Phone:
+1 877 302 8632
Fax:
+1 888 205 9894 (Toll-free)
E-Mail:
orders@antibodies-online.com

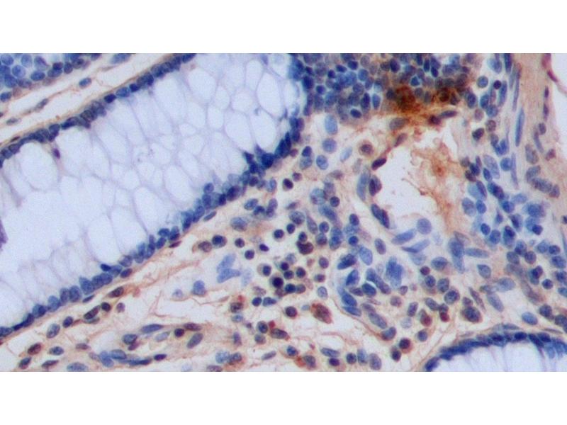
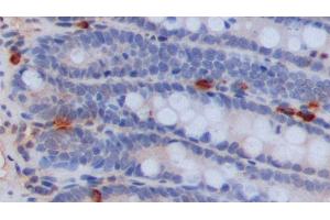
Serotonin antibody

This Rabbit Polyclonal antibody specifically detects Serotonin in ICC, IP, IHC (fro), ELISA and CLIA. It exhibits reactivity toward Various Species.
Catalog No. ABIN7429649
$360.20
Plus shipping costs $50.00
Shipping to: United States
Delivery in 13 to 17 Business Days

Quick Overview for Serotonin antibody (ABIN7429649)

Target

See all Serotonin (5-HT) Antibodies
Serotonin (5-HT) (5-Hydroxytryptamine (5-HT))

Reactivity

Various Species

Host

  • 18
  • 3
  • 1
Rabbit

Clonality

  • 19
  • 2
Polyclonal

Conjugate

  • 6
  • 2
  • 2
  • 1
  • 1
  • 1
  • 1
  • 1
  • 1
  • 1
  • 1
  • 1
  • 1
  • 1
  • 1
This Serotonin antibody is un-conjugated

Application

  • 13
  • 13
  • 6
  • 5
  • 5
  • 4
  • 4
  • 3
  • 1
  • 1
  • 1
  • 1
Immunocytochemistry (ICC), Immunoprecipitation (IP), Immunohistochemistry (Frozen Sections) (IHC (fro)), ELISA, Chemiluminescence Immunoassay (CLIA)
  • Purpose

    Polyclonal Antibody to 5-Hydroxytryptamine (5-HT)

    Specificity

    The antibody is a rabbit polyclonal antibody raised against 5-HT. It has been selected for its ability to recognize 5-HT in ELISA and CLIA.

    Cross-Reactivity

    Various Species

    Purification

    Antigen-specific affinity chromatography followed by Protein A affinity chromatography

    Immunogen

    BSA Conjugated 5-Hydroxytryptamine (5-HT)

    Isotype

    IgG
  • Application Notes

    Enzyme-Linked Immune Sorbent Assay: 136 ng/mL,Immunohistochemistry: 5-20 μg/mL,Immunocytochemistry: 5-20 μg/mL,Optimal working dilutions must be determined by end user.

    Comment

    The thermal stability is described by the loss rate. The loss rate was determined by accelerated thermal degradation test, that is, incubate the protein at 37°C for 48h, and no obvious degradation and precipitation were observed. The loss rate is less than 5% within the expiration date under appropriate storage condition.

    Restrictions

    For Research Use only
  • Format

    Liquid

    Concentration

    0.24 mg/mL

    Buffer

    0.01M PBS, pH 7.4, containing 0.05 % Proclin-300, 50 % glycerol.

    Preservative

    ProClin

    Precaution of Use

    This product contains ProClin: a POISONOUS AND HAZARDOUS SUBSTANCE which should be handled by trained staff only.

    Storage

    4 °C,-20 °C

    Storage Comment

    Store at 4°C for frequent use. Stored at -20°C in a manual defrost freezer for two year without detectable loss of activity. Avoid repeated freeze-thaw cycles.

    Expiry Date

    24 months
  • Target

    Serotonin (5-HT) (5-Hydroxytryptamine (5-HT))

    Alternative Name

    5-HT

    Target Type

    Chemical

    Background

    5HT, Serotonin, N-Methyl-Gamma
You are here:
Chat with us!