Phone:
+1 877 302 8632
Fax:
+1 888 205 9894 (Toll-free)
E-Mail:
orders@antibodies-online.com

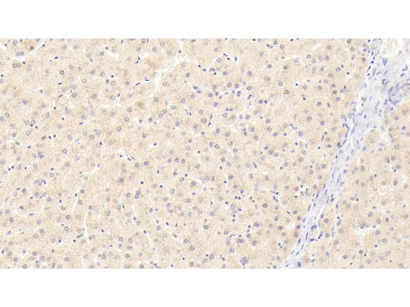
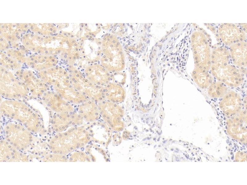
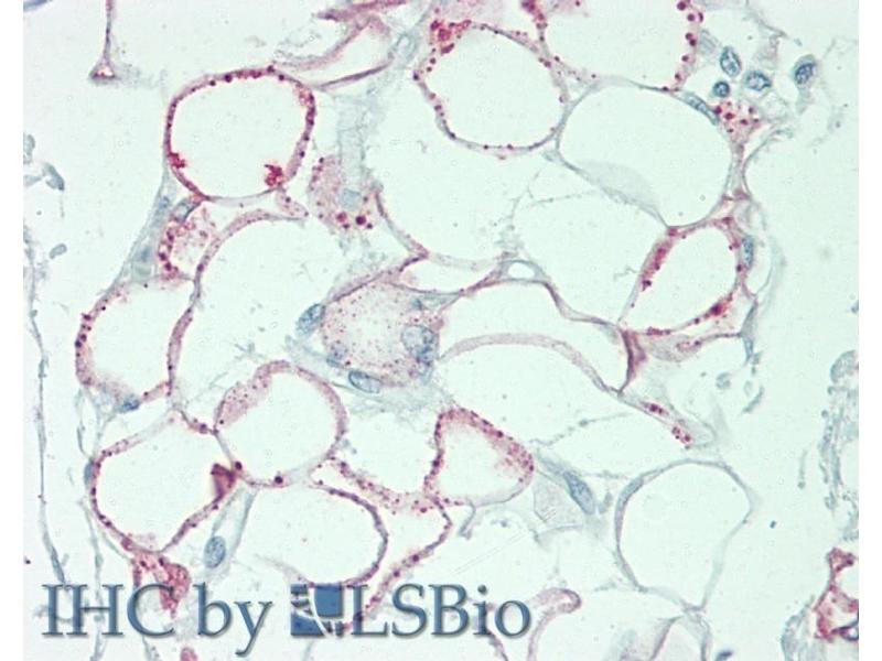
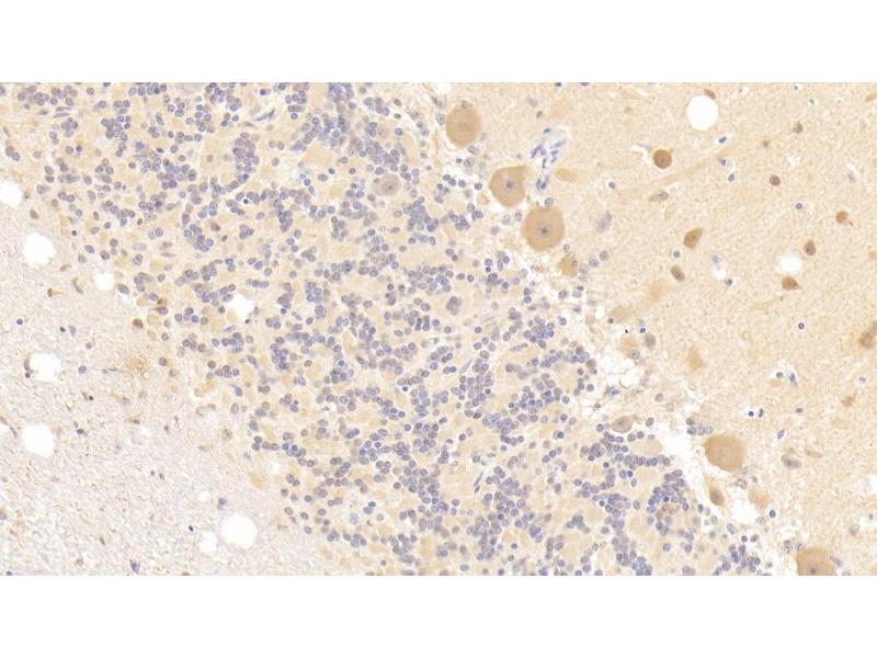
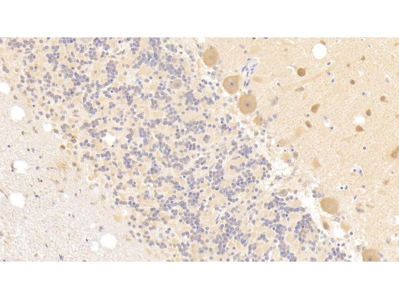
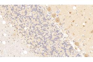
DNASE2 antibody (AA 19-360)

