Phone:
+1 877 302 8632
Fax:
+1 888 205 9894 (Toll-free)
E-Mail:
orders@antibodies-online.com

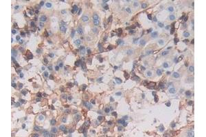
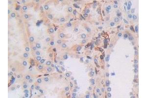
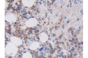
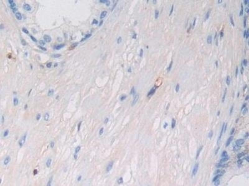
MHCC (AA 48-305) antibody

This Rabbit Polyclonal antibody specifically detects MHCC in ICC, IHC, WB and IF. It exhibits reactivity toward Human.
Catalog No. ABIN7434662
$326.15
Plus shipping costs $50.00
Shipping to: United States
Delivery in 13 to 17 Business Days

Quick Overview for MHCC (AA 48-305) antibody (ABIN7434662)

Target

MHCC

Reactivity

Human

Host

  • 1
Rabbit

Clonality

  • 1
Polyclonal

Conjugate

  • 1
Un-conjugated

Application

Immunocytochemistry (ICC), Immunohistochemistry (IHC), Western Blotting (WB), Immunofluorescence (IF)
  • Binding Specificity

    AA 48-305

    Purpose

    Polyclonal Antibody to Major Histocompatibility Complex Class I C (MHCC)

    Specificity

    The antibody is a rabbit polyclonal antibody raised against MHCC. It has been selected for its ability to recognize MHCC in immunohistochemical staining and western blotting.

    Cross-Reactivity

    Pig

    Purification

    Antigen-specific affinity chromatography followed by Protein A affinity chromatography

    Immunogen

    Recombinant Major Histocompatibility Complex Class I C (MHCC) corresdonding to Ser48~Thr305 (Accession # P10321)

    Isotype

    IgG
  • Application Notes

    Western blotting: 0.01-2 μg/mL,Immunohistochemistry: 5-20 μg/mL,Immunofluorescence:5-20 μg/mL,Optimal working dilutions must be determined by end user.

    Comment

    The thermal stability is described by the loss rate. The loss rate was determined by accelerated thermal degradation test, that is, incubate the protein at 37°C for 48h, and no obvious degradation and precipitation were observed. The loss rate is less than 5% within the expiration date under appropriate storage condition.

    Restrictions

    For Research Use only
  • Format

    Liquid

    Concentration

    0.5 mg/mL

    Buffer

    0.01M PBS, pH 7.4, containing 0.05 % Proclin-300, 50 % glycerol.

    Preservative

    ProClin

    Precaution of Use

    This product contains ProClin: a POISONOUS AND HAZARDOUS SUBSTANCE which should be handled by trained staff only.

    Storage

    4 °C,-20 °C

    Storage Comment

    Store at 4°C for frequent use. Stored at -20°C in a manual defrost freezer for two year without detectable loss of activity. Avoid repeated freeze-thaw cycles.

    Expiry Date

    24 months
  • Target

    MHCC

    Background

    MHC-C, HLAC, HLA-JY3, HLC-C, HLA-C, PSORS1 Leukocyte Antigen C, HLA class I histocompatibility antigen, Cw-7 alpha chain

    UniProt

    P10321
You are here:
Chat with us!