Phone:
+1 877 302 8632
Fax:
+1 888 205 9894 (Toll-free)
E-Mail:
orders@antibodies-online.com

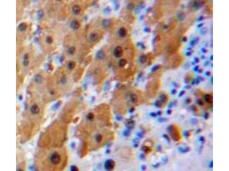
IL16 antibody (AA 1203-1322)

The Rabbit Polyclonal anti-IL16 antibody is suitable to detect IL16 in samples from Mouse. It has been validated for WB, IHC, IP and ICC.
Catalog No. ABIN7430696
$308.12
Plus shipping costs $50.00
Shipping to: United States
Delivery in 13 to 17 Business Days

Quick Overview for IL16 antibody (AA 1203-1322) (ABIN7430696)

Target

See all IL16 Antibodies
IL16 (Interleukin 16 (IL16))

Reactivity

  • 81
  • 17
  • 13
  • 4
  • 3
  • 2
  • 2
  • 1
  • 1
  • 1
Mouse

Host

  • 64
  • 27
  • 1
Rabbit

Clonality

  • 64
  • 28
  • 1
Polyclonal

Conjugate

  • 67
  • 6
  • 5
  • 3
  • 2
  • 2
  • 2
  • 1
  • 1
  • 1
  • 1
  • 1
  • 1
This IL16 antibody is un-conjugated

Application

  • 58
  • 36
  • 25
  • 13
  • 10
  • 10
  • 10
  • 7
  • 7
  • 4
  • 4
  • 2
  • 2
  • 1
  • 1
  • 1
  • 1
Western Blotting (WB), Immunohistochemistry (IHC), Immunoprecipitation (IP), Immunocytochemistry (ICC)
  • Binding Specificity

    • 7
    • 7
    • 5
    • 5
    • 4
    • 2
    • 2
    • 2
    • 2
    • 1
    • 1
    • 1
    • 1
    • 1
    • 1
    • 1
    • 1
    • 1
    • 1
    • 1
    • 1
    AA 1203-1322

    Purpose

    Polyclonal Antibody to Interleukin 16 (IL16)

    Specificity

    The antibody is a rabbit polyclonal antibody raised against IL16. It has been selected for its ability to recognize IL16 in immunohistochemical staining and western blotting.

    Cross-Reactivity

    Rat

    Purification

    Antigen-specific affinity chromatography followed by Protein A affinity chromatography

    Immunogen

    Recombinant Interleukin 16 (IL16) corresdonding to Thr1203~Ser1322 (Accession # O54824)

    Isotype

    IgG
  • Application Notes

    Western blotting: 0.5-2 μg/mL,1:470-1900Immunohistochemistry: 5-20 μg/mL,1:47-190Immunocytochemistry: 5-20 μg/mL,1:47-190Optimal working dilutions must be determined by end user.

    Comment

    The thermal stability is described by the loss rate. The loss rate was determined by accelerated thermal degradation test, that is, incubate the protein at 37°C for 48h, and no obvious degradation and precipitation were observed. The loss rate is less than 5% within the expiration date under appropriate storage condition.

    Restrictions

    For Research Use only
  • Format

    Liquid

    Concentration

    0.94 mg/mL

    Buffer

    0.01M PBS, pH 7.4, containing 0.05 % Proclin-300, 50 % glycerol.

    Preservative

    ProClin

    Precaution of Use

    This product contains ProClin: a POISONOUS AND HAZARDOUS SUBSTANCE which should be handled by trained staff only.

    Storage

    4 °C,-20 °C

    Storage Comment

    Store at 4°C for frequent use. Stored at -20°C in a manual defrost freezer for two year without detectable loss of activity. Avoid repeated freeze-thaw cycles.

    Expiry Date

    24 months
  • Target

    IL16 (Interleukin 16 (IL16))

    Alternative Name

    IL16

    Background

    LCF, PrIL-16, Lymphocyte Chemoattractant Factor, Pro-Interleukin 16

    UniProt

    O54824
You are here:
Chat with us!