Phone:
+1 877 302 8632
Fax:
+1 888 205 9894 (Toll-free)
E-Mail:
orders@antibodies-online.com

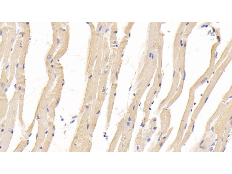
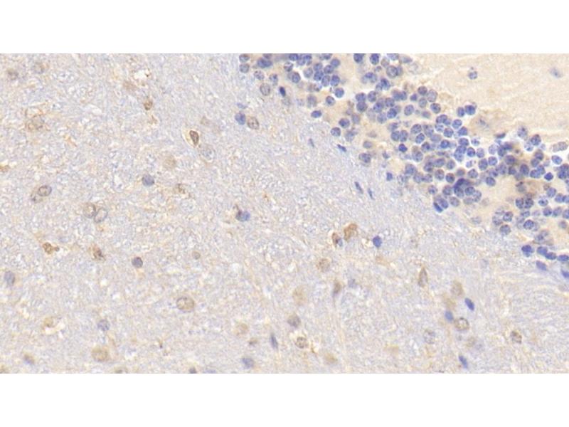
BMP2 antibody (AA 281-394)

The Rabbit Polyclonal anti-BMP2 antibody (ABIN7430393) specifically detects BMP2 in WB, IHC, IP and ICC. The antibody is reactive with Mouse samples.
Catalog No. ABIN7430393
$308.12
Plus shipping costs $50.00
Shipping to: United States
Delivery in 13 to 17 Business Days

Quick Overview for BMP2 antibody (AA 281-394) (ABIN7430393)

Target

See all BMP2 Antibodies
BMP2 (Bone Morphogenetic Protein 2 (BMP2))

Reactivity

  • 116
  • 57
  • 56
  • 26
  • 16
  • 14
  • 12
  • 6
  • 2
  • 2
  • 2
  • 1
  • 1
  • 1
Mouse

Host

  • 124
  • 31
  • 7
  • 1
Rabbit

Clonality

  • 130
  • 33
Polyclonal

Conjugate

  • 78
  • 25
  • 13
  • 5
  • 4
  • 3
  • 2
  • 2
  • 2
  • 2
  • 2
  • 2
  • 2
  • 2
  • 2
  • 2
  • 2
  • 2
  • 2
  • 2
  • 2
  • 2
  • 2
  • 1
This BMP2 antibody is un-conjugated

Application

  • 133
  • 51
  • 50
  • 29
  • 26
  • 26
  • 26
  • 13
  • 12
  • 11
  • 9
  • 7
  • 6
  • 4
  • 3
  • 2
  • 2
  • 1
  • 1
Western Blotting (WB), Immunohistochemistry (IHC), Immunoprecipitation (IP), Immunocytochemistry (ICC)
  • Binding Specificity

    • 19
    • 15
    • 15
    • 6
    • 6
    • 5
    • 5
    • 4
    • 3
    • 3
    • 3
    • 3
    • 2
    • 2
    • 2
    • 2
    • 1
    • 1
    • 1
    • 1
    • 1
    • 1
    • 1
    • 1
    AA 281-394

    Purpose

    Polyclonal Antibody to Bone Morphogenetic Protein 2 (BMP2)

    Specificity

    The antibody is a rabbit polyclonal antibody raised against BMP2. It has been selected for its ability to recognize BMP2 in immunohistochemical staining and western blotting.

    Cross-Reactivity

    Human, Rat

    Purification

    Antigen-specific affinity chromatography followed by Protein A affinity chromatography

    Immunogen

    Recombinant Bone Morphogenetic Protein 2 (BMP2) corresdonding to Gln281~Arg394 with N-terminal His Tag

    Isotype

    IgG
  • Application Notes

    Western blottin:g: 0.01-2 μg/mL,Immunohistochemistry: 5-20 μg/mL,Immunocytochemistry: 5-20 μg/mL,Optimal working dilutions must be determined by end user.

    Comment

    The thermal stability is described by the loss rate. The loss rate was determined by accelerated thermal degradation test, that is, incubate the protein at 37°C for 48h, and no obvious degradation and precipitation were observed. The loss rate is less than 5% within the expiration date under appropriate storage condition.

    Restrictions

    For Research Use only
  • Format

    Liquid

    Concentration

    0.5 mg/mL

    Buffer

    PBS, pH 7.4, containing 0.02 % Sodium azide, 50 % glycerol.

    Preservative

    Sodium azide

    Precaution of Use

    This product contains Sodium azide: a POISONOUS AND HAZARDOUS SUBSTANCE which should be handled by trained staff only.

    Storage

    4 °C,-20 °C

    Storage Comment

    Store at 4°C for frequent use. Stored at -20°C in a manual defrost freezer for two year without detectable loss of activity. Avoid repeated freeze-thaw cycles.

    Expiry Date

    24 months
  • Target

    BMP2 (Bone Morphogenetic Protein 2 (BMP2))

    Alternative Name

    BMP2

    Background

    BMP2A, BMP-2A, Hemochromatosis Modifier

    UniProt

    P21274

    Pathways

    Regulation of Hormone Metabolic Process, Regulation of Hormone Biosynthetic Process, Regulation of Muscle Cell Differentiation, Growth Factor Binding, Positive Regulation of fat Cell Differentiation
You are here:
Chat with us!