Phone:
+1 877 302 8632
Fax:
+1 888 205 9894 (Toll-free)
E-Mail:
orders@antibodies-online.com

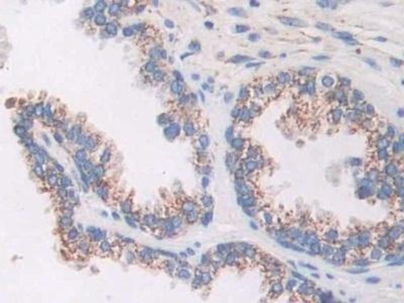
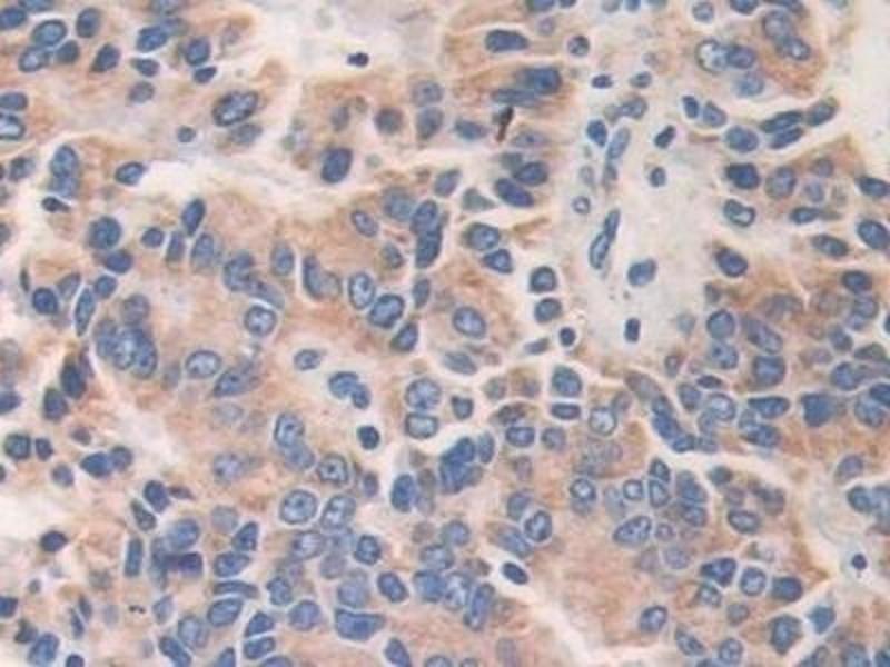
AKAP11 antibody (AA 1650-1901)

The Rabbit Polyclonal anti-AKAP11 antibody is suitable to detect AKAP11 in samples from Human. It has been validated for IHC, IF, WB and ICC.
Catalog No. ABIN7443557
$326.15
Plus shipping costs $50.00
Shipping to: United States
Delivery in 13 to 17 Business Days

Quick Overview for AKAP11 antibody (AA 1650-1901) (ABIN7443557)

Target

See all AKAP11 Antibodies
AKAP11 (A Kinase (PRKA) Anchor Protein 11 (AKAP11))

Reactivity

Human

Host

  • 6
  • 1
Rabbit

Clonality

  • 7
Polyclonal

Conjugate

  • 7
This AKAP11 antibody is un-conjugated

Application

  • 6
  • 3
  • 3
  • 3
  • 1
Immunohistochemistry (IHC), Immunofluorescence (IF), Western Blotting (WB), Immunocytochemistry (ICC)
  • Binding Specificity

    • 2
    • 1
    • 1
    • 1
    • 1
    AA 1650-1901

    Purpose

    Polyclonal Antibody to A Kinase Anchor Protein 11 (AKAP11)

    Specificity

    The antibody is a rabbit polyclonal antibody raised against AKAP11. It has been selected for its ability to recognize AKAP11 in immunohistochemical staining and western blotting.

    Purification

    Antigen-specific affinity chromatography followed by Protein A affinity chromatography

    Immunogen

    Recombinant A Kinase Anchor Protein 11 (AKAP11) corresdonding to Leu1650~Ala1901 with N-terminal His Tag

    Isotype

    IgG
  • Application Notes

    Western blotting: 0.01-2 μg/mL,Immunohistochemistry: 5-20 μg/mL,Immunocytochemistry: 5-20 μg/mL,Optimal working dilutions must be determined by end user.

    Comment

    The thermal stability is described by the loss rate. The loss rate was determined by accelerated thermal degradation test, that is, incubate the protein at 37°C for 48h, and no obvious degradation and precipitation were observed. The loss rate is less than 5% within the expiration date under appropriate storage condition.

    Restrictions

    For Research Use only
  • Format

    Liquid

    Concentration

    0.5 mg/mL

    Buffer

    0.01M PBS, pH 7.4, containing 0.05 % Proclin-300, 50 % glycerol.

    Preservative

    ProClin

    Precaution of Use

    This product contains ProClin: a POISONOUS AND HAZARDOUS SUBSTANCE which should be handled by trained staff only.

    Storage

    4 °C,-20 °C

    Storage Comment

    Store at 4°C for frequent use. Stored at -20°C in a manual defrost freezer for two year without detectable loss of activity. Avoid repeated freeze-thaw cycles.

    Expiry Date

    24 months
  • Target

    AKAP11 (A Kinase (PRKA) Anchor Protein 11 (AKAP11))

    Alternative Name

    AKAP11

    Background

    AKAP220, PRKA11, Protein Kinase A Anchoring Protein 11, A Kinase(PRKA)Anchor Protein 11, A-kinase anchor protein 220 kDa, Protein kinase A-anchoring protein 11

    UniProt

    Q9UKA4
You are here:
Chat with us!