Phone:
+1 877 302 8632
Fax:
+1 888 205 9894 (Toll-free)
E-Mail:
orders@antibodies-online.com

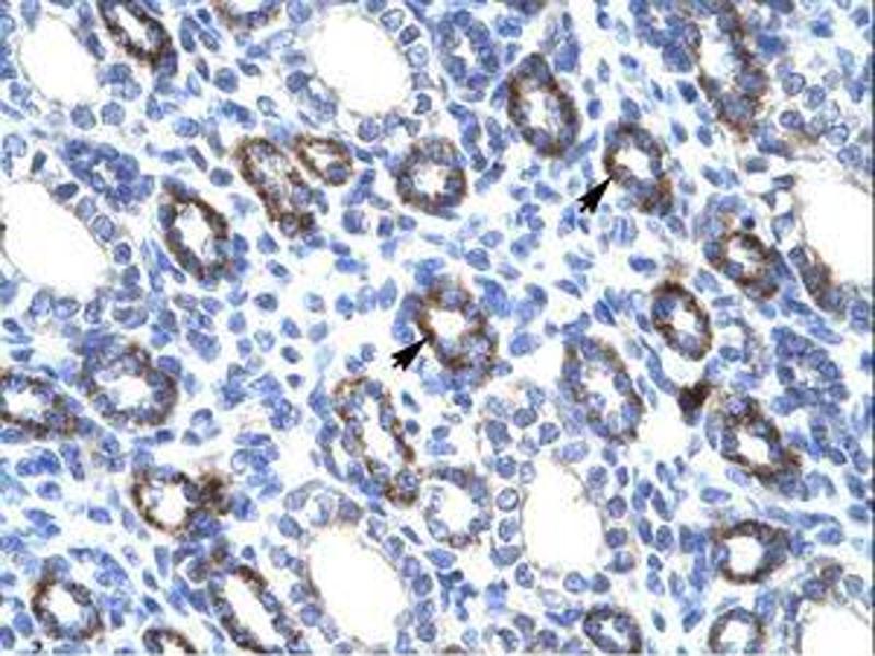
RGS6 antibody (AA 398-447)

The Rabbit Polyclonal anti-RGS6 antibody is suitable to detect RGS6 in samples from Human, Rat, Mouse, Dog, Cow, Guinea Pig, Horse, Zebrafish (Danio rerio), Bat and Monkey. It has been validated for WB and IHC.
Catalog No. ABIN6735894
$690.07
Plus shipping costs $50.00
100 μL
Shipping to: United States
Delivery in 11 to 15 Business Days

Quick Overview for RGS6 antibody (AA 398-447) (ABIN6735894)

Target

See all RGS6 Antibodies
RGS6 (Regulator of G-Protein Signaling 6 (RGS6))

Reactivity

Human, Rat, Mouse, Dog, Cow, Guinea Pig, Horse, Zebrafish (Danio rerio), Bat, Monkey

Host

  • 24
  • 3
  • 1
Rabbit

Clonality

  • 22
  • 6
Polyclonal

Conjugate

  • 24
  • 2
  • 1
  • 1
This RGS6 antibody is un-conjugated

Application

  • 21
  • 12
  • 11
  • 4
  • 4
  • 2
  • 2
  • 2
  • 1
Western Blotting (WB), Immunohistochemistry (IHC)
  • Binding Specificity

    • 6
    • 3
    • 3
    • 3
    • 1
    • 1
    • 1
    AA 398-447

    Specificity

    Human RGS6

    Predicted Reactivity

    Percent identity by BLAST analysis: Human, Mouse, Rat, Dog, Bovine, Horse, Guinea pig (100%) Rabbit, Chicken (92%) Xenopus, Zebrafish (85%).

    Purification

    Immunoaffinity purified

    Immunogen

    Synthetic peptide located between aa398-447 of human RGS6 (P49758-4, NP_004287). Percent identity by BLAST analysis: Human, Chimpanzee, Gorilla, Orangutan, Gibbon, Monkey, Galago, Marmoset, Mouse, Rat, Elephant, Panda, Dog, Bovine, Bat, Horse, Guinea pig (100%), Rabbit, Opossum, Turkey, Chicken, Platypus (92%), Xenopus, Zebrafish (85%).

    Type of Immunogen: Synthetic peptide

    Isotype

    IgG
  • Application Notes

    Approved: IHC, WB (0.2 - 1 μg/mL)

    Not recommended for: IHC-P

    Comment

    Target Species of Antibody: Human

    Restrictions

    For Research Use only
  • Format

    Lyophilized

    Reconstitution

    After adding water, will consist of PBS buffer with 2 % sucrose

    Concentration

    Lot specific

    Buffer

    Lyophilized from PBS with 2 % sucrose

    Handling Advice

    Avoid repeat freeze-thaw cycles.

    Storage

    4 °C,-20 °C

    Storage Comment

    Long term: -20°C, the use of 50% glycerol is recommended if storing aliquots in -20°C for long term use (up to 1 year)
    Short term (less than 1 week): 4°C. Avoid freeze-thaw cycles.
  • Target

    RGS6 (Regulator of G-Protein Signaling 6 (RGS6))

    Alternative Name

    RGS6

    Background

    Name/Gene ID: RGS6
    Family: Regulator of G-protein signalling

    Synonyms: RGS6, GAP, GTPase activating protein, S914, H_DJ1108A12.1, WUGSC:H_DJ0283M22.1, WUGSC:H_DJ1108A12.1

    Gene ID

    9628

    NCBI Accession

    NP_004287

    UniProt

    P49758

    Pathways

    Myometrial Relaxation and Contraction, Regulation of G-Protein Coupled Receptor Protein Signaling
You are here:
Chat with us!