Phone:
+1 877 302 8632
Fax:
+1 888 205 9894 (Toll-free)
E-Mail:
orders@antibodies-online.com

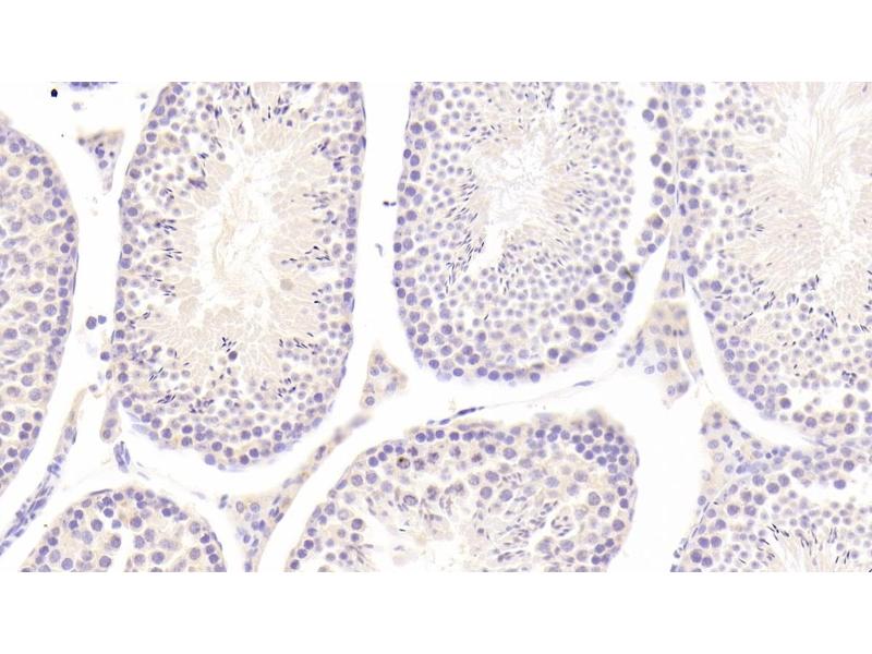
IL-25 antibody (AA 32-148)

The Rabbit Polyclonal anti-IL-25 antibody is suitable to detect IL-25 in samples from Mouse. It has been validated for WB, IHC, IP and ICC.
Catalog No. ABIN7433960
$320.14
Plus shipping costs $50.00
Shipping to: United States
Delivery in 13 to 17 Business Days

Quick Overview for IL-25 antibody (AA 32-148) (ABIN7433960)

Target

See all IL-25 (IL25) Antibodies
IL-25 (IL25) (Interleukin 25 (IL25))

Reactivity

  • 61
  • 25
  • 22
  • 1
Mouse

Host

  • 42
  • 24
  • 4
  • 2
Rabbit

Clonality

  • 44
  • 28
Polyclonal

Conjugate

  • 43
  • 5
  • 4
  • 3
  • 3
  • 3
  • 1
  • 1
  • 1
  • 1
  • 1
  • 1
  • 1
  • 1
  • 1
  • 1
  • 1
This IL-25 antibody is un-conjugated

Application

  • 53
  • 30
  • 21
  • 12
  • 7
  • 7
  • 4
  • 4
  • 3
  • 2
  • 2
  • 1
  • 1
  • 1
  • 1
Western Blotting (WB), Immunohistochemistry (IHC), Immunoprecipitation (IP), Immunocytochemistry (ICC)
  • Binding Specificity

    • 6
    • 6
    • 4
    • 3
    • 3
    • 2
    • 2
    • 2
    • 2
    • 2
    • 2
    • 2
    • 1
    • 1
    • 1
    AA 32-148

    Purpose

    Polyclonal Antibody to Interleukin 25 (IL25)

    Specificity

    The antibody is a rabbit polyclonal antibody raised against IL25. It has been selected for its ability to recognize IL25 in immunohistochemical staining and western blotting.

    Purification

    Antigen-specific affinity chromatography followed by Protein A affinity chromatography

    Immunogen

    Recombinant Interleukin 25 (IL25) corresdonding to Cys32~Cys148 with N-terminal His and GST Tag

    Isotype

    IgG
  • Application Notes

    Western blotting: 0.5-2 μg/mL,Immunohistochemistry: 5-20 μg/mL,Immunocytochemistry: 5-20 μg/mL,Optimal working dilutions must be determined by end user.

    Comment

    The thermal stability is described by the loss rate. The loss rate was determined by accelerated thermal degradation test, that is, incubate the protein at 37°C for 48h, and no obvious degradation and precipitation were observed. The loss rate is less than 5% within the expiration date under appropriate storage condition.

    Restrictions

    For Research Use only
  • Format

    Liquid

    Concentration

    500 μg/mL

    Buffer

    0.01M PBS, pH 7.4, containing 0.05 % Proclin-300, 50 % glycerol.

    Preservative

    ProClin

    Precaution of Use

    This product contains ProClin: a POISONOUS AND HAZARDOUS SUBSTANCE which should be handled by trained staff only.

    Storage

    4 °C,-20 °C

    Storage Comment

    Store at 4°C for frequent use. Stored at -20°C in a manual defrost freezer for two year without detectable loss of activity. Avoid repeated freeze-thaw cycles.

    Expiry Date

    24 months
  • Target

    IL-25 (IL25) (Interleukin 25 (IL25))

    Alternative Name

    IL25

    Background

    IL17E, IL17-E, Interleukin-17E

    UniProt

    Q8VHH8
You are here:
Chat with us!