Phone:
+1 877 302 8632
Fax:
+1 888 205 9894 (Toll-free)
E-Mail:
orders@antibodies-online.com

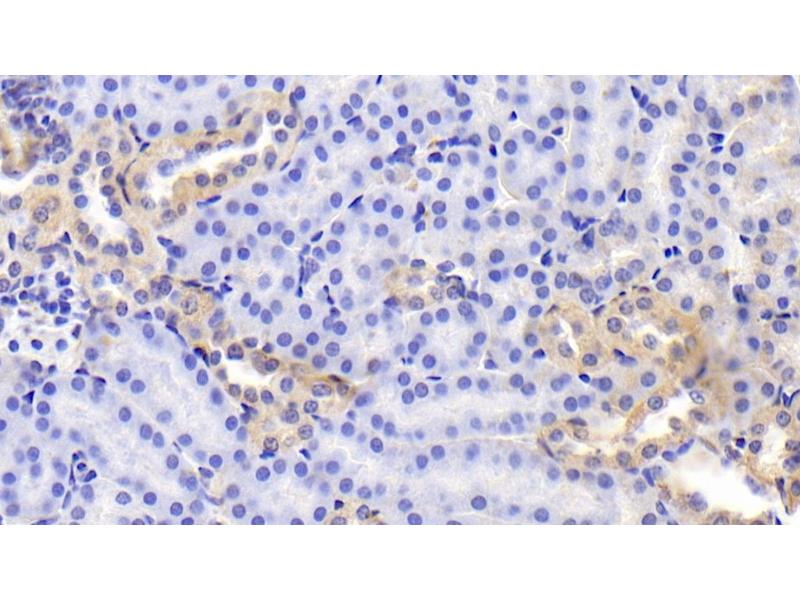
Fibronectin antibody (AA 2117-2236)

This Rabbit Polyclonal antibody specifically detects Fibronectin in WB, IHC, ICC and IP. It exhibits reactivity toward Mouse.
Catalog No. ABIN7428998
$308.12
Plus shipping costs $50.00
Shipping to: United States
Delivery in 13 to 17 Business Days

Quick Overview for Fibronectin antibody (AA 2117-2236) (ABIN7428998)

Target

See all Fibronectin Antibodies
Fibronectin

Reactivity

  • 176
  • 66
  • 63
  • 23
  • 16
  • 8
  • 3
  • 3
  • 2
  • 2
  • 1
  • 1
  • 1
  • 1
Mouse

Host

  • 106
  • 98
  • 5
  • 2
Rabbit

Clonality

  • 126
  • 83
  • 1
Polyclonal

Conjugate

  • 82
  • 28
  • 10
  • 7
  • 4
  • 4
  • 4
  • 4
  • 4
  • 4
  • 3
  • 3
  • 3
  • 3
  • 3
  • 3
  • 3
  • 3
  • 2
  • 2
  • 2
  • 2
  • 2
  • 2
  • 2
  • 2
  • 2
  • 2
  • 2
  • 2
  • 2
  • 2
  • 2
  • 1
  • 1
  • 1
  • 1
  • 1
  • 1
This Fibronectin antibody is un-conjugated

Application

  • 112
  • 88
  • 62
  • 52
  • 48
  • 26
  • 24
  • 22
  • 19
  • 17
  • 13
  • 13
  • 11
  • 10
  • 7
  • 6
  • 5
  • 3
  • 2
  • 2
  • 1
  • 1
  • 1
  • 1
  • 1
  • 1
  • 1
  • 1
  • 1
Western Blotting (WB), Immunohistochemistry (IHC), Immunocytochemistry (ICC), Immunoprecipitation (IP)
  • Binding Specificity

    • 17
    • 15
    • 15
    • 4
    • 3
    • 3
    • 2
    • 1
    • 1
    • 1
    • 1
    • 1
    • 1
    • 1
    • 1
    • 1
    AA 2117-2236

    Purpose

    Polyclonal Antibody to Fibronectin (FN)

    Specificity

    The antibody is a rabbit polyclonal antibody raised against FN. It has been selected for its ability to recognize FN in immunohistochemical staining and western blotting.

    Purification

    Antigen-specific affinity chromatography followed by Protein A affinity chromatography

    Immunogen

    Recombinant Fibronectin (FN) corresdonding to Gly2117~Leu2236 with N-terminal His Tag

    Isotype

    IgG
  • Application Notes

    Western blotting: 0.01-2 μg/mL,Immunohistochemistry: 5-20 μg/mL,Immunocytochemistry: 5-20 μg/mL,Optimal working dilutions must be determined by end user.

    Comment

    The thermal stability is described by the loss rate. The loss rate was determined by accelerated thermal degradation test, that is, incubate the protein at 37°C for 48h, and no obvious degradation and precipitation were observed. The loss rate is less than 5% within the expiration date under appropriate storage condition.

    Restrictions

    For Research Use only
  • Format

    Liquid

    Concentration

    0.5 mg/mL

    Buffer

    PBS, pH 7.4, containing 0.02 % Sodium azide, 50 % glycerol.

    Preservative

    Sodium azide

    Precaution of Use

    This product contains Sodium azide: a POISONOUS AND HAZARDOUS SUBSTANCE which should be handled by trained staff only.

    Storage

    4 °C,-20 °C

    Storage Comment

    Store at 4°C for frequent use. Stored at -20°C in a manual defrost freezer for two year without detectable loss of activity. Avoid repeated freeze-thaw cycles.

    Expiry Date

    24 months
  • Target

    Fibronectin

    Background

    FN1, CIG, FINC, LETS, MSF, GFND2, Anastellin, Migration-Stimulating Factor, Cold-Insoluble Globulin, Large, External, Transformation-Sensitive Protein

    UniProt

    P11276
You are here:
Chat with us!