Phone:
+1 877 302 8632
Fax:
+1 888 205 9894 (Toll-free)
E-Mail:
orders@antibodies-online.com

TACSTD2 antibody (AA 31-274)

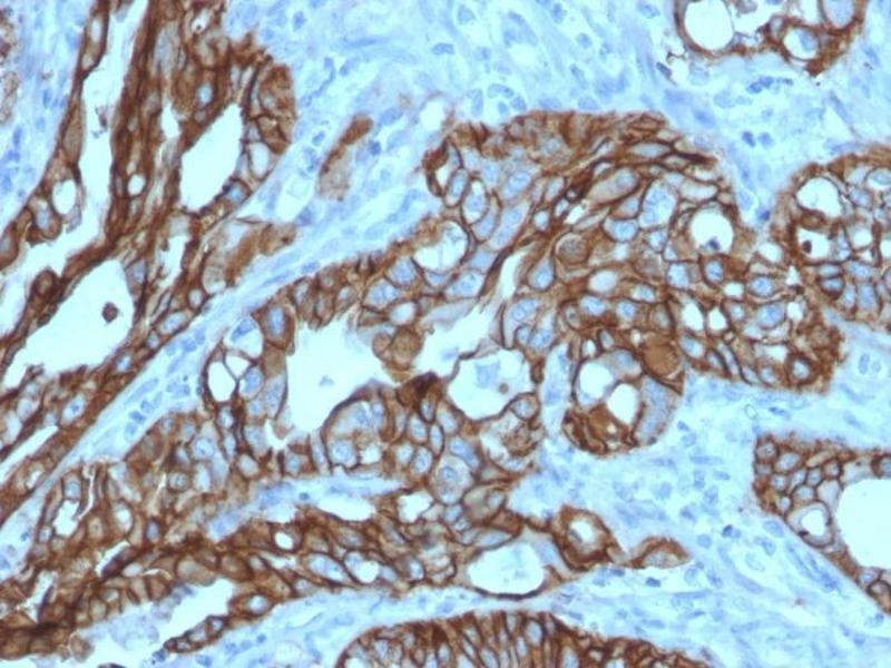
The Mouse Monoclonal anti-TACSTD2 antibody is suitable to detect TACSTD2 in samples from Human. It has been validated for IHC, IF and StM.
Catalog No. ABIN6939972
$640.46
Plus shipping costs $50.00
Shipping to: United States
Delivery in 2 to 5 Business Days

Quick Overview for TACSTD2 antibody (AA 31-274) (ABIN6939972)

Target

See all TACSTD2 Antibodies
TACSTD2 (Tumor-Associated Calcium Signal Transducer 2 (TACSTD2))

Reactivity

  • 120
  • 51
  • 19
  • 5
Human

Host

  • 74
  • 40
  • 15
  • 3
  • 1
  • 1
Mouse

Clonality

  • 76
  • 58
Monoclonal

Conjugate

  • 60
  • 9
  • 7
  • 6
  • 4
  • 2
  • 2
  • 2
  • 2
  • 2
  • 2
  • 2
  • 2
  • 2
  • 2
  • 2
  • 2
  • 2
  • 2
  • 2
  • 2
  • 1
  • 1
  • 1
  • 1
  • 1
  • 1
  • 1
  • 1
  • 1
  • 1
  • 1
  • 1
  • 1
  • 1
  • 1
  • 1
This TACSTD2 antibody is un-conjugated

Application

  • 82
  • 51
  • 36
  • 27
  • 20
  • 17
  • 16
  • 13
  • 13
  • 7
  • 4
  • 3
  • 3
  • 2
  • 1
Immunohistochemistry (IHC), Immunofluorescence (IF), Staining Methods (StM)

Clone

TACSTD2-2152
  • Binding Specificity

    • 26
    • 16
    • 10
    • 8
    • 5
    • 3
    • 3
    • 2
    • 2
    • 2
    • 2
    • 1
    • 1
    • 1
    • 1
    AA 31-274

    Purification

    Purified by Protein A/G

    Immunogen

    Recombinant fragment of human TACSTD2 protein (around aa 31-274) (exact sequence is proprietary)

    Isotype

    IgG1 kappa
  • Application Notes

    Positive Control: HT29 cells. Breast or Colon Carcinoma.

    Known Application: Immunofluorescence (1-2 μg/mL), Immunohistochemistry (Formalin-fixed) (1-2 μg/mL for 30 min at RT)(Staining of formalin-fixed tissues requires boiling tissue sections in 10 mM Citrate Buffer, pH 6.0, for 10-20 min followed by cooling at RT for 20 minutes)Optimal dilution for a specific application should be determined.

    Restrictions

    For Research Use only
  • Concentration

    200 μg/mL

    Buffer

    10 mM PBS with 0.05 % BSA & 0.05 % azide.

    Preservative

    Sodium azide

    Precaution of Use

    This product contains Sodium azide: a POISONOUS AND HAZARDOUS SUBSTANCE which should be handled by trained staff only.

    Storage

    4 °C,-80 °C

    Storage Comment

    Antibody with azide - store at 2 to 8°C. Antibody without azide - store at -20 to -80°C. Antibody is stable for 24 months. Non-hazardous. No MSDS required.

    Expiry Date

    24 months
  • Target

    TACSTD2 (Tumor-Associated Calcium Signal Transducer 2 (TACSTD2))

    Alternative Name

    TACSTD2

    Background

    TACSTD2 is a cell surface glycoprotein receptor. It is a single pass type I membrane protein containing one thyroglobulin type-1 domain, an epidermal growth factor-like repeat, a phosphatidylinositol binding site and tyrosine phosphorylation sites near the C-terminus. It plays a role in transducing intracellular calcium signals. It is expressed in trophoblast cells, cornea and multi-stratified epithelia. It is also highly expressed in several types of tumors and is involved in regulating the growth of carcinoma cells.

    Molecular Weight

    40kDa

    Gene ID

    4070

    UniProt

    P09758
You are here:
Chat with us!