The Rabbit Polyclonal anti-DNASE2 antibody (ABIN7443413) specifically detects DNASE2 in WB, IHC, ICC and IP. The antibody is reactive with Human samples.
Catalog No. ABIN7443413
$326.15
Plus shipping costs $50.00
Shipping to: United States
Delivery in 13 to 17 Business Days

Quick Overview for DNASE2 antibody (AA 19-360) (ABIN7443413)

Target

See all DNASE2 Antibodies
DNASE2 (Deoxyribonuclease II, Lysosomal (DNASE2))

Reactivity

  • 40
  • 22
  • 3
Human

Host

  • 38
  • 3
Rabbit

Clonality

  • 41
Polyclonal

Conjugate

  • 15
  • 3
  • 3
  • 3
  • 1
  • 1
  • 1
  • 1
  • 1
  • 1
  • 1
  • 1
  • 1
  • 1
  • 1
  • 1
  • 1
  • 1
  • 1
  • 1
  • 1
This DNASE2 antibody is un-conjugated

Application

  • 16
  • 15
  • 13
  • 13
  • 5
  • 4
  • 3
  • 1
  • 1
Western Blotting (WB), Immunohistochemistry (IHC), Immunocytochemistry (ICC), Immunoprecipitation (IP)
  • Binding Specificity

    • 15
    • 5
    • 4
    • 3
    • 2
    • 2
    • 1
    • 1
    • 1
    AA 19-360

    Purpose

    Polyclonal Antibody to Deoxyribonuclease II (DNASEII)

    Specificity

    The antibody is a rabbit polyclonal antibody raised against DNASEII. It has been selected for its ability to recognize DNASEII in immunohistochemical staining and western blotting.

    Cross-Reactivity

    Pig

    Purification

    Antigen-specific affinity chromatography followed by Protein A affinity chromatography

    Immunogen

    Recombinant Deoxyribonuclease II (DNASEII) corresdonding to Cys19~Ile360 with N-terminal His Tag

    Isotype

    IgG
  • Application Notes

    Western blotting: 0.5-2 μg/mL,Immunohistochemistry: 5-20 μg/mL,Immunocytochemistry: 5-20 μg/mL,Optimal working dilutions must be determined by end user.

    Comment

    The thermal stability is described by the loss rate. The loss rate was determined by accelerated thermal degradation test, that is, incubate the protein at 37°C for 48h, and no obvious degradation and precipitation were observed. The loss rate is less than 5% within the expiration date under appropriate storage condition.

    Restrictions

    For Research Use only
  • Format

    Liquid

    Concentration

    500 μg/mL

    Buffer

    PBS, pH 7.4, containing 0.02 % Sodium azide, 50 % glycerol.

    Preservative

    Sodium azide

    Precaution of Use

    This product contains Sodium azide: a POISONOUS AND HAZARDOUS SUBSTANCE which should be handled by trained staff only.

    Storage

    4 °C,-20 °C

    Storage Comment

    Store at 4°C for frequent use. Stored at -20°C in a manual defrost freezer for two year without detectable loss of activity. Avoid repeated freeze-thaw cycles.

    Expiry Date

    24 months
  • Target

    DNASE2 (Deoxyribonuclease II, Lysosomal (DNASE2))

    Alternative Name

    DNASEII

    Background

    DNase-II, DNase2, DNASE2A, DNASE2B, DRN2, DNL, DNL2, Deoxyribonuclease II Alpha, Acid DNase, Lysosomal DNase II

    UniProt

    O00115
You are here:
Chat with us!