Phone:
+1 877 302 8632
Fax:
+1 888 205 9894 (Toll-free)
E-Mail:
orders@antibodies-online.com

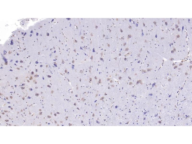
SCGB1A1 antibody (AA 23-91)

The Mouse Monoclonal anti-SCGB1A1 antibody (Clone C2) (ABIN7427930) specifically detects SCGB1A1 in WB and IHC. The antibody is reactive with Human samples.
Catalog No. ABIN7427930
$326.15
Plus shipping costs $50.00
Shipping to: United States
Delivery in 13 to 17 Business Days

Quick Overview for SCGB1A1 antibody (AA 23-91) (ABIN7427930)

Target

See all SCGB1A1 Antibodies
SCGB1A1 (Secretoglobin, Family 1A, Member 1 (Uteroglobin) (SCGB1A1))

Reactivity

  • 74
  • 72
  • 42
Human

Host

  • 110
  • 9
  • 1
  • 1
Mouse

Clonality

  • 75
  • 46
Monoclonal

Conjugate

  • 37
  • 15
  • 11
  • 4
  • 3
  • 3
  • 3
  • 3
  • 3
  • 3
  • 3
  • 3
  • 3
  • 3
  • 3
  • 3
  • 3
  • 3
  • 3
  • 3
  • 3
  • 1
  • 1
  • 1
This SCGB1A1 antibody is un-conjugated

Application

  • 81
  • 39
  • 28
  • 28
  • 26
  • 24
  • 12
  • 11
  • 8
  • 7
  • 6
  • 5
  • 2
  • 1
  • 1
Western Blotting (WB), Immunohistochemistry (IHC)

Clone

C2
  • Binding Specificity

    • 15
    • 15
    • 10
    • 5
    • 5
    • 3
    • 3
    • 2
    • 1
    • 1
    AA 23-91

    Purpose

    Monoclonal Antibody to Clara Cell Protein 16 (CC16)

    Specificity

    The antibody is a mouse monoclonal antibody raised against CC16. It has been selected for its ability to recognize CC16 in immunohistochemical staining and western blotting.

    Cross-Reactivity

    Rat

    Purification

    Protein A + Protein G affinity chromatography

    Immunogen

    Recombinant Clara Cell Protein 16 (CC16) corresdonding to Ile23~Asn91 with N-terminal His Tag

    Isotype

    IgG2a kappa
  • Application Notes

    Western blotting: 0.01-2 μg/mL,Immunohistochemistry: 5-30 μg/mL,Optimal working dilutions must be determined by end user.

    Comment

    The thermal stability is described by the loss rate. The loss rate was determined by accelerated thermal degradation test, that is, incubate the protein at 37°C for 48h, and no obvious degradation and precipitation were observed. The loss rate is less than 5% within the expiration date under appropriate storage condition.

    Restrictions

    For Research Use only
  • Format

    Liquid

    Concentration

    1 mg/mL

    Buffer

    0.01M PBS, pH 7.4, containing 0.05 % Proclin-300, 50 % glycerol.

    Preservative

    ProClin

    Precaution of Use

    This product contains ProClin: a POISONOUS AND HAZARDOUS SUBSTANCE which should be handled by trained staff only.

    Storage

    4 °C,-20 °C

    Storage Comment

    Store at 4°C for frequent use. Stored at -20°C in a manual defrost freezer for two year without detectable loss of activity. Avoid repeated freeze-thaw cycles.

    Expiry Date

    24 months
  • Target

    SCGB1A1 (Secretoglobin, Family 1A, Member 1 (Uteroglobin) (SCGB1A1))

    Alternative Name

    CC16

    Background

    SCGB1A1, CC10, CCSP, UGB, UG, Uteroglobin, Uteroglobin, Urinary Protein 1, Clara Cell Secretory Protein, Secretoglobin Family 1A Member 1, Clara-Cell Specific 10-kD Protein

    UniProt

    P11684
You are here:
Chat with us!