Phone:
+1 877 302 8632
Fax:
+1 888 205 9894 (Toll-free)
E-Mail:
orders@antibodies-online.com

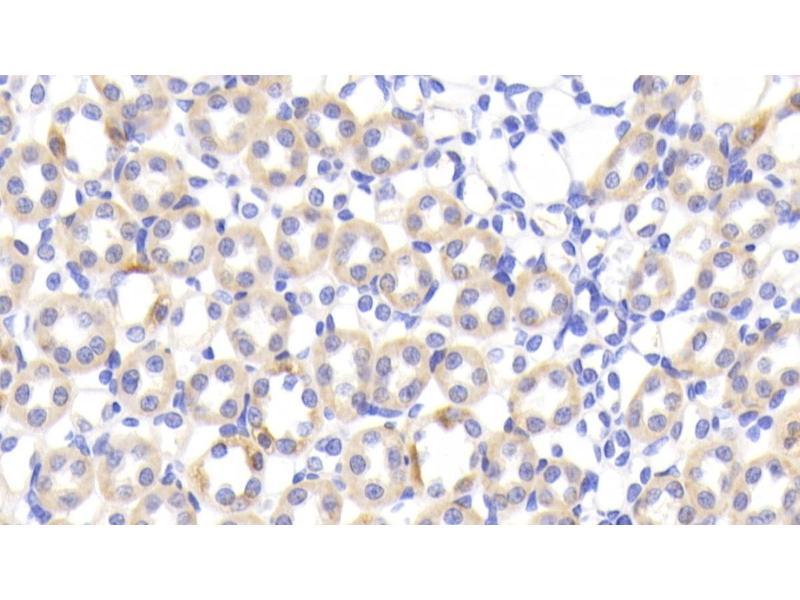
FABP1 antibody (AA 1-127)

The Rabbit Polyclonal anti-FABP1 antibody is suitable to detect FABP1 in samples from Rat. It has been validated for WB, IHC, ICC and IP.
Catalog No. ABIN7440617
$334.16
Plus shipping costs $50.00
Shipping to: United States
Delivery in 13 to 17 Business Days

Quick Overview for FABP1 antibody (AA 1-127) (ABIN7440617)

Target

See all FABP1 Antibodies
FABP1 (Fatty Acid Binding Protein 1, Liver (FABP1))

Reactivity

  • 99
  • 42
  • 29
  • 7
  • 7
  • 6
  • 3
  • 3
  • 2
  • 1
  • 1
  • 1
Rat

Host

  • 88
  • 34
  • 1
  • 1
Rabbit

Clonality

  • 78
  • 46
Polyclonal

Conjugate

  • 64
  • 19
  • 10
  • 3
  • 3
  • 3
  • 3
  • 3
  • 3
  • 2
  • 2
  • 2
  • 2
  • 2
  • 1
  • 1
  • 1
This FABP1 antibody is un-conjugated

Application

  • 85
  • 47
  • 24
  • 23
  • 20
  • 17
  • 17
  • 9
  • 7
  • 5
  • 5
  • 4
  • 3
  • 3
  • 2
  • 2
  • 1
  • 1
  • 1
  • 1
Western Blotting (WB), Immunohistochemistry (IHC), Immunocytochemistry (ICC), Immunoprecipitation (IP)
  • Binding Specificity

    • 34
    • 11
    • 6
    • 3
    • 1
    • 1
    • 1
    • 1
    AA 1-127

    Purpose

    Polyclonal Antibody to Fatty Acid Binding Protein 1 (FABP1)

    Specificity

    The antibody is a rabbit polyclonal antibody raised against FABP1. It has been selected for its ability to recognize FABP1 in immunohistochemical staining and western blotting.

    Cross-Reactivity

    Human, Mouse, Pig

    Purification

    Antigen-specific affinity chromatography followed by Protein A affinity chromatography

    Immunogen

    Recombinant Fatty Acid Binding Protein 1 (FABP1) corresdonding to Met1~Ile127 (Accession # P02692)

    Isotype

    IgG
  • Application Notes

    Western blotting: 0.5-2 μg/mL,Immunohistochemistry: 5-20 μg/mL,Immunocytochemistry: 5-20 μg/mL,Optimal working dilutions must be determined by end user.

    Comment

    The thermal stability is described by the loss rate. The loss rate was determined by accelerated thermal degradation test, that is, incubate the protein at 37°C for 48h, and no obvious degradation and precipitation were observed. The loss rate is less than 5% within the expiration date under appropriate storage condition.

    Restrictions

    For Research Use only
  • Format

    Liquid

    Concentration

    500 μg/mL

    Buffer

    0.01M PBS, pH 7.4, containing 0.05 % Proclin-300, 50 % glycerol.

    Preservative

    ProClin

    Precaution of Use

    This product contains ProClin: a POISONOUS AND HAZARDOUS SUBSTANCE which should be handled by trained staff only.

    Storage

    4 °C,-20 °C

    Storage Comment

    Store at 4°C for frequent use. Stored at -20°C in a manual defrost freezer for two year without detectable loss of activity. Avoid repeated freeze-thaw cycles.

    Expiry Date

    24 months
  • Target

    FABP1 (Fatty Acid Binding Protein 1, Liver (FABP1))

    Alternative Name

    FABP1

    Background

    FABP-1, FABPL, L-FABP, LFABP, Liver-type fatty acid-binding protein, Fatty Acid Binding Protein 1, Liver

    UniProt

    P02692

    Pathways

    Chromatin Binding, Regulation of Lipid Metabolism by PPARalpha
You are here:
Chat with us!