Phone:
+1 877 302 8632
Fax:
+1 888 205 9894 (Toll-free)
E-Mail:
orders@antibodies-online.com

ARG antibody (AA 1-323)

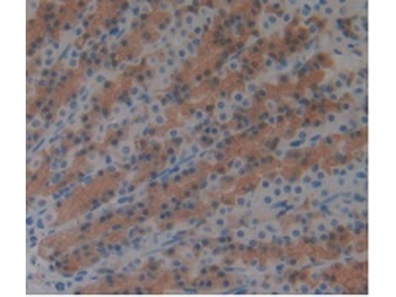
This Mouse Monoclonal antibody specifically detects ARG in WB, IHC, IP and ICC. It exhibits reactivity toward Rat.
Catalog No. ABIN7427489
$348.18
Plus shipping costs $50.00
Shipping to: United States
Delivery in 13 to 17 Business Days

Quick Overview for ARG antibody (AA 1-323) (ABIN7427489)

Target

See all ARG Antibodies
ARG (Arginase (ARG))

Reactivity

  • 10
  • 6
  • 6
  • 5
  • 4
Rat

Host

  • 21
  • 7
  • 3
Mouse

Clonality

  • 24
  • 7
Monoclonal

Conjugate

  • 14
  • 12
  • 3
  • 1
  • 1
This ARG antibody is un-conjugated

Application

  • 29
  • 24
  • 14
  • 8
  • 7
  • 7
  • 6
  • 2
  • 2
Western Blotting (WB), Immunohistochemistry (IHC), Immunoprecipitation (IP), Immunocytochemistry (ICC)

Clone

1-2#
  • Binding Specificity

    • 3
    • 2
    • 2
    • 1
    • 1
    • 1
    AA 1-323

    Purpose

    Monoclonal Antibody to Arginase (ARG)

    Specificity

    The antibody is a mouse monoclonal antibody raised against ARG. It has been selected for its ability to recognize ARG in immunohistochemical staining and western blotting.

    Cross-Reactivity

    Human, Mouse, Pig

    Purification

    Protein A + Protein G affinity chromatography

    Immunogen

    Recombinant Arginase (ARG) corresdonding to Met1~Lys323 with N-terminal His Tag

    Isotype

    IgG1 kappa
  • Application Notes

    Western blotting: 0.5-2 μg/mL,Immunohistochemistry: 5-20 μg/mL,Immunocytochemistry: 5-20 μg/mL,Optimal working dilutions must be determined by end user.

    Comment

    The thermal stability is described by the loss rate. The loss rate was determined by accelerated thermal degradation test, that is, incubate the protein at 37°C for 48h, and no obvious degradation and precipitation were observed. The loss rate is less than 5% within the expiration date under appropriate storage condition.

    Restrictions

    For Research Use only
  • Format

    Liquid

    Concentration

    1 mg/mL

    Buffer

    PBS, pH 7.4, containing 0.02 % Sodium azide, 50 % glycerol.

    Preservative

    Sodium azide

    Precaution of Use

    This product contains Sodium azide: a POISONOUS AND HAZARDOUS SUBSTANCE which should be handled by trained staff only.

    Storage

    4 °C,-20 °C

    Storage Comment

    Store at 4°C for frequent use. Stored at -20°C in a manual defrost freezer for two year without detectable loss of activity. Avoid repeated freeze-thaw cycles.

    Expiry Date

    24 months
  • Target

    ARG (Arginase (ARG))

    Alternative Name

    Arginase

    Background

    ARG1, Arginase I, Liver Arginase

    UniProt

    P07824
You are here:
Chat with us!