Phone:
+1 877 302 8632
Fax:
+1 888 205 9894 (Toll-free)
E-Mail:
orders@antibodies-online.com

GLG1 antibody

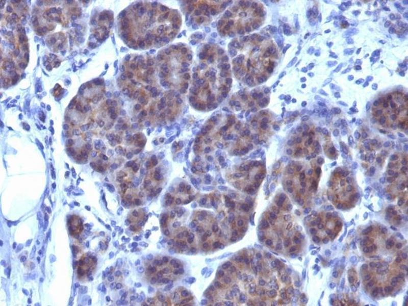
The Mouse Monoclonal anti-GLG1 antibody (Clone GLG1-970) (ABIN6939532) specifically detects GLG1 in IHC and StM. The antibody is reactive with Human samples.
Catalog No. ABIN6939532
$640.46
Plus shipping costs $50.00
Shipping to: United States
Delivery in 2 to 5 Business Days

Quick Overview for GLG1 antibody (ABIN6939532)

Target

See all GLG1 Antibodies
GLG1 (Golgi Glycoprotein 1 (GLG1))

Reactivity

  • 37
  • 13
  • 3
  • 2
  • 2
  • 2
  • 2
  • 2
  • 2
  • 2
  • 2
  • 2
  • 2
  • 1
  • 1
  • 1
  • 1
  • 1
  • 1
Human

Host

  • 18
  • 16
  • 2
  • 1
Mouse

Clonality

  • 19
  • 18
Monoclonal

Conjugate

  • 21
  • 2
  • 2
  • 2
  • 1
  • 1
  • 1
  • 1
  • 1
  • 1
  • 1
  • 1
  • 1
  • 1
This GLG1 antibody is un-conjugated

Application

  • 27
  • 15
  • 15
  • 14
  • 11
  • 11
  • 9
  • 3
  • 2
  • 1
  • 1
Immunohistochemistry (IHC), Staining Methods (StM)

Clone

GLG1-970
  • Specificity

    This MAb recognizes a protein of 134 kDa, which binds fibroblast growth factor and E-selectin (cell-adhesion lectin on endothelial cells mediating the binding of neutrophils). Fucosylation is essential for binding to E-selectin. It contains sialic acid residues and 16 Cys-rich GLG1 repeats. This MAb can be used to stain the Golgi complex in cell or tissue preparations and can be used as a Golgi marker in subcellular fractions. It produces a diffuse staining pattern of the Golgi zone in normal and malignant cells. This MAb is an excellent marker for human cells in xenographic model research. It reacts specifically with human cells. The Golgi apparatus is an organelle present in all eukaryotic cells that forms a part of the endomembrane system. The primary function of the Golgi apparatus is to process and package macromolecules synthesized by the cell for exocytosis or use within the cell. The Golgi is made up of a stack of flattened, membrane-bound sacs known as cisternae, with three functional regions: the cis face, medial region and trans face. Each region consists of various enzymes that selectively modify the macromolecules passing though them, depending on where they are destined to reside. Several spherical vesicles that have budded off of the Golgi are present surrounding the main cisternae. The Golgi tends to be more pronounced and numerous in cells that make and secrete many substances such as plasma B cells.

    No Cross-Reactivity

    Mouse (Murine), Rat (Rattus)

    Purification

    Purified by Protein A/G

    Immunogen

    Golgi fraction from human liver cells

    Isotype

    IgG1 kappa
  • Application Notes

    Positive Control: HepG2, A431 or HeLa cells. Placenta, Tonsil, Testis and Ovary.

    Known Application: Immunohistochemistry (Formalin-fixed) (0.1-0.2 μg/mL for 30 min at RT)(Staining of formalin-fixed tissues requires boiling tissue sections in 10 mM Citrate Buffer, pH 6.0, for 10-20 min followed by cooling at RT for 20 minutes)Optimal dilution for a specific application should be determined.

    Restrictions

    For Research Use only
  • Concentration

    200 μg/mL

    Buffer

    10 mM PBS with 0.05 % BSA & 0.05 % azide.

    Preservative

    Sodium azide

    Precaution of Use

    This product contains Sodium azide: a POISONOUS AND HAZARDOUS SUBSTANCE which should be handled by trained staff only.

    Storage

    4 °C,-80 °C

    Storage Comment

    Antibody with azide - store at 2 to 8°C. Antibody without azide - store at -20 to -80°C. Antibody is stable for 24 months. Non-hazardous. No MSDS required.

    Expiry Date

    24 months
  • Target

    GLG1 (Golgi Glycoprotein 1 (GLG1))

    Alternative Name

    GLG1

    Molecular Weight

    134kDa

    Gene ID

    2734

    UniProt

    Q92896
You are here:
Chat with us!