Phone:
+1 877 302 8632
Fax:
+1 888 205 9894 (Toll-free)
E-Mail:
orders@antibodies-online.com

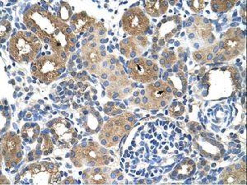
DCXR antibody (AA 151-200)

The Rabbit Polyclonal anti-DCXR antibody is suitable to detect DCXR in samples from Human, Mouse, Rat, Cow, Guinea Pig, Horse, Zebrafish (Danio rerio), Hamster and Monkey. It has been validated for WB, IHC and IHC (p).
Catalog No. ABIN6736636
$690.07
Plus shipping costs $50.00
100 μL
Shipping to: United States
Delivery in 11 to 15 Business Days

Quick Overview for DCXR antibody (AA 151-200) (ABIN6736636)

Target

See all DCXR Antibodies
DCXR (Dicarbonyl/L-Xylulose Reductase (DCXR))

Reactivity

Human, Mouse, Rat, Cow, Guinea Pig, Horse, Zebrafish (Danio rerio), Hamster, Monkey

Host

  • 21
  • 8
  • 1
Rabbit

Clonality

  • 24
  • 6
Polyclonal

Conjugate

  • 23
  • 1
  • 1
  • 1
  • 1
  • 1
  • 1
  • 1
This DCXR antibody is un-conjugated

Application

  • 23
  • 11
  • 8
  • 6
  • 5
  • 2
  • 1
  • 1
  • 1
Western Blotting (WB), Immunohistochemistry (IHC), Immunohistochemistry (Paraffin-embedded Sections) (IHC (p))
  • Binding Specificity

    • 5
    • 3
    • 2
    • 2
    • 2
    • 1
    • 1
    • 1
    AA 151-200

    Specificity

    Human DCXR

    Predicted Reactivity

    Percent identity by BLAST analysis: Human, Mouse, Rat, Bovine, Horse, Guinea pig (100%) Dog, Chicken (92%) Xenopus, Zebrafish (85%).

    Purification

    Immunoaffinity purified

    Immunogen

    Synthetic peptide located between aa151-200 of human DCXR (Q7Z4W1, NP_057370). Percent identity by BLAST analysis: Human, Gorilla, Gibbon, Monkey, Galago, Marmoset, Mouse, Rat, Hamster, Bovine, Horse, Guinea pig (100%), Dog, Pig, Opossum, Turkey, Zebra finch, Chicken (92%), Xenopus (90%), Sablefish, Stickleback, Zebrafish, Drosophila, Beetle (85%).

    Type of Immunogen: Synthetic peptide

    Isotype

    IgG
  • Application Notes

    Approved: IHC, IHC-P, WB (0.2 - 1 μg/mL)

    Comment

    Target Species of Antibody: Human

    Restrictions

    For Research Use only
  • Format

    Lyophilized

    Reconstitution

    Distilled water

    Concentration

    Lot specific

    Buffer

    Lyophilized from PBS with 2 % sucrose

    Storage

    4 °C,-20 °C

    Storage Comment

    Long term: -20°C, the use of 50% glycerol is recommended if storing aliquots in -20°C for long term use (up to 1 year)
    Short term (less than 1 week): 4°C. Avoid freeze-thaw cycles.
  • Target

    DCXR (Dicarbonyl/L-Xylulose Reductase (DCXR))

    Alternative Name

    DCXR

    Background

    Name/Gene ID: DCXR

    Synonyms: DCXR, Carbonyl reductase 2, DCR, HCR2, HCRII, L-xylulose reductase, XR, Carbonyl reductase II, KIDCR, Kidney dicarbonyl reductase, p34H, SDR20C1, Sperm surface protein P34H

    Gene ID

    51181

    NCBI Accession

    NP_057370

    UniProt

    Q7Z4W1

    Pathways

    Glycosaminoglycan Metabolic Process, Monocarboxylic Acid Catabolic Process
You are here:
Chat with us!