Phone:
+1 877 302 8632
Fax:
+1 888 205 9894 (Toll-free)
E-Mail:
orders@antibodies-online.com

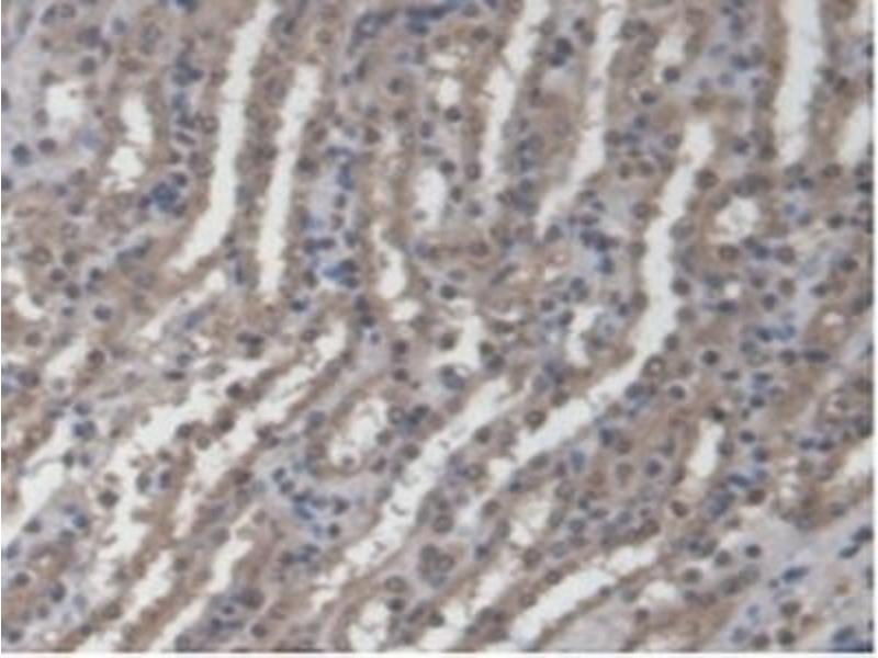
GBP4 antibody (AA 1-304)

This Rabbit Polyclonal antibody specifically detects GBP4 in WB and IHC. It exhibits reactivity toward Mouse.
Catalog No. ABIN7444514
$320.14
Plus shipping costs $50.00
Shipping to: United States
Delivery in 13 to 17 Business Days

Quick Overview for GBP4 antibody (AA 1-304) (ABIN7444514)

Target

See all GBP4 Antibodies
GBP4 (Guanylate Binding Protein 4 (GBP4))

Reactivity

  • 23
  • 5
  • 5
  • 2
  • 1
  • 1
  • 1
  • 1
Mouse

Host

  • 25
  • 2
Rabbit

Clonality

  • 27
Polyclonal

Conjugate

  • 18
  • 3
  • 2
  • 2
  • 1
  • 1
This GBP4 antibody is un-conjugated

Application

  • 22
  • 16
  • 8
  • 3
  • 3
  • 2
  • 1
  • 1
Western Blotting (WB), Immunohistochemistry (IHC)
  • Binding Specificity

    • 7
    • 5
    • 3
    • 2
    • 2
    • 1
    • 1
    • 1
    • 1
    • 1
    • 1
    • 1
    • 1
    • 1
    AA 1-304

    Purpose

    Polyclonal Antibody to Guanylate Binding Protein 4 (GBP4)

    Specificity

    The antibody is a rabbit polyclonal antibody raised against GBP4. It has been selected for its ability to recognize GBP4 in immunohistochemical staining and western blotting.

    Cross-Reactivity

    Rat

    Purification

    Antigen-specific affinity chromatography followed by Protein A affinity chromatography

    Immunogen

    Recombinant Guanylate Binding Protein 4 (GBP4) corresdonding to Met1~Cys304

    Isotype

    IgG
  • Application Notes

    Western blotting: 0.01-2 μg/mL,Immunohistochemistry: 5-20 μg/mL,Optimal working dilutions must be determined by end user.

    Comment

    The thermal stability is described by the loss rate. The loss rate was determined by accelerated thermal degradation test, that is, incubate the protein at 37°C for 48h, and no obvious degradation and precipitation were observed. The loss rate is less than 5% within the expiration date under appropriate storage condition.

    Restrictions

    For Research Use only
  • Format

    Liquid

    Concentration

    0.5 mg/mL

    Buffer

    0.01M PBS, pH 7.4, containing 0.05 % Proclin-300, 50 % glycerol.

    Preservative

    ProClin

    Precaution of Use

    This product contains ProClin: a POISONOUS AND HAZARDOUS SUBSTANCE which should be handled by trained staff only.

    Storage

    4 °C,-20 °C

    Storage Comment

    Store at 4°C for frequent use. Stored at -20°C in a manual defrost freezer for two year without detectable loss of activity. Avoid repeated freeze-thaw cycles.

    Expiry Date

    24 months
  • Target

    GBP4 (Guanylate Binding Protein 4 (GBP4))

    Alternative Name

    GBP4

    Background

    GTP-binding protein 4, Guanine nucleotide-binding protein 4

    UniProt

    Q61107
You are here:
Chat with us!