
-