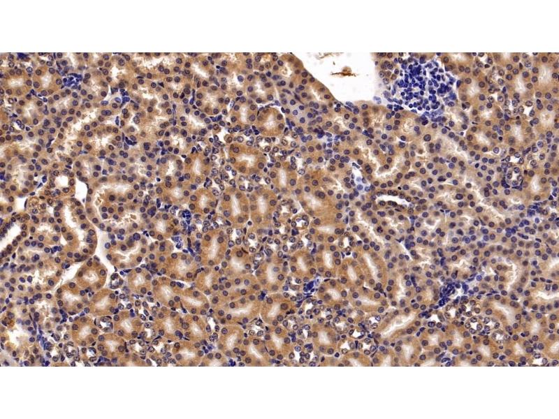
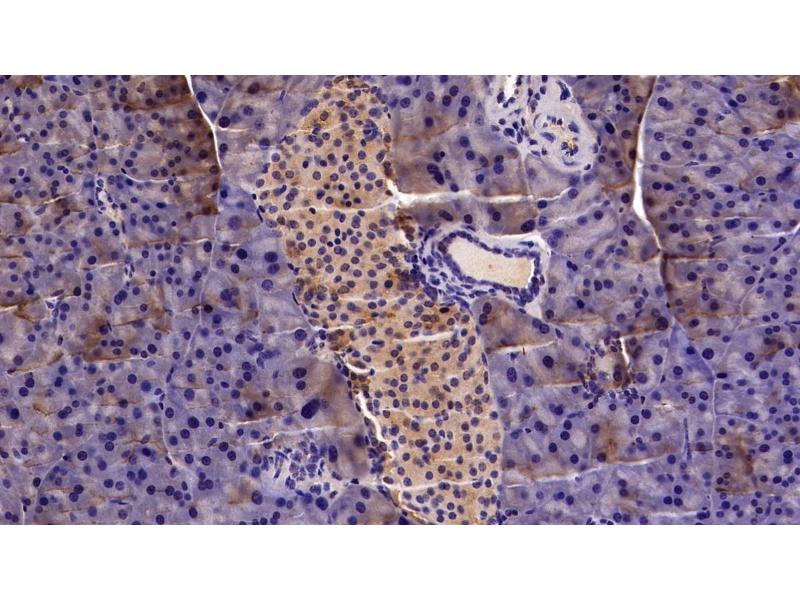
MGEA5 antibody (AA 319-450)
Quick Overview for MGEA5 antibody (AA 319-450) (ABIN7438487)
Target
See all MGEA5 AntibodiesReactivity
Host
Clonality
Conjugate
Application
-
-
Binding Specificity
- AA 319-450
-
Purpose
- Polyclonal Antibody to Meningioma Expressed Antigen 5 (MGEA5)
-
Specificity
- The antibody is a rabbit polyclonal antibody raised against MGEA5. It has been selected for its ability to recognize MGEA5 in immunohistochemical staining and western blotting.
-
Cross-Reactivity
- Mouse
-
Purification
- Antigen-specific affinity chromatography followed by Protein A affinity chromatography
-
Immunogen
- Recombinant Meningioma Expressed Antigen 5 (MGEA5) corresdonding to Glu319~Thr450 with N-terminal His Tag
-
Isotype
- IgG
-
-
-
-
Application Notes
- Western blotting: 0.01-2 μg/mL,Immunohistochemistry: 5-20 μg/mL,Immunocytochemistry: 5-20 μg/mL,Optimal working dilutions must be determined by end user.
-
Comment
-
The thermal stability is described by the loss rate. The loss rate was determined by accelerated thermal degradation test, that is, incubate the protein at 37°C for 48h, and no obvious degradation and precipitation were observed. The loss rate is less than 5% within the expiration date under appropriate storage condition.
-
Restrictions
- For Research Use only
-
-
-
Format
- Liquid
-
Concentration
- 0.45 mg/mL
-
Buffer
- 0.01M PBS, pH 7.4, containing 0.05 % Proclin-300, 50 % glycerol.
-
Preservative
- ProClin
-
Precaution of Use
- This product contains ProClin: a POISONOUS AND HAZARDOUS SUBSTANCE which should be handled by trained staff only.
-
Storage
- 4 °C,-20 °C
-
Storage Comment
- Store at 4°C for frequent use. Stored at -20°C in a manual defrost freezer for two year without detectable loss of activity. Avoid repeated freeze-thaw cycles.
-
Expiry Date
- 24 months
-
-
- MGEA5 (Meningioma Expressed Antigen 5 (Hyaluronidase) (MGEA5))
-
Alternative Name
- MGEA5
-
Background
- NAGase, MEA5, NCOAT, Hexosaminidase C, N-Acetylhexosaminidase, Hyaluronidase, Meningioma-Expressed Antigen 5, Nuclear Cytoplasmic O-GlcNAcase And Acetyltransferase
-
UniProt
- O60502
-
Pathways
- Positive Regulation of Peptide Hormone Secretion, Regulation of Carbohydrate Metabolic Process
Target
-