Phone:
+1 877 302 8632
Fax:
+1 888 205 9894 (Toll-free)
E-Mail:
orders@antibodies-online.com

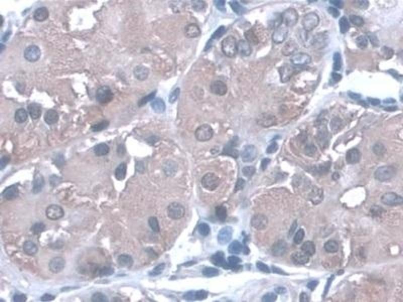
Pepsinogen A antibody (AA 63-295)

The Mouse Monoclonal anti-Pepsinogen A antibody is suitable to detect Pepsinogen A in samples from Human. It has been validated for WB and IHC.
Catalog No. ABIN7427903
$334.16
Plus shipping costs $50.00
Shipping to: United States
Delivery in 13 to 17 Business Days

Quick Overview for Pepsinogen A antibody (AA 63-295) (ABIN7427903)

Target

See all Pepsinogen A Antibodies
Pepsinogen A

Reactivity

  • 19
  • 8
Human

Host

  • 15
  • 12
Mouse

Clonality

  • 14
  • 13
Monoclonal

Conjugate

  • 15
  • 9
  • 2
  • 1
This Pepsinogen A antibody is un-conjugated

Application

  • 18
  • 15
  • 8
  • 6
  • 4
  • 4
  • 4
  • 3
  • 3
  • 2
  • 2
  • 1
  • 1
  • 1
Western Blotting (WB), Immunohistochemistry (IHC)

Clone

C4
  • Binding Specificity

    • 4
    • 4
    AA 63-295

    Purpose

    Monoclonal Antibody to Pepsinogen A (PGA)

    Specificity

    The antibody is a mouse monoclonal antibody raised against PGA. It has been selected for its ability to recognize PGA in immunohistochemical staining and western blotting.

    Cross-Reactivity

    Pig

    Purification

    Protein A + Protein G affinity chromatography

    Immunogen

    Recombinant Pepsinogen A (PGA) corresdonding to Val63~Ser295 with N-terminal His Tag

    Isotype

    IgG2b kappa
  • Application Notes

    Western blotting: 0.01-3 μg/mL,Immunohistochemistry: 5-30 μg/mL,Immunocytochemistry: 5-30 μg/mL,Optimal working dilutions must be determined by end user.

    Comment

    The thermal stability is described by the loss rate. The loss rate was determined by accelerated thermal degradation test, that is, incubate the protein at 37°C for 48h, and no obvious degradation and precipitation were observed. The loss rate is less than 5% within the expiration date under appropriate storage condition.

    Restrictions

    For Research Use only
  • Format

    Liquid

    Concentration

    1 mg/mL

    Buffer

    0.01M PBS, pH 7.4, containing 0.05 % Proclin-300, 50 % glycerol.

    Preservative

    ProClin

    Precaution of Use

    This product contains ProClin: a POISONOUS AND HAZARDOUS SUBSTANCE which should be handled by trained staff only.

    Storage

    4 °C,-20 °C

    Storage Comment

    Store at 4°C for frequent use. Stored at -20°C in a manual defrost freezer for two year without detectable loss of activity. Avoid repeated freeze-thaw cycles.

    Expiry Date

    24 months
  • Target

    Pepsinogen A

    Background

    PGA5, PG-A, Pepsinogen 5 Group I, Pepsinogen-5, Pepsin A-5

    UniProt

    P00790
You are here:
Chat with us!