Phone:
+1 877 302 8632
Fax:
+1 888 205 9894 (Toll-free)
E-Mail:
orders@antibodies-online.com

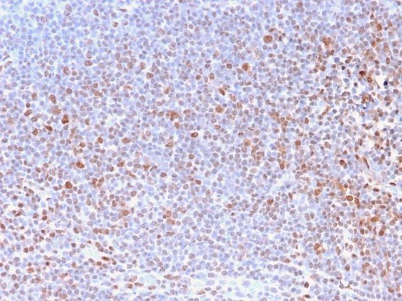
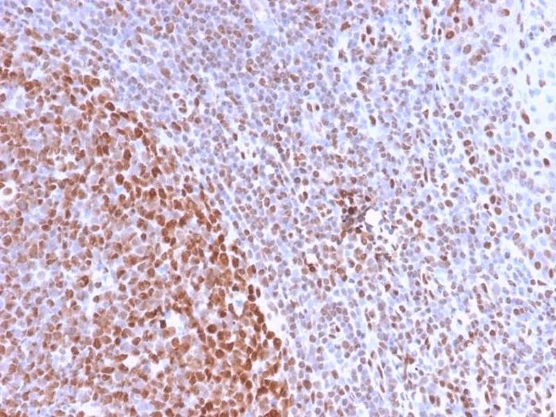
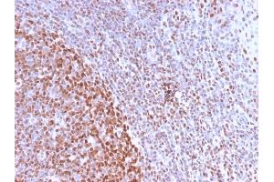
Recombinant Nuclear Antigen (Pan-Nuclear Marker) antibody

This Rabbit Monoclonal antibody specifically detects Nuclear Antigen (Pan-Nuclear Marker) in IHC, ISt and StM. It exhibits reactivity toward Human, Mouse and Rat.
Catalog No. ABIN6941461
$640.46
Plus shipping costs $50.00
Shipping to: United States
Delivery in 2 to 5 Business Days

Quick Overview for Recombinant Nuclear Antigen (Pan-Nuclear Marker) antibody (ABIN6941461)

Target

Nuclear Antigen (Pan-Nuclear Marker)

Antibody Type

Recombinant Antibody

Reactivity

Human, Mouse, Rat

Host

  • 2
  • 1
Rabbit

Clonality

  • 3
Monoclonal

Conjugate

  • 3
Un-conjugated

Application

  • 3
  • 3
  • 3
  • 2
  • 2
Immunohistochemistry (IHC), Immunostaining (ISt), Staining Methods (StM)

Clone

NM2984R
  • Specificity

    This MAb is an excellent marker for all nuclei in cells in tissues. It is a part of a new panel of reagents, which recognizes subcellular organelles or compartments of cells. These markers may be useful in identification of these organelles in cells, tissues, and biochemical preparations. This MAb recognizes an antigen associated with the nuclei in all cells. It can be used to stain the nuclei in cell or tissue preparations and can be used as a nuclear marker in subcellular fractions. It produces a speckled pattern in normal and malignant cells and may be used to stain the nuclei of cells in fixed or frozen tissue sections. It can also be used with paraformaldehyde fixed frozen tissue or cell preparations.

    No Cross-Reactivity

    Pig (Porcine)

    Purification

    Purified by Protein A/G

    Immunogen

    Nuclei of HL60 cells

    Isotype

    IgG
  • Application Notes

    Positive Control: All human cells. Tonsil.

    Known Application: Immunohistochemistry (Formalin-fixed) (0.25-0.5 μg/mL for 30 minutes at RT)(Staining of formalin-fixed tissues is enhanced by boiling tissue sections in 10 mM Citrate Buffer, pH 6.0, for 10-20 min followed by cooling at RT for 20 minutes)Optimal dilution for a specific application should be determined.

    Restrictions

    For Research Use only
  • Concentration

    200 μg/mL

    Buffer

    10 mM PBS with 0.05 % BSA & 0.05 % azide.

    Preservative

    Sodium azide

    Precaution of Use

    This product contains Sodium azide: a POISONOUS AND HAZARDOUS SUBSTANCE which should be handled by trained staff only.

    Storage

    4 °C,-80 °C

    Storage Comment

    Antibody with azide - store at 2 to 8°C. Antibody without azide - store at -20 to -80°C. Antibody is stable for 24 months. Non-hazardous. No MSDS required.

    Expiry Date

    24 months
  • Target

    Nuclear Antigen (Pan-Nuclear Marker)
You are here:
Chat with us!