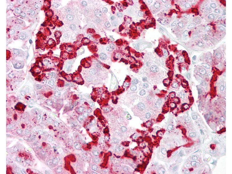
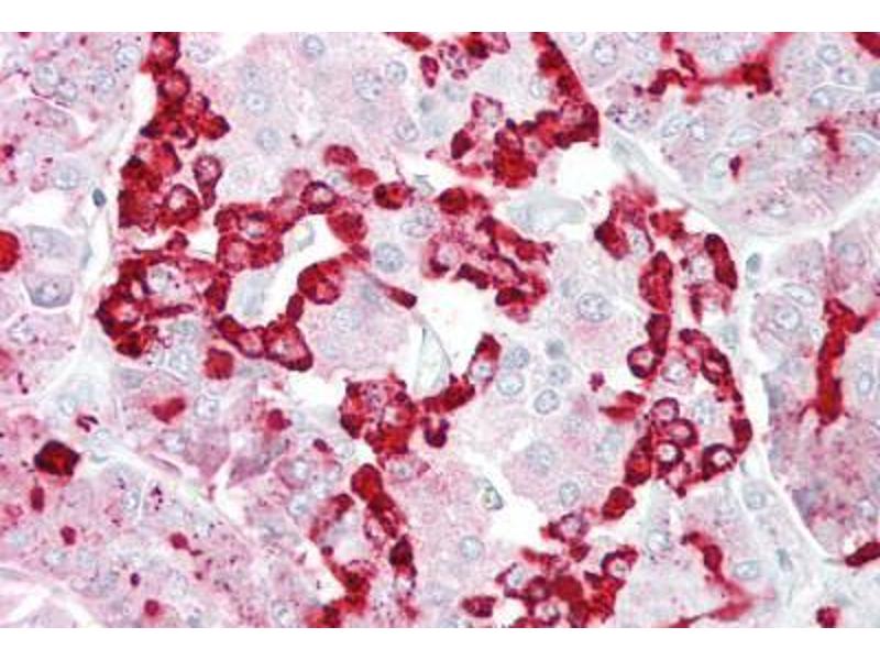
GP2 antibody (AA 182-231)
Quick Overview for GP2 antibody (AA 182-231) (ABIN958387)
Target
Reactivity
Host
Clonality
Conjugate
Application
-
-
Binding Specificity
- AA 182-231
-
Specificity
- Human GP2
-
Predicted Reactivity
- Percent identity by BLAST analysis: Human (100%) Horse (92%) Mouse (91%) Rat (83%).
-
Purification
- Immunoaffinity purified
-
Immunogen
-
Synthetic peptide located between aa182-231 of human GP2 (P55259, NP_001007242). Percent identity by BLAST analysis: Human, Chimpanzee, Gorilla, Gibbon, Monkey, Galago (100%), Elephant, Horse (92%), Marmoset, Mouse, Opossum (91%), Rat, Bat (83%).
Type of Immunogen: Synthetic peptide -
Isotype
- IgG
-
-
-
-
Application Notes
-
Approved: IHC, IHC-P (5 μg/mL), WB
Usage: ELISA titer using peptide based assay: 1:312500. Western Blot: Suggested dilution at 1 μg/mL in 5 % skim milk / PBS buffer, and HRP conjugated anti-Rabbit IgG should be diluted in 1:50000 - 100000 as second antibody. -
Comment
-
Target Species of Antibody: Human
-
Restrictions
- For Research Use only
-
-
-
Format
- Lyophilized
-
Reconstitution
- Distilled Water.
-
Concentration
- Lot specific
-
Buffer
- Lyophilized from PBS with 2 % sucrose
-
Handling Advice
- Avoid repeat freeze-thaw cycles.
-
Storage
- 4 °C,-20 °C
-
Storage Comment
-
Long term: -20°C, the use of 50% glycerol is recommended if storing aliquots in -20°C for long term use (up to 1 year)
Short term (less than 1 week): 4°C. Avoid freeze-thaw cycles.
-
-
- GP2 (Glycoprotein 2 (Zymogen Granule Membrane) (GP2))
-
Alternative Name
- GP2
-
Background
-
Name/Gene ID: GP2
Synonyms: GP2, gp2, ZAP75 -
Gene ID
- 2813
-
NCBI Accession
- NP_001007242
-
UniProt
- P55259
Target
-