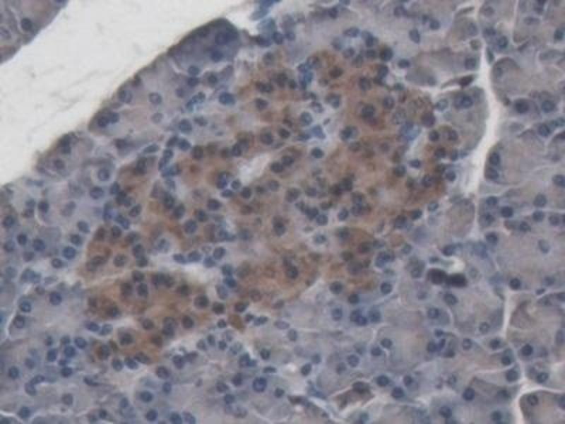
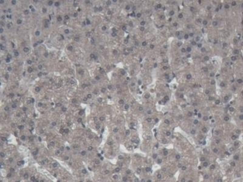
DAO antibody (AA 27-113)
Quick Overview for DAO antibody (AA 27-113) (ABIN7432328)
Target
See all DAO (ABP1) AntibodiesReactivity
Host
Clonality
Conjugate
Application
-
-
Binding Specificity
- AA 27-113
-
Purpose
- Polyclonal Antibody to Amiloride Binding Protein 1 (ABP1)
-
Specificity
- The antibody is a rabbit polyclonal antibody raised against ABP1. It has been selected for its ability to recognize ABP1 in immunohistochemical staining and western blotting.
-
Cross-Reactivity
- Mouse
-
Purification
- Antigen-specific affinity chromatography followed by Protein A affinity chromatography
-
Immunogen
- Recombinant Amiloride Binding Protein 1 (ABP1) corresdonding to Ser27~Gln113
-
Isotype
- IgG
-
-
-
-
Application Notes
- Western blotting: 0.01-2 μg/mL,Immunohistochemistry: 5-20 μg/mL,Immunocytochemistry: 5-20 μg/mL,Optimal working dilutions must be determined by end user.
-
Comment
-
The thermal stability is described by the loss rate. The loss rate was determined by accelerated thermal degradation test, that is, incubate the protein at 37°C for 48h, and no obvious degradation and precipitation were observed. The loss rate is less than 5% within the expiration date under appropriate storage condition.
-
Restrictions
- For Research Use only
-
-
-
Format
- Liquid
-
Concentration
- 0.5 mg/mL
-
Buffer
- 0.01M PBS, pH 7.4, containing 0.05 % Proclin-300, 50 % glycerol.
-
Preservative
- ProClin, Sodium azide
-
Precaution of Use
- This product contains ProClin and Sodium azide: POISONOUS AND HAZARDOUS SUBSTANCES which should be handled by trained staff only.
-
Storage
- 4 °C,-20 °C
-
Storage Comment
- Store at 4°C for frequent use. Stored at -20°C in a manual defrost freezer for two year without detectable loss of activity. Avoid repeated freeze-thaw cycles.
-
Expiry Date
- 24 months
-
-
- DAO (ABP1) (Amiloride Binding Protein 1 (Amine Oxidase (Copper-Containing)) (ABP1))
-
Alternative Name
- ABP1
-
Background
- AOC1, DAO, KAO, Histaminase, Kidney amine oxidase, Diamine Oxidase, Amiloride-sensitive amine oxidase, Amine oxidase copper domain-containing protein 1
-
UniProt
- Q9TRC7
Target
-