Phone:
+1 877 302 8632
Fax:
+1 888 205 9894 (Toll-free)
E-Mail:
orders@antibodies-online.com

ATG5 antibody (AA 1-119)

This Mouse Monoclonal antibody specifically detects ATG5 in WB, IHC, ELISA, Coat and StM. It exhibits reactivity toward Human.
Catalog No. ABIN6941155
$640.46
Plus shipping costs $50.00
Shipping to: United States
Delivery in 2 to 5 Business Days

Quick Overview for ATG5 antibody (AA 1-119) (ABIN6941155)

Target

See all ATG5 Antibodies
ATG5 (ATG5 Autophagy Related 5 (ATG5))

Reactivity

  • 141
  • 70
  • 56
  • 8
  • 6
  • 6
  • 5
  • 5
  • 4
  • 4
  • 4
  • 3
  • 3
  • 2
  • 2
Human

Host

  • 98
  • 46
  • 4
  • 1
Mouse

Clonality

  • 86
  • 63
Monoclonal

Conjugate

  • 77
  • 7
  • 7
  • 5
  • 4
  • 4
  • 3
  • 3
  • 3
  • 3
  • 3
  • 3
  • 2
  • 2
  • 2
  • 2
  • 2
  • 2
  • 2
  • 1
  • 1
  • 1
  • 1
  • 1
  • 1
  • 1
  • 1
  • 1
  • 1
  • 1
  • 1
  • 1
This ATG5 antibody is un-conjugated

Application

  • 106
  • 65
  • 48
  • 27
  • 20
  • 19
  • 18
  • 17
  • 16
  • 14
  • 13
  • 5
  • 3
  • 3
  • 2
  • 2
  • 1
  • 1
Western Blotting (WB), Immunohistochemistry (IHC), ELISA, Coating (Coat), Staining Methods (StM)

Clone

ATG5-2101
  • Binding Specificity

    • 24
    • 16
    • 9
    • 5
    • 5
    • 4
    • 4
    • 4
    • 3
    • 3
    • 3
    • 2
    • 2
    • 2
    • 2
    • 2
    • 2
    • 2
    • 1
    • 1
    • 1
    • 1
    • 1
    • 1
    • 1
    AA 1-119

    Purification

    Purified by Protein A/G

    Immunogen

    Recombinant fragment of human ATG5 protein (around aa 1-119) (exact sequence is proprietary)

    Isotype

    IgG1 kappa
  • Application Notes

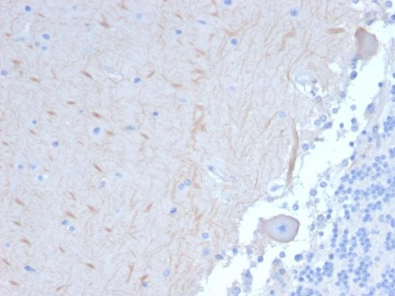
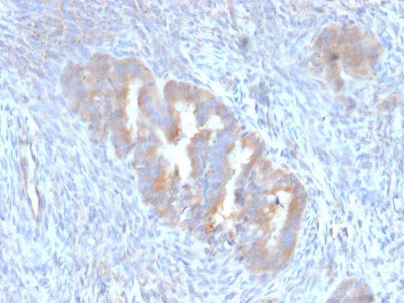
    Positive Control: THP-1, PANC-1, Raji or HeLa cells. Brain, Ovary, Endometrium, Colon or Duodenum (IHC).

    Known Application: ELISA (For coating use Ab at 1-5 μg/mL, order Ab without BSA), Western Blot (1-2 μg/mL),Immunohistochemistry (Formalin-fixed) (1-2 μg/mL for 30 min at RT)(Staining of formalin-fixed tissues requires boiling tissue sections in 10 mM citrate buffer, pH 6.0, for 10-20 min followed by cooling at RT for 20 minutes)Optimal dilution for a specific application should be determined.

    Restrictions

    For Research Use only
  • Concentration

    200 μg/mL

    Buffer

    10 mM PBS with 0.05 % BSA & 0.05 % azide.

    Preservative

    Sodium azide

    Precaution of Use

    This product contains Sodium azide: a POISONOUS AND HAZARDOUS SUBSTANCE which should be handled by trained staff only.

    Storage

    4 °C,-80 °C

    Storage Comment

    Antibody with azide - store at 2 to 8°C. Antibody without azide - store at -20 to -80°C. Antibody is stable for 24 months. Non-hazardous. No MSDS required.

    Expiry Date

    24 months
  • Target

    ATG5 (ATG5 Autophagy Related 5 (ATG5))

    Alternative Name

    ATG5

    Background

    The protein encoded by this gene, in combination with autophagy protein 12, functions as an E1-like activating enzyme in a ubiquitin-like conjugating system. The encoded protein is involved in several cellular processes, including autophagic vesicle formation, mitochondrial quality control after oxidative damage, negative regulation of the innate antiviral immune response, lymphocyte development and proliferation, MHC II antigen presentation, adipocyte differentiation, and apoptosis. The ATG5 protein is essential for autophagy, a process that is usually beneficial for cells to self-degrade their own components when they are no longer useful.

    Molecular Weight

    50-32kDa

    Gene ID

    9474

    UniProt

    Q9H1Y0

    Pathways

    Activation of Innate immune Response, Production of Molecular Mediator of Immune Response, Autophagy
You are here:
Chat with us!