Phone:
+1 877 302 8632
Fax:
+1 888 205 9894 (Toll-free)
E-Mail:
orders@antibodies-online.com

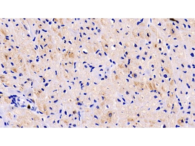
LOXL1 antibody (AA 369-574)

This Mouse Monoclonal antibody specifically detects LOXL1 in WB and IHC. It exhibits reactivity toward Human.
Catalog No. ABIN7426961
$340.17
Plus shipping costs $50.00
Shipping to: United States
Delivery in 13 to 17 Business Days

Quick Overview for LOXL1 antibody (AA 369-574) (ABIN7426961)

Target

See all LOXL1 Antibodies
LOXL1 (Lysyl Oxidase-Like 1 (LOXL1))

Reactivity

  • 49
  • 20
  • 9
  • 4
  • 4
  • 3
  • 3
  • 2
  • 2
  • 1
Human

Host

  • 51
  • 5
Mouse

Clonality

  • 53
  • 3
Monoclonal

Conjugate

  • 27
  • 10
  • 9
  • 4
  • 1
  • 1
  • 1
  • 1
  • 1
  • 1
This LOXL1 antibody is un-conjugated

Application

  • 35
  • 18
  • 14
  • 9
  • 8
  • 8
  • 3
  • 1
  • 1
Western Blotting (WB), Immunohistochemistry (IHC)

Clone

C1
  • Binding Specificity

    • 9
    • 7
    • 5
    • 5
    • 3
    • 2
    • 2
    • 1
    • 1
    • 1
    • 1
    • 1
    • 1
    • 1
    • 1
    • 1
    AA 369-574

    Purpose

    Monoclonal Antibody to Lysyl Oxidase Like Protein 1 (LOXL1)

    Specificity

    The antibody is a mouse monoclonal antibody raised against LOXL1. It has been selected for its ability to recognize LOXL1 in immunohistochemical staining and western blotting.

    Purification

    Protein A + Protein G affinity chromatography

    Immunogen

    Recombinant Lysyl Oxidase Like Protein 1 (LOXL1) corresdonding to Leu369~Ser574 with N-terminal His Tag

    Isotype

    IgG2a kappa
  • Application Notes

    Western blotting: 0.01-2 μg/mL,Immunohistochemistry: 5-20 μg/mL,Optimal working dilutions must be determined by end user.

    Comment

    The thermal stability is described by the loss rate. The loss rate was determined by accelerated thermal degradation test, that is, incubate the protein at 37°C for 48h, and no obvious degradation and precipitation were observed. The loss rate is less than 5% within the expiration date under appropriate storage condition.

    Restrictions

    For Research Use only
  • Format

    Liquid

    Concentration

    1 mg/mL

    Buffer

    0.01M PBS, pH 7.4, containing 0.05 % Proclin-300, 50 % glycerol.

    Preservative

    ProClin

    Precaution of Use

    This product contains ProClin: a POISONOUS AND HAZARDOUS SUBSTANCE which should be handled by trained staff only.

    Storage

    4 °C,-20 °C

    Storage Comment

    Store at 4°C for frequent use. Stored at -20°C in a manual defrost freezer for two year without detectable loss of activity. Avoid repeated freeze-thaw cycles.

    Expiry Date

    24 months
  • Target

    LOXL1 (Lysyl Oxidase-Like 1 (LOXL1))

    Alternative Name

    LOXL1

    Background

    LOL, LOXL, Lysyl oxidase homolog 1

    UniProt

    Q08397
You are here:
Chat with us!