Phone:
+1 877 302 8632
Fax:
+1 888 205 9894 (Toll-free)
E-Mail:
orders@antibodies-online.com

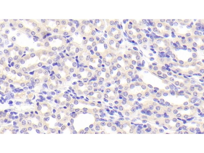
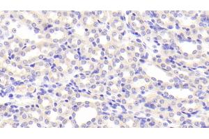
MPEG1 antibody (AA 41-313)

This Rabbit Polyclonal antibody specifically detects MPEG1 in WB, IHC, IP and ICC. It exhibits reactivity toward Mouse.
Catalog No. ABIN7443401
$320.14
Plus shipping costs $50.00
Shipping to: United States
Delivery in 13 to 17 Business Days

Quick Overview for MPEG1 antibody (AA 41-313) (ABIN7443401)

Target

MPEG1 (Macrophage Expressed Gene 1 (MPEG1))

Reactivity

  • 11
  • 4
  • 2
  • 1
Mouse

Host

  • 14
Rabbit

Clonality

  • 14
Polyclonal

Conjugate

  • 11
  • 1
  • 1
  • 1
This MPEG1 antibody is un-conjugated

Application

  • 8
  • 5
  • 5
  • 2
  • 2
  • 1
  • 1
Western Blotting (WB), Immunohistochemistry (IHC), Immunoprecipitation (IP), Immunocytochemistry (ICC)
  • Binding Specificity

    • 4
    • 2
    • 1
    • 1
    • 1
    • 1
    • 1
    AA 41-313

    Purpose

    Polyclonal Antibody to Macrophage Expressed Gene 1 Protein (MPG1)

    Specificity

    The antibody is a rabbit polyclonal antibody raised against MPG1. It has been selected for its ability to recognize MPG1 in immunohistochemical staining and western blotting.

    Cross-Reactivity

    Rat

    Purification

    Antigen-specific affinity chromatography followed by Protein A affinity chromatography

    Immunogen

    Recombinant Macrophage Expressed Gene 1 Protein (MPG1) corresdonding to Cys41~Ala313

    Isotype

    IgG
  • Application Notes

    Western blotting: 0.01-2 μg/mL,Immunohistochemistry: 5-20 μg/mL,Immunocytochemistry: 5-20 μg/mL,Optimal working dilutions must be determined by end user.

    Comment

    The thermal stability is described by the loss rate. The loss rate was determined by accelerated thermal degradation test, that is, incubate the protein at 37°C for 48h, and no obvious degradation and precipitation were observed. The loss rate is less than 5% within the expiration date under appropriate storage condition.

    Restrictions

    For Research Use only
  • Format

    Liquid

    Concentration

    0.29 mg/mL

    Buffer

    PBS, pH 7.4, containing 0.02 % Sodium azide, 50 % glycerol.

    Preservative

    Sodium azide

    Precaution of Use

    This product contains Sodium azide: a POISONOUS AND HAZARDOUS SUBSTANCE which should be handled by trained staff only.

    Storage

    4 °C,-20 °C

    Storage Comment

    Store at 4°C for frequent use. Stored at -20°C in a manual defrost freezer for two year without detectable loss of activity. Avoid repeated freeze-thaw cycles.

    Expiry Date

    24 months
  • Target

    MPEG1 (Macrophage Expressed Gene 1 (MPEG1))

    Alternative Name

    MPG1

    Background

    MPEG1

    UniProt

    A1L314
You are here:
Chat with us!