Phone:
+1 877 302 8632
Fax:
+1 888 205 9894 (Toll-free)
E-Mail:
orders@antibodies-online.com

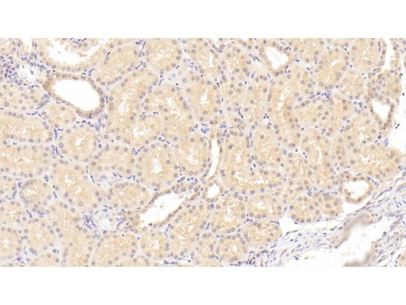
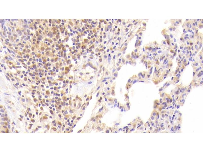
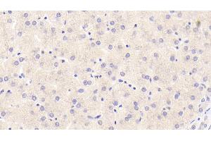
Prothrombin antibody

This Mouse Monoclonal antibody specifically detects Prothrombin in WB, IHC, IP and ICC. It exhibits reactivity toward Human.
Catalog No. ABIN7426067
$316.13
Plus shipping costs $50.00
Shipping to: United States
Delivery in 13 to 17 Business Days

Quick Overview for Prothrombin antibody (ABIN7426067)

Target

See all Prothrombin (F2) Antibodies
Prothrombin (F2) (Coagulation Factor II (thrombin) (F2))

Reactivity

  • 72
  • 28
  • 19
  • 3
  • 3
  • 2
  • 2
  • 2
  • 2
  • 1
  • 1
Human

Host

  • 78
  • 15
  • 6
  • 4
  • 2
  • 1
  • 1
Mouse

Clonality

  • 80
  • 27
Monoclonal

Conjugate

  • 70
  • 13
  • 7
  • 3
  • 2
  • 2
  • 2
  • 1
  • 1
  • 1
  • 1
  • 1
  • 1
  • 1
  • 1
This Prothrombin antibody is un-conjugated

Application

  • 74
  • 41
  • 33
  • 25
  • 24
  • 14
  • 11
  • 10
  • 9
  • 5
  • 3
  • 2
  • 1
  • 1
  • 1
  • 1
  • 1
  • 1
  • 1
Western Blotting (WB), Immunohistochemistry (IHC), Immunoprecipitation (IP), Immunocytochemistry (ICC)

Clone

E1
  • Purpose

    Monoclonal Antibody to Coagulation Factor II (F2)

    Specificity

    The antibody is a mouse monoclonal antibody raised against F2. It has been selected for its ability to recognize F2 in immunohistochemical staining and western blotting.

    Cross-Reactivity

    Pig

    Purification

    Protein A + Protein G affinity chromatography

    Immunogen

    Recombinant Coagulation Factor II (F2) corresdonding to N-terminal His Tag

    Isotype

    IgG1 kappa
  • Application Notes

    Western blotting: 0.01-4 μg/mL,Immunohistochemistry: 5-20 μg/mL,Immunocytochemistry: 5-20 μg/mL,Optimal working dilutions must be determined by end user.

    Comment

    The thermal stability is described by the loss rate. The loss rate was determined by accelerated thermal degradation test, that is, incubate the protein at 37°C for 48h, and no obvious degradation and precipitation were observed. The loss rate is less than 5% within the expiration date under appropriate storage condition.

    Restrictions

    For Research Use only
  • Format

    Liquid

    Concentration

    1 mg/mL

    Buffer

    0.01M PBS, pH 7.4, containing 0.05 % Proclin-300, 50 % glycerol.

    Preservative

    ProClin

    Precaution of Use

    This product contains ProClin: a POISONOUS AND HAZARDOUS SUBSTANCE which should be handled by trained staff only.

    Storage

    4 °C,-20 °C

    Storage Comment

    Store at 4°C for frequent use. Stored at -20°C in a manual defrost freezer for two year without detectable loss of activity. Avoid repeated freeze-thaw cycles.

    Expiry Date

    24 months
  • Target

    Prothrombin (F2) (Coagulation Factor II (thrombin) (F2))

    Alternative Name

    Coagulation Factor II

    Background

    FII, TM, PT, Thrombin, Prothrombin, Pro-Thrombin, Activation peptide fragment 1, Activation peptide fragment 2

    UniProt

    P00734

    Pathways

    Complement System, Peptide Hormone Metabolism, Regulation of G-Protein Coupled Receptor Protein Signaling
You are here:
Blank Blank Blank Blank
Blank Blank Blank Blank
Chat with us!