Phone:
+1 877 302 8632
Fax:
+1 888 205 9894 (Toll-free)
E-Mail:
orders@antibodies-online.com

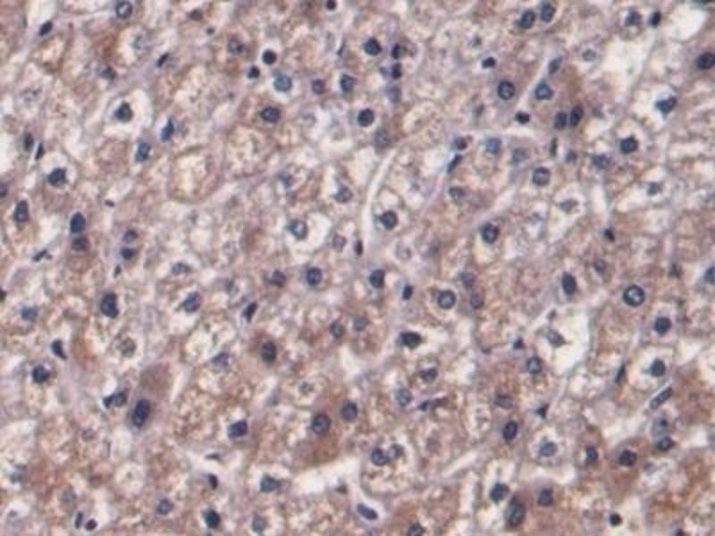
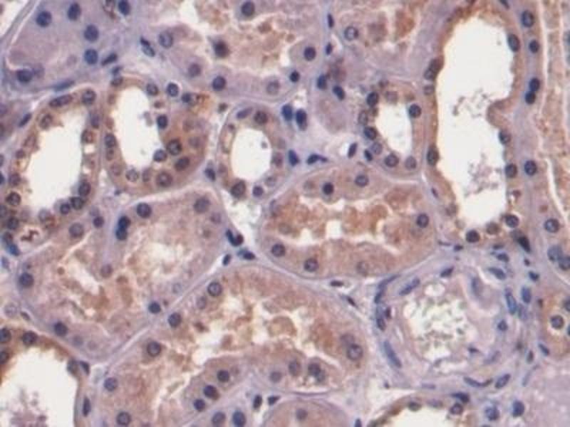
Prothrombin Fragment 1+2 antibody

The Mouse Monoclonal anti-Prothrombin Fragment 1+2 antibody is suitable to detect Prothrombin Fragment 1+2 in samples from Human. It has been validated for WB, IHC, ICC and IP.
Catalog No. ABIN7428374
$466.36
Plus shipping costs $50.00
Shipping to: United States
Delivery in 13 to 17 Business Days

Quick Overview for Prothrombin Fragment 1+2 antibody (ABIN7428374)

Target

See all Prothrombin Fragment 1+2 (F1+2) Antibodies
Prothrombin Fragment 1+2 (F1+2)

Reactivity

  • 9
  • 5
  • 1
Human

Host

  • 12
  • 3
Mouse

Clonality

  • 11
  • 4
Monoclonal

Conjugate

  • 8
  • 6
  • 1
This Prothrombin Fragment 1+2 antibody is un-conjugated

Application

  • 15
  • 15
  • 9
  • 5
  • 4
  • 2
  • 2
  • 1
  • 1
Western Blotting (WB), Immunohistochemistry (IHC), Immunocytochemistry (ICC), Immunoprecipitation (IP)

Clone

C6
  • Purpose

    Monoclonal Antibody to Prothrombin Fragment 1+2 (F1+2)

    Specificity

    The antibody is a mouse monoclonal antibody raised against F1+2. It has been selected for its ability to recognize F1+2 in immunohistochemical staining and western blotting.

    Purification

    Protein A + Protein G affinity chromatography

    Immunogen

    Recombinant Prothrombin Fragment 1+2 (F1+2) corresdonding to N-terminal His and GST Tag

    Isotype

    IgG2b kappa
  • Application Notes

    Western blotting: 0.5-2 μg/mL,Immunohistochemistry: 5-20 μg/mL,Immunocytochemistry: 5-20 μg/mL,Optimal working dilutions must be determined by end user.

    Comment

    The thermal stability is described by the loss rate. The loss rate was determined by accelerated thermal degradation test, that is, incubate the protein at 37°C for 48h, and no obvious degradation and precipitation were observed. The loss rate is less than 5% within the expiration date under appropriate storage condition.

    Restrictions

    For Research Use only
  • Format

    Liquid

    Concentration

    1 mg/mL

    Buffer

    0.01M PBS, pH 7.4, containing 0.05 % Proclin-300, 50 % glycerol.

    Preservative

    ProClin

    Precaution of Use

    This product contains ProClin: a POISONOUS AND HAZARDOUS SUBSTANCE which should be handled by trained staff only.

    Storage

    4 °C,-20 °C

    Storage Comment

    Store at 4°C for frequent use. Stored at -20°C in a manual defrost freezer for two year without detectable loss of activity. Avoid repeated freeze-thaw cycles.

    Expiry Date

    24 months
  • Target

    Prothrombin Fragment 1+2 (F1+2)

    Alternative Name

    F1+2

    UniProt

    P00734
You are here:
Chat with us!