Recombinant TNFSF15 antibody
Quick Overview for Recombinant TNFSF15 antibody (ABIN6941290)
Target
See all TNFSF15 AntibodiesAntibody Type
Reactivity
Host
Clonality
Conjugate
Application
Clone
-
-
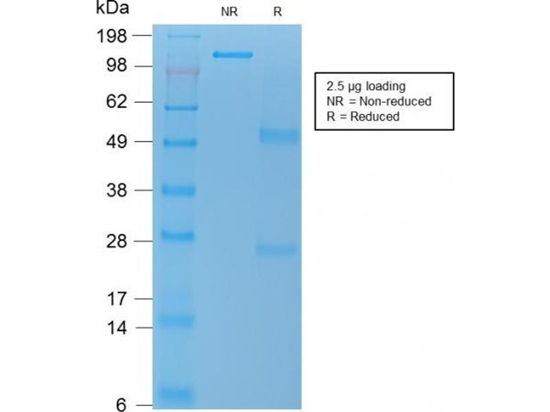
Purification
- Purified by Protein A/G
-
Immunogen
- Recombinant human full-length VEGI protein
-
Isotype
- IgG1 kappa
-
-
-
-
Application Notes
-
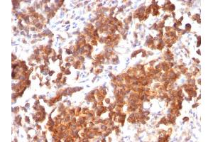
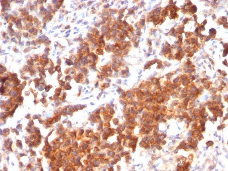
Positive Control: Endothelial cells. Colon, intestine, placenta, lung, liver, kidney, pancreas, spleen and prostate.
Known Application: Immunohistochemistry (Formalin-fixed) (1-2 μg/mL for 30 minutes at RT)(Staining of formalin-fixed tissues requires boiling tissue sections in 10 mM Tris with 1 mM EDTA, pH 9.0, for 10-20 min followed by cooling at RT for 20 minutes) Optimal dilution for a specific application should be determined.
-
Restrictions
- For Research Use only
-
-
-
Concentration
- 200 μg/mL
-
Buffer
- 10 mM PBS with 0.05 % BSA & 0.05 % azide.
-
Preservative
- Sodium azide
-
Precaution of Use
- This product contains Sodium azide: a POISONOUS AND HAZARDOUS SUBSTANCE which should be handled by trained staff only.
-
Storage
- 4 °C,-80 °C
-
Storage Comment
- Antibody with azide - store at 2 to 8°C. Antibody without azide - store at -20 to -80°C. Antibody is stable for 24 months. Non-hazardous. No MSDS required.
-
Expiry Date
- 24 months
-
-
- TNFSF15 (Tumor Necrosis Factor (Ligand) Superfamily, Member 15 (TNFSF15))
-
Alternative Name
- TNFSF15
-
Background
- VEGI is an anti-angiogenic cytokine that belongs to tumor necrosis factor superfamily, member 15 (TNFSF15). This protein is abundantly expressed in endothelial cells, but is not expressed in either B or T cells. The expression of this protein is inducible by TNF and IL-1 alpha. This cytokine is a ligand for receptor TNFRSF25 and decoy receptor TNFRSF21/DR6. It can activate NF-kappaB and MAP kinases, and acts as an autocrine factor to induce apoptosis in endothelial cells. This cytokine is also found to inhibit endothelial cell proliferation, and thus may function as an angiogenesis inhibitor. Reduced expression of VEGI has been reported as a marker of poor prognosis in breast cancer.
-
Molecular Weight
- 22kDa
-
Gene ID
- 9966
-
UniProt
- O95150
-
Pathways
- Positive Regulation of Endopeptidase Activity, Autophagy
Target
-