Phone:
+1 877 302 8632
Fax:
+1 888 205 9894 (Toll-free)
E-Mail:
orders@antibodies-online.com

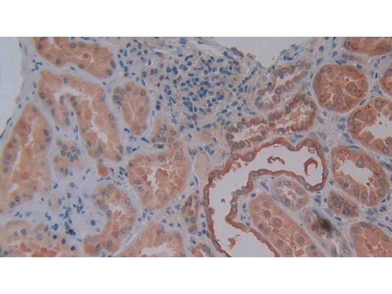
Osteopontin antibody (AA 18-314)

The Rabbit Polyclonal anti-Osteopontin antibody is suitable to detect Osteopontin in samples from Rhesus Monkey. It has been validated for WB, IHC, IP and ICC.
Catalog No. ABIN7442486
$364.20
Plus shipping costs $50.00
Shipping to: United States
Delivery in 13 to 17 Business Days

Quick Overview for Osteopontin antibody (AA 18-314) (ABIN7442486)

Target

See all Osteopontin (SPP1) Antibodies
Osteopontin (SPP1) (Secreted phosphoprotein 1 (SPP1))

Reactivity

  • 165
  • 76
  • 76
  • 11
  • 9
  • 7
  • 6
  • 4
  • 4
  • 4
  • 2
  • 2
  • 1
  • 1
  • 1
  • 1
Rhesus Monkey

Host

  • 133
  • 63
  • 4
  • 3
  • 2
  • 2
  • 2
Rabbit

Clonality

  • 121
  • 82
Polyclonal

Conjugate

  • 103
  • 14
  • 14
  • 8
  • 8
  • 6
  • 3
  • 3
  • 3
  • 3
  • 3
  • 3
  • 3
  • 3
  • 3
  • 3
  • 3
  • 3
  • 3
  • 3
  • 3
  • 3
  • 3
  • 2
  • 1
  • 1
  • 1
This Osteopontin antibody is un-conjugated

Application

  • 163
  • 75
  • 65
  • 40
  • 39
  • 36
  • 33
  • 30
  • 23
  • 21
  • 9
  • 7
  • 4
  • 3
  • 2
  • 2
  • 2
  • 1
  • 1
  • 1
Western Blotting (WB), Immunohistochemistry (IHC), Immunoprecipitation (IP), Immunocytochemistry (ICC)
  • Binding Specificity

    • 15
    • 15
    • 15
    • 13
    • 11
    • 7
    • 6
    • 5
    • 5
    • 5
    • 4
    • 3
    • 3
    • 3
    • 2
    • 2
    • 2
    • 2
    • 2
    • 2
    • 2
    • 2
    • 1
    • 1
    • 1
    • 1
    • 1
    • 1
    • 1
    • 1
    • 1
    • 1
    • 1
    AA 18-314

    Purpose

    Polyclonal Antibody to Osteopontin (OPN)

    Specificity

    The antibody is a rabbit polyclonal antibody raised against OPN. It has been selected for its ability to recognize OPN in immunohistochemical staining and western blotting.

    Cross-Reactivity

    Human, Pig

    Purification

    Antigen-specific affinity chromatography followed by Protein A affinity chromatography

    Immunogen

    Recombinant Osteopontin (OPN) corresdonding to Pro18~Asn314 (Accession # F6V2X3)

    Isotype

    IgG
  • Application Notes

    Western blotting: 0.01-3 μg/mL,Immunohistochemistry: 5-30 μg/mL,Immunocytochemistry: 5-30 μg/mL,Optimal working dilutions must be determined by end user.

    Comment

    The thermal stability is described by the loss rate. The loss rate was determined by accelerated thermal degradation test, that is, incubate the protein at 37°C for 48h, and no obvious degradation and precipitation were observed. The loss rate is less than 5% within the expiration date under appropriate storage condition.

    Restrictions

    For Research Use only
  • Format

    Liquid

    Concentration

    0.67 mg/mL

    Buffer

    PBS, pH 7.4, containing 0.02 % Sodium azide, 50 % glycerol.

    Preservative

    Sodium azide

    Precaution of Use

    This product contains Sodium azide: a POISONOUS AND HAZARDOUS SUBSTANCE which should be handled by trained staff only.

    Storage

    4 °C,-20 °C

    Storage Comment

    Store at 4°C for frequent use. Stored at -20°C in a manual defrost freezer for two year without detectable loss of activity. Avoid repeated freeze-thaw cycles.

    Expiry Date

    24 months
  • Target

    Osteopontin (SPP1) (Secreted phosphoprotein 1 (SPP1))

    Alternative Name

    Osteopontin

    Background

    SPP1, BNSP, BSPI, ETA1, Secreted Phosphoprotein 1, Bone Sialoprotein I, Early T-Lymphocyte Activation 1, Nephropontin, Urinary stone protein, Uropontin

    UniProt

    F6V2X3

    Pathways

    Regulation of Cell Size
You are here:
Chat with us!