Phone:
+1 877 302 8632
Fax:
+1 888 205 9894 (Toll-free)
E-Mail:
orders@antibodies-online.com

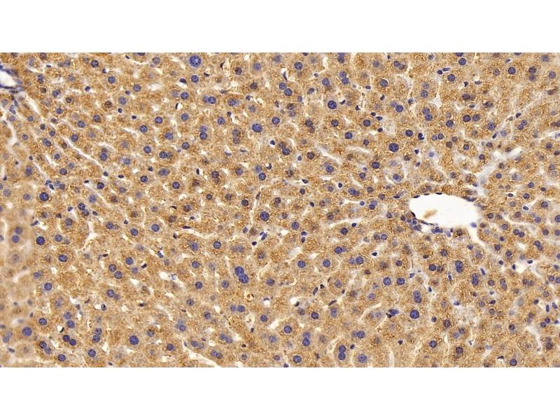
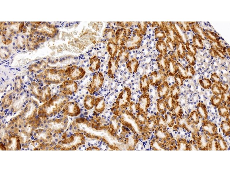
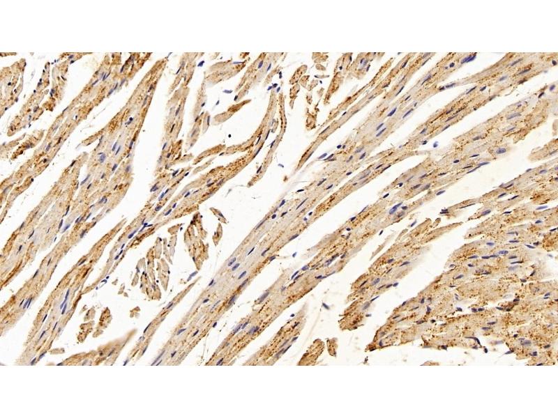
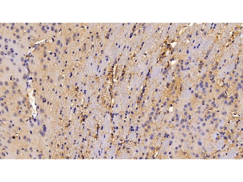
Catalase antibody (AA 401-523)

The Rabbit Polyclonal anti-Catalase antibody is suitable to detect Catalase in samples from Human. It has been validated for WB, IHC, ICC, IF and FACS.
Catalog No. ABIN7434887
$277.07
Plus shipping costs $50.00
Shipping to: United States
Delivery in 13 to 17 Business Days

Quick Overview for Catalase antibody (AA 401-523) (ABIN7434887)

Target

See all Catalase (CAT) Antibodies
Catalase (CAT)

Reactivity

  • 171
  • 99
  • 64
  • 19
  • 18
  • 17
  • 9
  • 9
  • 4
  • 4
  • 4
  • 3
  • 2
  • 2
  • 2
  • 1
  • 1
  • 1
  • 1
  • 1
  • 1
  • 1
  • 1
  • 1
  • 1
  • 1
  • 1
  • 1
  • 1
Human

Host

  • 190
  • 18
  • 3
  • 1
Rabbit

Clonality

  • 112
  • 100
Polyclonal

Conjugate

  • 89
  • 26
  • 10
  • 9
  • 9
  • 9
  • 9
  • 9
  • 9
  • 7
  • 7
  • 3
  • 2
  • 2
  • 1
  • 1
  • 1
  • 1
  • 1
  • 1
  • 1
  • 1
  • 1
  • 1
  • 1
  • 1
This Catalase antibody is un-conjugated

Application

  • 158
  • 72
  • 70
  • 69
  • 49
  • 44
  • 27
  • 20
  • 18
  • 14
  • 14
  • 6
  • 6
  • 4
  • 3
  • 2
  • 2
  • 1
  • 1
Western Blotting (WB), Immunohistochemistry (IHC), Immunocytochemistry (ICC), Immunofluorescence (IF), Flow Cytometry (FACS)
  • Binding Specificity

    • 29
    • 6
    • 5
    • 5
    • 5
    • 4
    • 3
    • 3
    • 3
    • 3
    • 3
    • 2
    • 2
    • 2
    • 2
    • 2
    • 2
    • 1
    • 1
    • 1
    • 1
    • 1
    • 1
    • 1
    • 1
    • 1
    • 1
    • 1
    • 1
    AA 401-523

    Purpose

    Polyclonal Antibody to Catalase (CAT)

    Specificity

    The antibody is a rabbit polyclonal antibody raised against CAT. It has been selected for its ability to recognize CAT in immunohistochemical staining and western blotting.

    Cross-Reactivity

    Mouse, Rat

    Purification

    Antigen-specific affinity chromatography followed by Protein A affinity chromatography

    Immunogen

    Recombinant Catalase (CAT) corresdonding to Ala401~Glu523 with N-terminal His Tag

    Isotype

    IgG
  • Application Notes

    Western blotting:0.01-2 μg/mL,Immunohistochemistry: 5-20 μg/mL,Immunofluorescence:5-20 μg/mL,Flow cytometry:20 μg/mL,Optimal working dilutions must be determined by end user.,

    Comment

    The thermal stability is described by the loss rate. The loss rate was determined by accelerated thermal degradation test, that is, incubate the protein at 37°C for 48h, and no obvious degradation and precipitation were observed. The loss rate is less than 5% within the expiration date under appropriate storage condition.

    Restrictions

    For Research Use only
  • Format

    Liquid

    Concentration

    0.5 mg/mL

    Buffer

    0.01M PBS, pH 7.4, containing 0.05 % Proclin-300, 50 % glycerol.

    Preservative

    ProClin

    Precaution of Use

    This product contains ProClin: a POISONOUS AND HAZARDOUS SUBSTANCE which should be handled by trained staff only.

    Storage

    4 °C,-20 °C

    Storage Comment

    Store at 4°C for frequent use. Stored at -20°C in a manual defrost freezer for two year without detectable loss of activity. Avoid repeated freeze-thaw cycles.

    Expiry Date

    24 months
  • Target

    Catalase (CAT)

    Alternative Name

    Catalase

    UniProt

    P04040

    Pathways

    Cellular Glucan Metabolic Process, Cell RedoxHomeostasis, Photoperiodism
You are here:
Chat with us!