Phone:
+1 877 302 8632
Fax:
+1 888 205 9894 (Toll-free)
E-Mail:
orders@antibodies-online.com

RNASE3 antibody (AA 34-150)

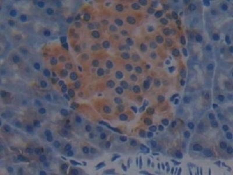
The Rabbit Polyclonal anti-RNASE3 antibody is suitable to detect RNASE3 in samples from Mouse. It has been validated for WB.
Catalog No. ABIN7441832
$320.14
Plus shipping costs $50.00
Shipping to: United States
Delivery in 13 to 17 Business Days

Quick Overview for RNASE3 antibody (AA 34-150) (ABIN7441832)

Target

See all RNASE3 (ECP) Antibodies
RNASE3 (ECP) (Eosinophil Cationic Protein (ECP))

Reactivity

  • 57
  • 18
  • 17
Mouse

Host

  • 64
  • 13
  • 1
Rabbit

Clonality

  • 62
  • 16
Polyclonal

Conjugate

  • 31
  • 10
  • 5
  • 5
  • 2
  • 2
  • 2
  • 2
  • 2
  • 2
  • 2
  • 2
  • 1
  • 1
  • 1
  • 1
  • 1
  • 1
  • 1
  • 1
  • 1
  • 1
  • 1
This RNASE3 antibody is un-conjugated

Application

  • 48
  • 23
  • 22
  • 21
  • 18
  • 12
  • 11
  • 10
  • 9
  • 4
  • 2
Western Blotting (WB)
  • Binding Specificity

    • 15
    • 12
    • 7
    • 7
    • 6
    • 3
    • 2
    • 2
    • 1
    • 1
    AA 34-150

    Purpose

    Polyclonal Antibody to Ribonuclease A3 (RNASE3)

    Specificity

    The antibody is a rabbit polyclonal antibody raised against RNASE3. It has been selected for its ability to recognize RNASE3 in immunohistochemical staining and western blotting.

    Purification

    Antigen-specific affinity chromatography followed by Protein A affinity chromatography

    Immunogen

    Recombinant Ribonuclease A3 (RNASE3) corresdonding to Phe34~Val150

    Isotype

    IgG
  • Application Notes

    Western blotting: 0.01-5 μg/mL,Optimal working dilutions must be determined by end user.

    Comment

    The thermal stability is described by the loss rate. The loss rate was determined by accelerated thermal degradation test, that is, incubate the protein at 37°C for 48h, and no obvious degradation and precipitation were observed. The loss rate is less than 5% within the expiration date under appropriate storage condition.

    Restrictions

    For Research Use only
  • Format

    Liquid

    Concentration

    0.5 mg/mL

    Buffer

    0.01M PBS, pH 7.4, containing 0.05 % Proclin-300, 50 % glycerol.

    Preservative

    ProClin

    Precaution of Use

    This product contains ProClin: a POISONOUS AND HAZARDOUS SUBSTANCE which should be handled by trained staff only.

    Storage

    4 °C,-20 °C

    Storage Comment

    Store at 4°C for frequent use. Stored at -20°C in a manual defrost freezer for two year without detectable loss of activity. Avoid repeated freeze-thaw cycles.

    Expiry Date

    24 months
  • Target

    RNASE3 (ECP) (Eosinophil Cationic Protein (ECP))

    Alternative Name

    RNASE3

    Background

    Rnase-A3, RnaseA3, ECP, RNS3, Ribonuclease,RNase A Family 3, Eosinophil Cationic Protein

    UniProt

    O35290
You are here:
Chat with us!