Phone:
+1 877 302 8632
Fax:
+1 888 205 9894 (Toll-free)
E-Mail:
orders@antibodies-online.com

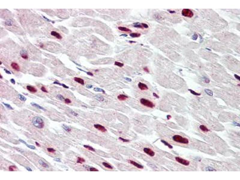
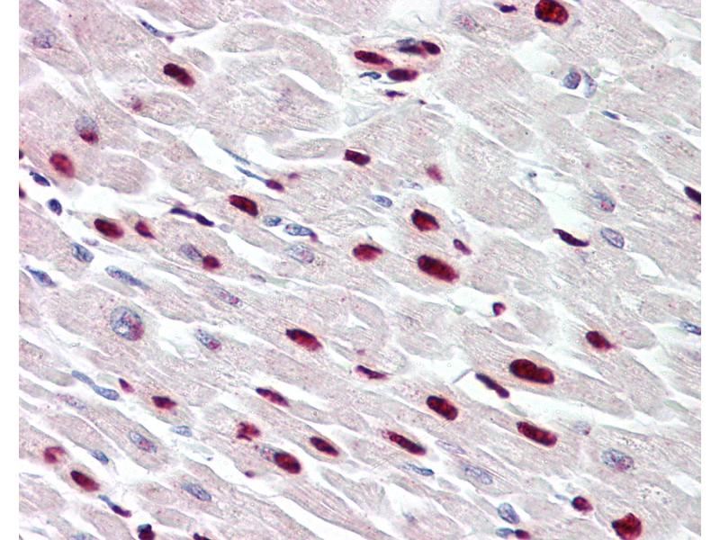
THAP5 antibody (AA 203-252)

The Rabbit Polyclonal anti-THAP5 antibody is suitable to detect THAP5 in samples from Human, Horse and Rabbit. It has been validated for WB, IHC and IHC (p).
Catalog No. ABIN6749756
$476.30
Plus shipping costs $50.00
100 μL
Shipping to: United States
Delivery in 11 to 15 Business Days

Quick Overview for THAP5 antibody (AA 203-252) (ABIN6749756)

Target

See all THAP5 Antibodies
THAP5 (THAP Domain Containing 5 (THAP5))

Reactivity

  • 4
  • 1
  • 1
  • 1
Human, Horse, Rabbit

Host

  • 3
  • 1
Rabbit

Clonality

  • 3
  • 1
Polyclonal

Conjugate

  • 4
This THAP5 antibody is un-conjugated

Application

Western Blotting (WB), Immunohistochemistry (IHC), Immunohistochemistry (Paraffin-embedded Sections) (IHC (p))
  • Binding Specificity

    • 2
    • 1
    AA 203-252

    Specificity

    Human THAP5

    Predicted Reactivity

    Percent identity by BLAST analysis: Human (100%) Horse (85%).

    Purification

    Immunoaffinity purified

    Immunogen

    Synthetic peptide located between aa203-252 of human THAP5 (Q7Z6K1, NP_001123947). Percent identity by BLAST analysis: Human, Chimpanzee, Gibbon (100%), Monkey, Marmoset (92%), Bat, Horse (85%).

    Type of Immunogen: Synthetic peptide

    Isotype

    IgG
  • Application Notes

    Approved: IHC, IHC-P (5 - 7.5 μg/mL), WB

    Usage: ELISA titer using peptide based assay: 1:312500. Western Blot: Suggested dilution at 1 μg/mL in 5 % skim milk / PBS buffer, and HRP conjugated anti-Rabbit IgG should be diluted in 1:50000 - 100000 as second antibody.

    Comment

    Target Species of Antibody: Human

    Restrictions

    For Research Use only
  • Format

    Lyophilized

    Reconstitution

    Distilled Water.

    Concentration

    Lot specific

    Buffer

    Lyophilized from PBS with 2 % sucrose

    Handling Advice

    Avoid repeat freeze-thaw cycles.

    Storage

    4 °C,-20 °C

    Storage Comment

    Long term: -20°C, the use of 50% glycerol is recommended if storing aliquots in -20°C for long term use (up to 1 year)
    Short term (less than 1 week): 4°C. Avoid freeze-thaw cycles.
  • Target

    THAP5 (THAP Domain Containing 5 (THAP5))

    Alternative Name

    THAP5

    Background

    Name/Gene ID: THAP5

    Synonyms: THAP5, THAP domain containing 5

    Gene ID

    168451

    NCBI Accession

    NP_001123947

    UniProt

    Q7Z6K1
You are here:
Chat with us!