Phone:
+1 877 302 8632
Fax:
+1 888 205 9894 (Toll-free)
E-Mail:
orders@antibodies-online.com

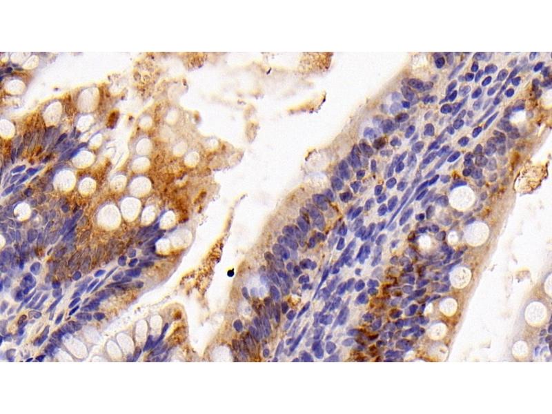
GAL4 antibody (AA 1-323)

The Rabbit Polyclonal anti-GAL4 antibody is suitable to detect GAL4 in samples from Human. It has been validated for WB, IHC, IP and ICC.
Catalog No. ABIN7431569
$302.11
Plus shipping costs $50.00
Shipping to: United States
Delivery in 13 to 17 Business Days

Quick Overview for GAL4 antibody (AA 1-323) (ABIN7431569)

Target

See all GAL4 (LGALS4) Antibodies
GAL4 (LGALS4) (Galectin 4 (LGALS4))

Reactivity

  • 64
  • 21
  • 10
  • 3
  • 3
  • 2
  • 2
  • 1
  • 1
  • 1
  • 1
  • 1
  • 1
Human

Host

  • 75
  • 7
Rabbit

Clonality

  • 65
  • 17
Polyclonal

Conjugate

  • 43
  • 9
  • 7
  • 3
  • 3
  • 2
  • 2
  • 2
  • 2
  • 2
  • 2
  • 2
  • 1
  • 1
  • 1
This GAL4 antibody is un-conjugated

Application

  • 59
  • 38
  • 27
  • 18
  • 15
  • 12
  • 11
  • 6
  • 4
  • 2
  • 1
  • 1
Western Blotting (WB), Immunohistochemistry (IHC), Immunoprecipitation (IP), Immunocytochemistry (ICC)
  • Binding Specificity

    • 13
    • 8
    • 6
    • 5
    • 3
    • 3
    • 2
    • 1
    • 1
    • 1
    • 1
    • 1
    • 1
    • 1
    • 1
    • 1
    • 1
    • 1
    • 1
    • 1
    • 1
    AA 1-323

    Purpose

    Polyclonal Antibody to Galectin 4 (GAL4)

    Specificity

    The antibody is a rabbit polyclonal antibody raised against GAL4. It has been selected for its ability to recognize GAL4 in immunohistochemical staining and western blotting.

    Cross-Reactivity

    Mouse, Rat

    Purification

    Antigen-specific affinity chromatography followed by Protein A affinity chromatography

    Immunogen

    Recombinant Galectin 4 (GAL4) corresdonding to Met1~Ile323 (Accession # P56470)

    Isotype

    IgG
  • Application Notes

    Western blotting: 0.5-2 μg/mL,Immunohistochemistry: 5-20 μg/mL,Immunocytochemistry: 5-20 μg/mL,Optimal working dilutions must be determined by end user.

    Comment

    The thermal stability is described by the loss rate. The loss rate was determined by accelerated thermal degradation test, that is, incubate the protein at 37°C for 48h, and no obvious degradation and precipitation were observed. The loss rate is less than 5% within the expiration date under appropriate storage condition.

    Restrictions

    For Research Use only
  • Format

    Liquid

    Concentration

    1 mg/mL

    Buffer

    0.01M PBS, pH 7.4, containing 0.05 % Proclin-300, 50 % glycerol.

    Preservative

    ProClin

    Precaution of Use

    This product contains ProClin: a POISONOUS AND HAZARDOUS SUBSTANCE which should be handled by trained staff only.

    Storage

    4 °C,-20 °C

    Storage Comment

    Store at 4°C for frequent use. Stored at -20°C in a manual defrost freezer for two year without detectable loss of activity. Avoid repeated freeze-thaw cycles.

    Expiry Date

    24 months
  • Target

    GAL4 (LGALS4) (Galectin 4 (LGALS4))

    Alternative Name

    GAL4

    Background

    LGALS4, Lactose-Binding Lectin 4, L-36 Lactose-Binding Protein, L36LBP, Lectin,Galactoside-Binding Soluble 4

    UniProt

    P56470
You are here:
Blank Blank Blank Blank
Blank Blank Blank Blank
Chat with us!