Phone:
+1 877 302 8632
Fax:
+1 888 205 9894 (Toll-free)
E-Mail:
orders@antibodies-online.com

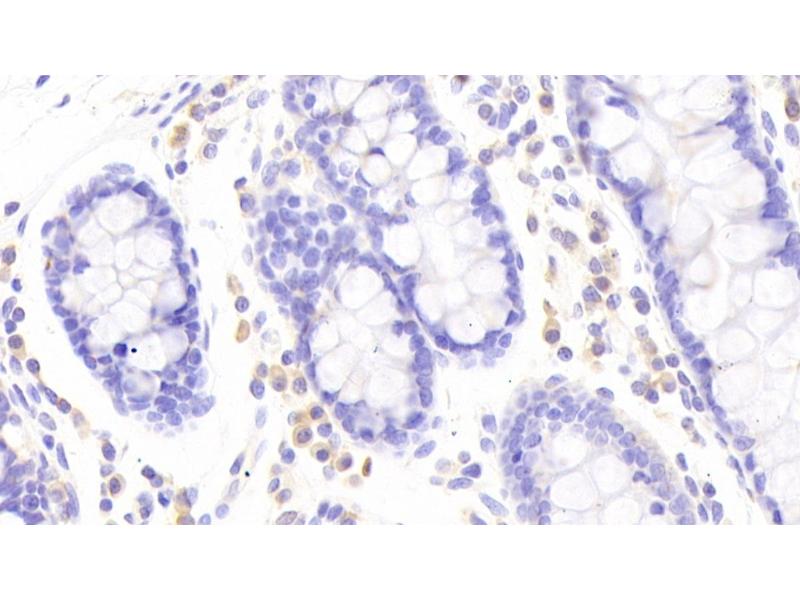
NKp44/NCR2 antibody (AA 22-120)

This Rabbit Polyclonal antibody specifically detects NKp44/NCR2 in WB and IHC. It exhibits reactivity toward Human.
Catalog No. ABIN7444466
$313.13
Plus shipping costs $50.00
Shipping to: United States
Delivery in 13 to 17 Business Days

Quick Overview for NKp44/NCR2 antibody (AA 22-120) (ABIN7444466)

Target

See all NKp44/NCR2 (NCR2) Antibodies
NKp44/NCR2 (NCR2) (Natural Cytotoxicity Triggering Receptor 2 (NCR2))

Reactivity

  • 40
  • 4
  • 3
Human

Host

  • 33
  • 8
Rabbit

Clonality

  • 30
  • 11
Polyclonal

Conjugate

  • 20
  • 1
  • 1
  • 1
  • 1
  • 1
  • 1
  • 1
  • 1
  • 1
  • 1
  • 1
  • 1
  • 1
  • 1
  • 1
  • 1
  • 1
  • 1
  • 1
  • 1
  • 1
This NKp44/NCR2 antibody is un-conjugated

Application

  • 13
  • 13
  • 13
  • 11
  • 7
  • 5
  • 4
  • 3
  • 3
  • 2
  • 2
Western Blotting (WB), Immunohistochemistry (IHC)
  • Binding Specificity

    • 15
    • 4
    • 2
    • 2
    • 1
    • 1
    AA 22-120

    Purpose

    Polyclonal Antibody to Natural Cytotoxicity Triggering Receptor 2 (NCR2)

    Specificity

    The antibody is a rabbit polyclonal antibody raised against NCR2. It has been selected for its ability to recognize NCR2 in immunohistochemical staining and western blotting.

    Cross-Reactivity

    Rat

    Purification

    Antigen-specific affinity chromatography followed by Protein A affinity chromatography

    Immunogen

    Recombinant Natural Cytotoxicity Triggering Receptor 2 (NCR2) corresdonding to Gln22~Ser120

    Isotype

    IgG
  • Application Notes

    Western blotting: 0.5-2 μg/mL,Immunohistochemistry: 5-20 μg/mL,Immunocytochemistry: 5-20 μg/mL,Optimal working dilutions must be determined by end user.

    Comment

    The thermal stability is described by the loss rate. The loss rate was determined by accelerated thermal degradation test, that is, incubate the protein at 37°C for 48h, and no obvious degradation and precipitation were observed. The loss rate is less than 5% within the expiration date under appropriate storage condition.

    Restrictions

    For Research Use only
  • Format

    Liquid

    Concentration

    0.5 mg/mL

    Buffer

    0.01M PBS, pH 7.4, containing 0.05 % Proclin-300, 50 % glycerol.

    Preservative

    ProClin

    Precaution of Use

    This product contains ProClin: a POISONOUS AND HAZARDOUS SUBSTANCE which should be handled by trained staff only.

    Storage

    4 °C,-20 °C

    Storage Comment

    Store at 4°C for frequent use. Stored at -20°C in a manual defrost freezer for two year without detectable loss of activity. Avoid repeated freeze-thaw cycles.

    Expiry Date

    24 months
  • Target

    NKp44/NCR2 (NCR2) (Natural Cytotoxicity Triggering Receptor 2 (NCR2))

    Alternative Name

    NCR2

    Background

    CD336, NCR2, LY95, NK-P44, NKP44, Lymphocyte Antigen 95, Activating NK-Receptor, NK cell-activating receptor, Natural killer cell p44-related protein

    UniProt

    O95944
You are here:
Chat with us!