Phone:
+1 877 302 8632
Fax:
+1 888 205 9894 (Toll-free)
E-Mail:
orders@antibodies-online.com

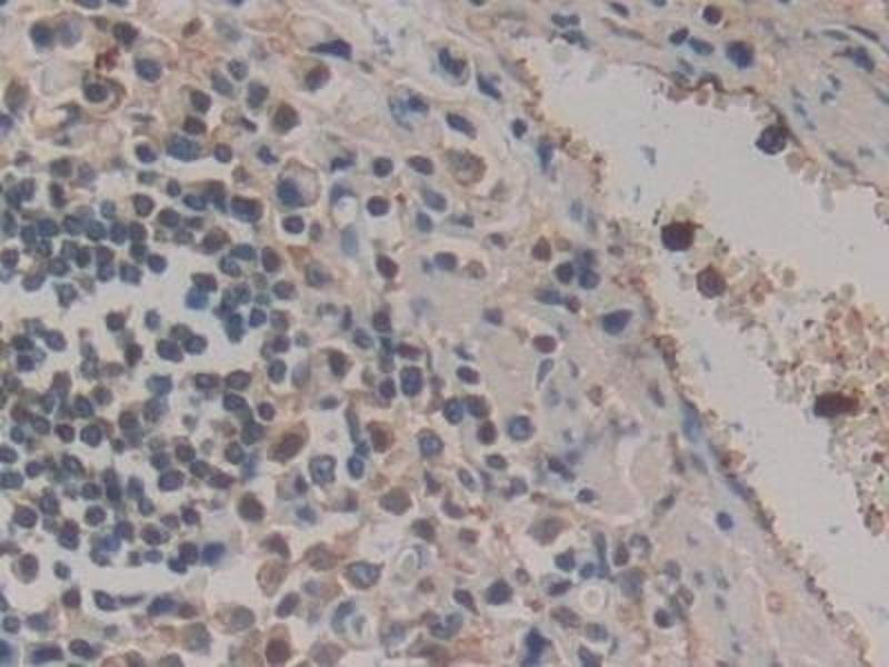
HPR antibody (AA 70-332)

The Rabbit Polyclonal anti-HPR antibody (ABIN7443218) specifically detects HPR in WB and IHC. The antibody is reactive with Human samples.
Catalog No. ABIN7443218
$313.13
Plus shipping costs $50.00
Shipping to: United States
Delivery in 13 to 17 Business Days

Quick Overview for HPR antibody (AA 70-332) (ABIN7443218)

Target

See all HPR Antibodies
HPR (Haptoglobin Related Protein (HPR))

Reactivity

  • 57
  • 15
  • 15
  • 5
Human

Host

  • 54
  • 8
Rabbit

Clonality

  • 55
  • 7
Polyclonal

Conjugate

  • 21
  • 10
  • 7
  • 2
  • 2
  • 2
  • 1
  • 1
  • 1
  • 1
  • 1
  • 1
  • 1
  • 1
  • 1
  • 1
  • 1
  • 1
  • 1
  • 1
  • 1
  • 1
  • 1
  • 1
This HPR antibody is un-conjugated

Application

  • 48
  • 23
  • 13
  • 11
  • 10
  • 5
  • 5
  • 4
  • 4
  • 3
  • 2
  • 2
Western Blotting (WB), Immunohistochemistry (IHC)
  • Binding Specificity

    • 7
    • 6
    • 4
    • 4
    • 4
    • 2
    • 1
    • 1
    • 1
    • 1
    • 1
    • 1
    • 1
    • 1
    • 1
    AA 70-332

    Purpose

    Polyclonal Antibody to Haptoglobin Related Protein (HPR)

    Specificity

    The antibody is a rabbit polyclonal antibody raised against HPR. It has been selected for its ability to recognize HPR in immunohistochemical staining and western blotting.

    Purification

    Antigen-specific affinity chromatography followed by Protein A affinity chromatography

    Immunogen

    Recombinant Haptoglobin Related Protein (HPR) corresdonding to Asn70~Val332 with N-terminal His Tag

    Isotype

    IgG
  • Application Notes

    Western blotting: 0.5-5 μg/mL,Immunohistochemistry: 5-20 μg/mL,Optimal working dilutions must be determined by end user.

    Comment

    The thermal stability is described by the loss rate. The loss rate was determined by accelerated thermal degradation test, that is, incubate the protein at 37°C for 48h, and no obvious degradation and precipitation were observed. The loss rate is less than 5% within the expiration date under appropriate storage condition.

    Restrictions

    For Research Use only
  • Format

    Liquid

    Concentration

    0.5 mg/mL

    Buffer

    0.01M PBS, pH 7.4, containing 0.05 % Proclin-300, 50 % glycerol.

    Preservative

    ProClin

    Precaution of Use

    This product contains ProClin: a POISONOUS AND HAZARDOUS SUBSTANCE which should be handled by trained staff only.

    Storage

    4 °C,-20 °C

    Storage Comment

    Store at 4°C for frequent use. Stored at -20°C in a manual defrost freezer for two year without detectable loss of activity. Avoid repeated freeze-thaw cycles.

    Expiry Date

    24 months
  • Target

    HPR (Haptoglobin Related Protein (HPR))

    Alternative Name

    Haptoglobin Related Protein

    Background

    HP

    UniProt

    P00739

    Pathways

    Response to Water Deprivation
You are here:
Chat with us!