Phone:
+1 877 302 8632
Fax:
+1 888 205 9894 (Toll-free)
E-Mail:
orders@antibodies-online.com

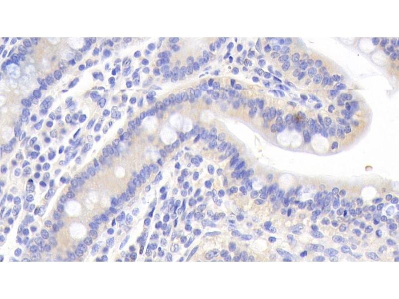
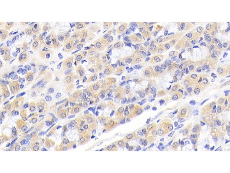
Calreticulin antibody (AA 196-310)

This Rabbit Polyclonal antibody specifically detects Calreticulin in WB, IHC, IP, ICC and FACS. It exhibits reactivity toward Human.
Catalog No. ABIN7438052
$313.13
Plus shipping costs $50.00
Shipping to: United States
Delivery in 13 to 17 Business Days

Quick Overview for Calreticulin antibody (AA 196-310) (ABIN7438052)

Target

See all Calreticulin (CALR) Antibodies
Calreticulin (CALR)

Reactivity

  • 150
  • 85
  • 69
  • 11
  • 10
  • 9
  • 8
  • 8
  • 7
  • 6
  • 6
  • 4
  • 3
  • 2
  • 1
  • 1
  • 1
  • 1
  • 1
  • 1
Human

Host

  • 137
  • 21
  • 3
  • 1
Rabbit

Clonality

  • 117
  • 45
Polyclonal

Conjugate

  • 82
  • 14
  • 12
  • 7
  • 6
  • 4
  • 3
  • 3
  • 3
  • 3
  • 3
  • 3
  • 2
  • 1
  • 1
  • 1
  • 1
  • 1
  • 1
  • 1
  • 1
  • 1
  • 1
  • 1
  • 1
  • 1
  • 1
  • 1
  • 1
  • 1
This Calreticulin antibody is un-conjugated

Application

  • 125
  • 76
  • 56
  • 55
  • 42
  • 37
  • 33
  • 18
  • 14
  • 13
  • 3
  • 2
  • 2
  • 1
  • 1
  • 1
  • 1
  • 1
  • 1
Western Blotting (WB), Immunohistochemistry (IHC), Immunoprecipitation (IP), Immunocytochemistry (ICC), Flow Cytometry (FACS)
  • Binding Specificity

    • 16
    • 12
    • 7
    • 7
    • 6
    • 4
    • 4
    • 3
    • 2
    • 2
    • 2
    • 2
    • 2
    • 2
    • 1
    • 1
    • 1
    • 1
    • 1
    • 1
    • 1
    • 1
    • 1
    • 1
    • 1
    • 1
    • 1
    • 1
    AA 196-310

    Purpose

    Polyclonal Antibody to Calreticulin (CALR)

    Specificity

    The antibody is a rabbit polyclonal antibody raised against CALR. It has been selected for its ability to recognize CALR in immunohistochemical staining and western blotting.

    Cross-Reactivity

    Mouse, Pig, Rat

    Purification

    Antigen-specific affinity chromatography followed by Protein A affinity chromatography

    Immunogen

    Recombinant Calreticulin (CALR) corresdonding to Leu196~Asn310 with N-terminal His Tag

    Isotype

    IgG
  • Application Notes

    Western blotting: 0.5-2 μg/mL,Immunohistochemistry: 5-20 μg/mL,Immunocytochemistry: 5-20 μg/mL,Flow cytometry:20 μg/mL,Optimal working dilutions must be determined by end user.,

    Comment

    The thermal stability is described by the loss rate. The loss rate was determined by accelerated thermal degradation test, that is, incubate the protein at 37°C for 48h, and no obvious degradation and precipitation were observed. The loss rate is less than 5% within the expiration date under appropriate storage condition.

    Restrictions

    For Research Use only
  • Format

    Liquid

    Concentration

    500 μg/mL

    Buffer

    PBS, pH 7.4, containing 0.02 % Sodium azide, 50 % glycerol.

    Preservative

    Sodium azide

    Precaution of Use

    This product contains Sodium azide: a POISONOUS AND HAZARDOUS SUBSTANCE which should be handled by trained staff only.

    Storage

    4 °C,-20 °C

    Storage Comment

    Store at 4°C for frequent use. Stored at -20°C in a manual defrost freezer for two year without detectable loss of activity. Avoid repeated freeze-thaw cycles.

    Expiry Date

    24 months
  • Target

    Calreticulin (CALR)

    Alternative Name

    CALR

    Background

    CRT, RO, SSA, CC1qR, ERp60, HACBP, grp60, CRTC, CRP55, Calregulin, Sicca Syndrome Antigen A, Autoantigen Ro, Endoplasmic reticulum resident protein 60

    UniProt

    P27797

    Pathways

    Retinoic Acid Receptor Signaling Pathway, Intracellular Steroid Hormone Receptor Signaling Pathway, Regulation of Intracellular Steroid Hormone Receptor Signaling, Nuclear Hormone Receptor Binding, ER-Nucleus Signaling, Unfolded Protein Response
You are here:
Chat with us!