Phone:
+1 877 302 8632
Fax:
+1 888 205 9894 (Toll-free)
E-Mail:
orders@antibodies-online.com

Adipsin antibody (AA 1-263)

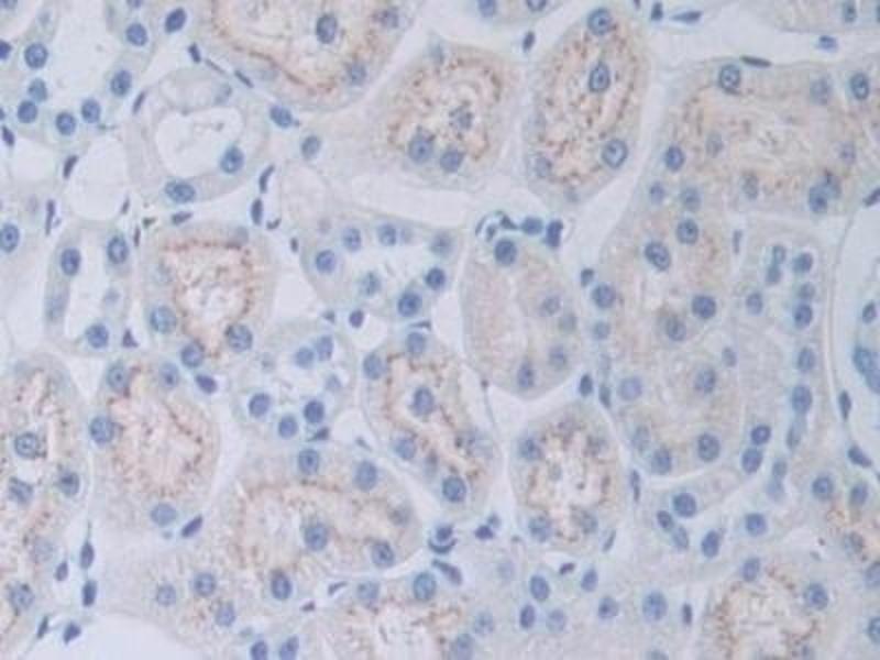
The Rabbit Polyclonal anti-Adipsin antibody is suitable to detect Adipsin in samples from Rat. It has been validated for WB, IHC, IP and ICC.
Catalog No. ABIN7437869
$334.16
Plus shipping costs $50.00
Shipping to: United States
Delivery in 13 to 17 Business Days

Quick Overview for Adipsin antibody (AA 1-263) (ABIN7437869)

Target

See all Adipsin (CFD) Antibodies
Adipsin (CFD) (Complement Factor D (CFD))

Reactivity

  • 66
  • 33
  • 7
  • 3
  • 2
  • 1
  • 1
  • 1
Rat

Host

  • 67
  • 10
  • 5
  • 2
  • 1
Rabbit

Clonality

  • 73
  • 12
Polyclonal

Conjugate

  • 45
  • 8
  • 7
  • 4
  • 4
  • 3
  • 2
  • 1
  • 1
  • 1
  • 1
  • 1
  • 1
  • 1
  • 1
  • 1
  • 1
  • 1
  • 1
This Adipsin antibody is un-conjugated

Application

  • 66
  • 31
  • 27
  • 16
  • 13
  • 13
  • 13
  • 11
  • 9
  • 7
  • 6
  • 6
  • 3
  • 2
  • 1
  • 1
  • 1
  • 1
  • 1
Western Blotting (WB), Immunohistochemistry (IHC), Immunoprecipitation (IP), Immunocytochemistry (ICC)
  • Binding Specificity

    • 15
    • 11
    • 8
    • 7
    • 6
    • 3
    • 3
    • 3
    • 2
    • 2
    • 1
    • 1
    • 1
    • 1
    • 1
    • 1
    • 1
    AA 1-263

    Purpose

    Polyclonal Antibody to Complement Factor D (CFD)

    Specificity

    The antibody is a rabbit polyclonal antibody raised against CFD. It has been selected for its ability to recognize CFD in immunohistochemical staining and western blotting.

    Purification

    Antigen-specific affinity chromatography followed by Protein A affinity chromatography

    Immunogen

    Recombinant Complement Factor D (CFD) corresdonding to Met1~Ala263 with N-terminal His Tag

    Isotype

    IgG
  • Application Notes

    Western blotting: 0.5-2 μg/mL,Immunohistochemistry: 5-20 μg/mL,Immunocytochemistry: 5-20 μg/mL,Optimal working dilutions must be determined by end user.

    Comment

    The thermal stability is described by the loss rate. The loss rate was determined by accelerated thermal degradation test, that is, incubate the protein at 37°C for 48h, and no obvious degradation and precipitation were observed. The loss rate is less than 5% within the expiration date under appropriate storage condition.

    Restrictions

    For Research Use only
  • Format

    Liquid

    Concentration

    500 μg/mL

    Buffer

    PBS, pH 7.4, containing 0.02 % Sodium azide, 50 % glycerol.

    Preservative

    Sodium azide

    Precaution of Use

    This product contains Sodium azide: a POISONOUS AND HAZARDOUS SUBSTANCE which should be handled by trained staff only.

    Storage

    4 °C,-20 °C

    Storage Comment

    Store at 4°C for frequent use. Stored at -20°C in a manual defrost freezer for two year without detectable loss of activity. Avoid repeated freeze-thaw cycles.

    Expiry Date

    24 months
  • Target

    Adipsin (CFD) (Complement Factor D (CFD))

    Alternative Name

    Complement Factor D

    Background

    CF-D, DF, PFD, ADN, Adipsin, Properdin Factor D, C3 convertase activator

    UniProt

    P32038

    Pathways

    Complement System
You are here:
Chat with us!