Phone:
+1 877 302 8632
Fax:
+1 888 205 9894 (Toll-free)
E-Mail:
orders@antibodies-online.com

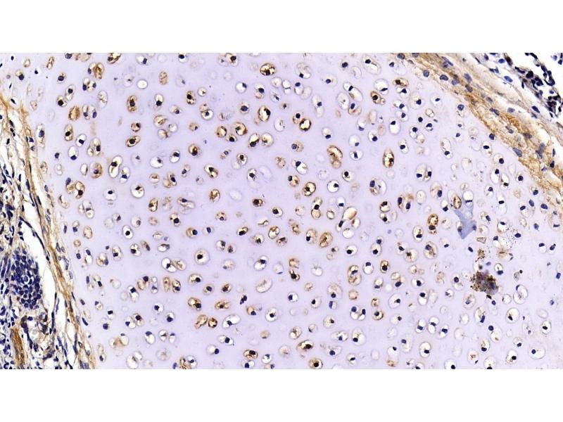
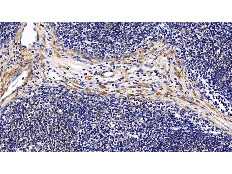
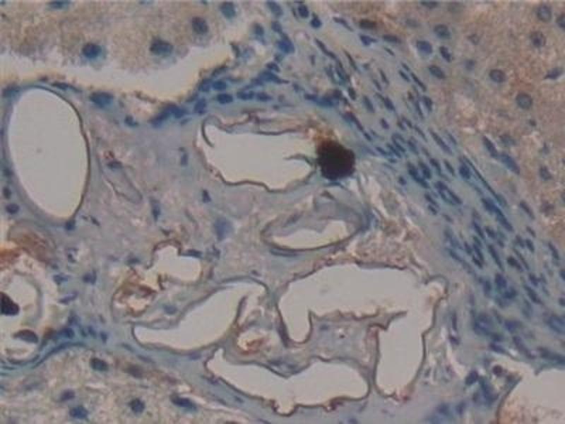
Fibromodulin antibody (AA 19-376)

This Rabbit Polyclonal antibody specifically detects Fibromodulin in WB, IHC, IP and ICC. It exhibits reactivity toward Human.
Catalog No. ABIN7433693
$313.13
Plus shipping costs $50.00
Shipping to: United States
Delivery in 13 to 17 Business Days

Quick Overview for Fibromodulin antibody (AA 19-376) (ABIN7433693)

Target

See all Fibromodulin (FMOD) Antibodies
Fibromodulin (FMOD)

Reactivity

  • 56
  • 28
  • 24
  • 2
  • 2
  • 1
  • 1
  • 1
Human

Host

  • 50
  • 7
  • 2
Rabbit

Clonality

  • 54
  • 5
Polyclonal

Conjugate

  • 26
  • 5
  • 4
  • 3
  • 2
  • 2
  • 1
  • 1
  • 1
  • 1
  • 1
  • 1
  • 1
  • 1
  • 1
  • 1
  • 1
  • 1
  • 1
  • 1
  • 1
  • 1
  • 1
This Fibromodulin antibody is un-conjugated

Application

  • 46
  • 24
  • 19
  • 14
  • 13
  • 13
  • 6
  • 3
  • 3
  • 2
  • 2
  • 1
Western Blotting (WB), Immunohistochemistry (IHC), Immunoprecipitation (IP), Immunocytochemistry (ICC)
  • Binding Specificity

    • 15
    • 12
    • 6
    • 6
    • 3
    • 2
    • 2
    • 2
    • 1
    • 1
    • 1
    • 1
    AA 19-376

    Purpose

    Polyclonal Antibody to Fibromodulin (FMOD)

    Specificity

    The antibody is a rabbit polyclonal antibody raised against FMOD. It has been selected for its ability to recognize FMOD in immunohistochemical staining and western blotting.

    Cross-Reactivity

    Pig

    Purification

    Antigen-specific affinity chromatography followed by Protein A affinity chromatography

    Immunogen

    Recombinant Fibromodulin (FMOD) corresdonding to Gln19~Ile376 with N-terminal His Tag

    Isotype

    IgG
  • Application Notes

    Western blotting: 0.01-2 μg/mL,Immunohistochemistry: 5-20 μg/mL,Immunocytochemistry: 5-20 μg/mL,Optimal working dilutions must be determined by end user.

    Comment

    The thermal stability is described by the loss rate. The loss rate was determined by accelerated thermal degradation test, that is, incubate the protein at 37°C for 48h, and no obvious degradation and precipitation were observed. The loss rate is less than 5% within the expiration date under appropriate storage condition.

    Restrictions

    For Research Use only
  • Format

    Liquid

    Concentration

    0.5 mg/mL

    Buffer

    PBS, pH 7.4, containing 0.02 % Sodium azide, 50 % glycerol.

    Preservative

    Sodium azide

    Precaution of Use

    This product contains Sodium azide: a POISONOUS AND HAZARDOUS SUBSTANCE which should be handled by trained staff only.

    Storage

    4 °C,-20 °C

    Storage Comment

    Store at 4°C for frequent use. Stored at -20°C in a manual defrost freezer for two year without detectable loss of activity. Avoid repeated freeze-thaw cycles.

    Expiry Date

    24 months
  • Target

    Fibromodulin (FMOD)

    Alternative Name

    FMOD

    Background

    SLRR2E, FM, Collagen-binding 59 kDa protein, Keratan sulfate proteoglycan fibromodulin, KSPG fibromodulin

    UniProt

    Q06828

    Pathways

    Glycosaminoglycan Metabolic Process
You are here:
Chat with us!