Phone:
+1 877 302 8632
Fax:
+1 888 205 9894 (Toll-free)
E-Mail:
orders@antibodies-online.com

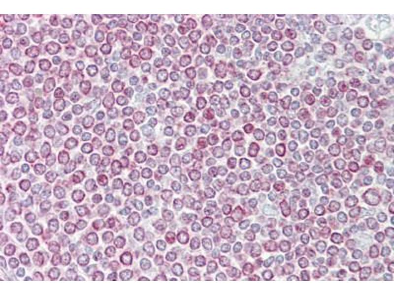
CXCL14 antibody (C-Term)

The Rabbit Polyclonal anti-CXCL14 antibody is suitable to detect CXCL14 in samples from Human, Mouse, Rat, Dog, Cow, Horse, Guinea Pig, Bat, Monkey and Pig. It has been validated for IHC, WB and IHC (p).
Catalog No. ABIN6748654
$476.30
Plus shipping costs $50.00
100 μL
Shipping to: United States
Delivery in 11 to 15 Business Days

Quick Overview for CXCL14 antibody (C-Term) (ABIN6748654)

Target

See all CXCL14 Antibodies
CXCL14 (Chemokine (C-X-C Motif) Ligand 14 (CXCL14))

Reactivity

Human, Mouse, Rat, Dog, Cow, Horse, Guinea Pig, Bat, Monkey, Pig

Host

  • 42
  • 3
  • 1
  • 1
Rabbit

Clonality

  • 43
  • 4
Polyclonal

Conjugate

  • 20
  • 4
  • 3
  • 2
  • 1
  • 1
  • 1
  • 1
  • 1
  • 1
  • 1
  • 1
  • 1
  • 1
  • 1
  • 1
  • 1
  • 1
  • 1
  • 1
  • 1
  • 1
This CXCL14 antibody is un-conjugated

Application

  • 18
  • 13
  • 13
  • 13
  • 8
  • 5
  • 4
  • 3
  • 3
  • 2
  • 1
  • 1
Immunohistochemistry (IHC), Western Blotting (WB), Immunohistochemistry (Paraffin-embedded Sections) (IHC (p))
  • Binding Specificity

    • 15
    • 8
    • 2
    • 2
    • 2
    • 1
    C-Term

    Specificity

    Human CXCL14

    Predicted Reactivity

    Percent identity by BLAST analysis: Rat, Dog, Bovine, Horse, Pig, Guinea pig (100%).

    Purification

    Immunoaffinity purified

    Immunogen

    Synthetic peptide from C-Terminus of human CXCL14 (O95715, NP_004878). Percent identity by BLAST analysis: Human, Chimpanzee, Gorilla, Orangutan, Gibbon, Galago, Marmoset, Mouse, Rat, Elephant, Dog, Bovine, Bat, Horse, Pig, Opossum, Guinea pig, Platypus (100%).

    Type of Immunogen: Synthetic peptide
  • Application Notes

    Approved: IHC, IHC-P (5 μg/mL), WB (1 μg/mL)

    Usage: Western Blot: Suggested dilution at 1 μg/mL in 5 % skim milk / PBS buffer, and HRP conjugated anti-Rabbit IgG should be diluted in 1: 50,000 - 100,000 as secondary antibody.

    Comment

    Target Species of Antibody: Human

    Restrictions

    For Research Use only
  • Format

    Lyophilized

    Reconstitution

    Distilled water

    Concentration

    Lot specific

    Buffer

    Lyophilized from PBS, 2 % sucrose.

    Handling Advice

    Avoid repeat freeze-thaw cycles.

    Storage

    4 °C,-20 °C

    Storage Comment

    Long term: -20°C, the use of 50% glycerol is recommended if storing aliquots in -20°C for long term use (up to 1 year)
    Short term (less than 1 week): 4°C. Avoid freeze-thaw cycles.
  • Target

    CXCL14 (Chemokine (C-X-C Motif) Ligand 14 (CXCL14))

    Alternative Name

    CXCL14

    Background

    Name/Gene ID: CXCL14
    Subfamily: Intercrine alpha
    Family: Intercrine

    Synonyms: CXCL14, BRAK, C-X-C motif chemokine 14, Bolekine, Breast and kidney, Chemokine BRAK, KS1, Mip2 gamma, MIP2G, SCYB14, Small-inducible cytokine B14, MIP-2 gamma, BMAC, Tumor-suppressing chemokine, KEC, MIP-2g, NJAC

    Gene ID

    9547

    NCBI Accession

    NP_004878

    UniProt

    O95715

    Pathways

    Autophagy
You are here:
Chat with us!