GABRP antibody (AA 28-77)
Quick Overview for GABRP antibody (AA 28-77) (ABIN6736387)
Target
See all GABRP AntibodiesReactivity
Host
Clonality
Conjugate
Application
-
-
Binding Specificity
- AA 28-77
-
Specificity
- Human GABRP
-
Predicted Reactivity
- Percent identity by BLAST analysis: Human, Mouse, Rat, Dog, Rabbit, Horse (100%).
-
Purification
- Immunoaffinity purified
-
Immunogen
-
Synthetic peptide located between aa28-77 of human GABRP (O00591, NP_055026). Percent identity by BLAST analysis: Human, Chimpanzee, Gorilla, Monkey, Marmoset, Mouse, Rat, Panda, Dog, Rabbit, Horse, Pig (100%), Gibbon, Galago, Elephant, Bovine, Guinea pig (92%), Opossum, Platypus (85%), Turkey (84%).
Type of Immunogen: Synthetic peptide
-
-
-
-
Application Notes
-
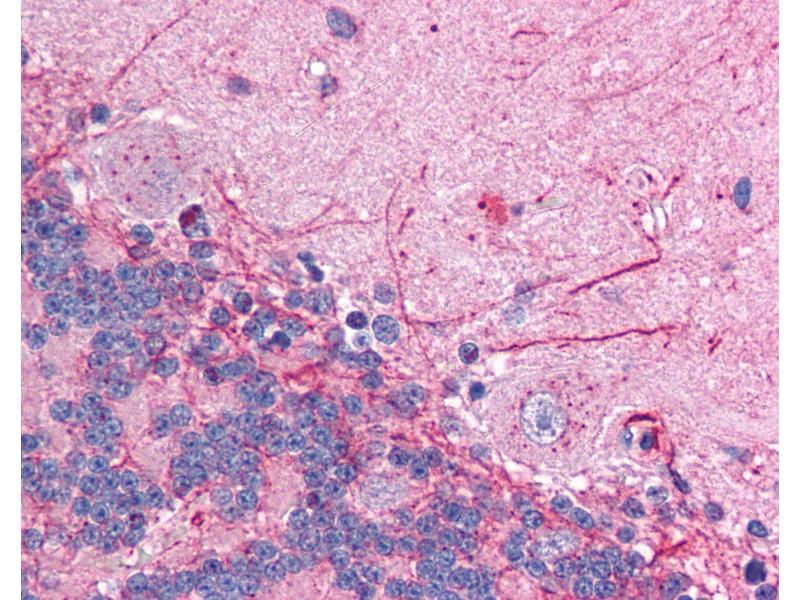
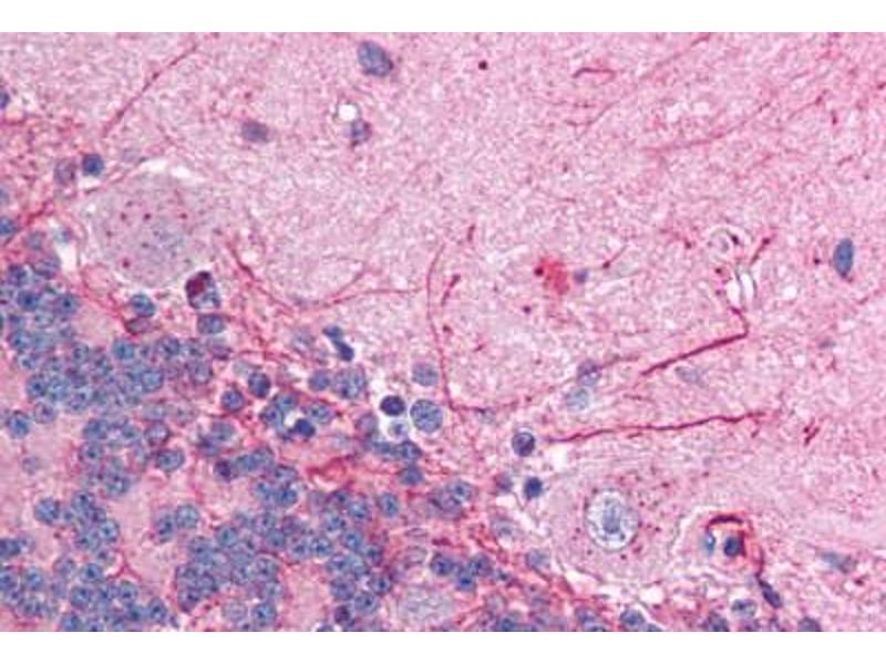
Approved: IHC, IHC-P (2.5 μg/mL), WB (0.2 - 1 μg/mL)
Usage: Immunohistochemistry: This antibody was validated for use in immunohistochemistry on a panel of 21 formalin-fixed, paraffin-embedded (FFPE) human tissues after heat induced antigen retrieval in pH 6.0 citrate buffer. After incubation with the primary antibody, slides were incubated with biotinylated secondary antibody, followed by alkaline phosphatase-streptavidin and chromogen. The stained slides were evaluated by a pathologist to confirm staining specificity. The optimal working concentration for this antibody was determined to be 2.5 μg/mL. -
Comment
-
Target Species of Antibody: Human
-
Restrictions
- For Research Use only
-
-
-
Format
- Lyophilized
-
Reconstitution
- Distilled water
-
Concentration
- Lot specific
-
Buffer
- Lyophilized from PBS with 2 % sucrose
-
Handling Advice
- Avoid repeated freezing and thawing.
-
Storage
- 4 °C,-20 °C
-
Storage Comment
- Short term: 4°C. Long term: Store at -20°C. Avoid freeze-thaw cycles.
-
-
- GABRP (gamma-aminobutyric Acid (GABA) A Receptor, pi (GABRP))
-
Alternative Name
- GABRP
-
Background
-
Name/Gene ID: GABRP
Subfamily: GABA A receptor
Family: Ion Channel
Synonyms: GABRP, GABA(A) receptor, pi, GABA A receptor pi, GABA(A) receptor subunit pi -
Gene ID
- 2568
-
NCBI Accession
- NP_055026
-
UniProt
- O00591
Target
-