Phone:
+1 877 302 8632
Fax:
+1 888 205 9894 (Toll-free)
E-Mail:
orders@antibodies-online.com

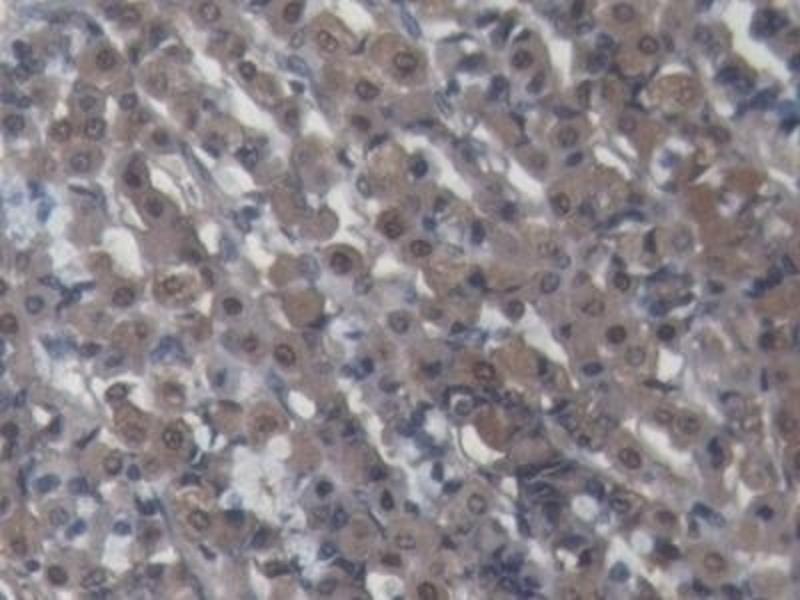
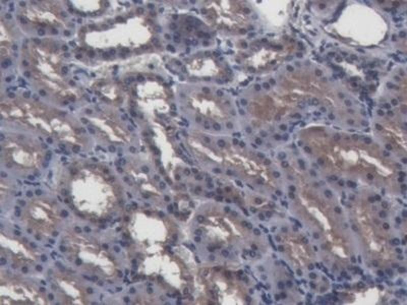
Gallinacin-2 (GAL2) (AA 1-123) antibody

The Rabbit Polyclonal anti-Gallinacin-2 antibody is suitable to detect Gallinacin-2 in samples from Pig. It has been validated for WB, IHC, ICC and IP.
Catalog No. ABIN7431554
$346.18
Plus shipping costs $50.00
Shipping to: United States
Delivery in 13 to 17 Business Days

Quick Overview for Gallinacin-2 (GAL2) (AA 1-123) antibody (ABIN7431554)

Target

Gallinacin-2 (GAL2)

Reactivity

  • 6
  • 1
  • 1
Pig

Host

  • 4
  • 4
Rabbit

Clonality

  • 4
  • 4
Polyclonal

Conjugate

  • 8
Un-conjugated

Application

  • 8
  • 7
  • 7
  • 6
  • 1
  • 1
  • 1
Western Blotting (WB), Immunohistochemistry (IHC), Immunocytochemistry (ICC), Immunoprecipitation (IP)
  • Binding Specificity

    • 4
    • 2
    AA 1-123

    Purpose

    Polyclonal Antibody to Galectin 2 (GAL2)

    Specificity

    The antibody is a rabbit polyclonal antibody raised against GAL2. It has been selected for its ability to recognize GAL2 in immunohistochemical staining and western blotting.

    Cross-Reactivity

    Mouse

    Purification

    Antigen-specific affinity chromatography followed by Protein A affinity chromatography

    Immunogen

    Recombinant Galectin 2 (GAL2) corresdonding to Met1~Phe123

    Isotype

    IgG
  • Application Notes

    Western blotting: 0.5-2 μg/mL,1:500-2000,Immunohistochemistry: 5-20 μg/mL,1:50-200,Immunocytochemistry: 5-20 μg/mL,1:50-200,Optimal working dilutions must be determined by end user.

    Comment

    The thermal stability is described by the loss rate. The loss rate was determined by accelerated thermal degradation test, that is, incubate the protein at 37°C for 48h, and no obvious degradation and precipitation were observed. The loss rate is less than 5% within the expiration date under appropriate storage condition.

    Restrictions

    For Research Use only
  • Format

    Liquid

    Concentration

    1 mg/mL

    Buffer

    PBS, pH 7.4, containing 0.02 % Sodium azide, 50 % glycerol.

    Preservative

    Sodium azide

    Precaution of Use

    This product contains Sodium azide: a POISONOUS AND HAZARDOUS SUBSTANCE which should be handled by trained staff only.

    Storage

    4 °C,-20 °C

    Storage Comment

    Store at 4°C for frequent use. Stored at -20°C in a manual defrost freezer for two year without detectable loss of activity. Avoid repeated freeze-thaw cycles.

    Expiry Date

    24 months
  • Target

    Gallinacin-2 (GAL2)

    Alternative Name

    GAL2

    Background

    LGALS2, HL14, Lectin,Galactoside-Binding Soluble 2, Beta-galactoside-binding lectin L-14-II, Lactose-binding lectin 2, S-Lac lectin 2

    UniProt

    Q29373
You are here:
Chat with us!