Phone:
+1 877 302 8632
Fax:
+1 888 205 9894 (Toll-free)
E-Mail:
orders@antibodies-online.com

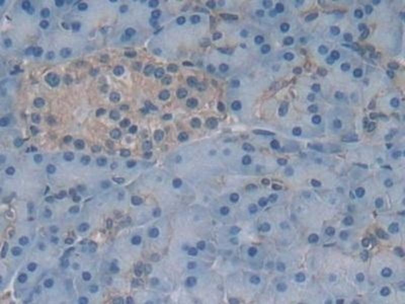
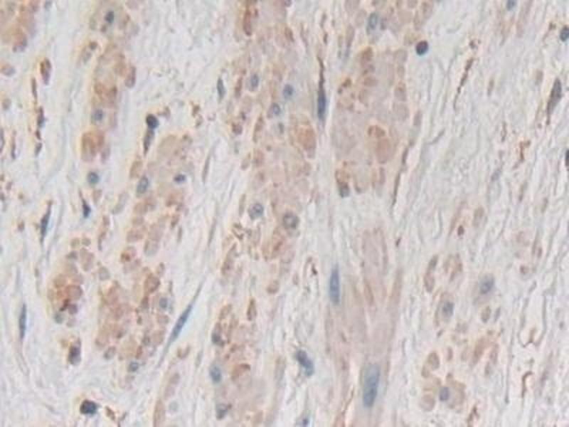
Gastrokine 1 antibody (AA 22-199)

The Rabbit Polyclonal anti-Gastrokine 1 antibody (ABIN7434962) specifically detects Gastrokine 1 in WB and IHC. The antibody is reactive with Human samples.
Catalog No. ABIN7434962
$326.15
Plus shipping costs $50.00
Shipping to: United States
Delivery in 13 to 17 Business Days

Quick Overview for Gastrokine 1 antibody (AA 22-199) (ABIN7434962)

Target

See all Gastrokine 1 (GKN1) Antibodies
Gastrokine 1 (GKN1)

Reactivity

  • 53
  • 23
  • 4
  • 4
  • 2
  • 1
Human

Host

  • 49
  • 10
  • 2
Rabbit

Clonality

  • 52
  • 7
Polyclonal

Conjugate

  • 32
  • 4
  • 3
  • 3
  • 1
  • 1
  • 1
  • 1
  • 1
  • 1
  • 1
  • 1
  • 1
  • 1
  • 1
  • 1
  • 1
  • 1
  • 1
  • 1
  • 1
  • 1
  • 1
This Gastrokine 1 antibody is un-conjugated

Application

  • 30
  • 25
  • 18
  • 13
  • 13
  • 7
  • 6
  • 3
  • 3
  • 2
  • 1
Western Blotting (WB), Immunohistochemistry (IHC)
  • Binding Specificity

    • 15
    • 9
    • 5
    • 2
    • 2
    • 2
    • 2
    • 2
    • 2
    • 1
    • 1
    • 1
    • 1
    • 1
    • 1
    • 1
    AA 22-199

    Purpose

    Polyclonal Antibody to Gastrokine 1 (GKN1)

    Specificity

    The antibody is a rabbit polyclonal antibody raised against GKN1. It has been selected for its ability to recognize GKN1 in immunohistochemical staining and western blotting.

    Cross-Reactivity

    Pig, Rat

    Purification

    Antigen-specific affinity chromatography followed by Protein A affinity chromatography

    Immunogen

    Recombinant Gastrokine 1 (GKN1) corresdonding to Ala22~Asn199 with N-terminal His and GST Tag

    Isotype

    IgG
  • Application Notes

    Western blotting: 0.5-3 μg/mL,Immunohistochemistry: 5-30 μg/mL,Immunocytochemistry: 5-30 μg/mL,Optimal working dilutions must be determined by end user.

    Comment

    The thermal stability is described by the loss rate. The loss rate was determined by accelerated thermal degradation test, that is, incubate the protein at 37°C for 48h, and no obvious degradation and precipitation were observed. The loss rate is less than 5% within the expiration date under appropriate storage condition.

    Restrictions

    For Research Use only
  • Format

    Liquid

    Concentration

    500 μg/mL

    Buffer

    0.01M PBS, pH 7.4, containing 0.05 % Proclin-300, 50 % glycerol.

    Preservative

    ProClin

    Precaution of Use

    This product contains ProClin: a POISONOUS AND HAZARDOUS SUBSTANCE which should be handled by trained staff only.

    Storage

    4 °C,-20 °C

    Storage Comment

    Store at 4°C for frequent use. Stored at -20°C in a manual defrost freezer for two year without detectable loss of activity. Avoid repeated freeze-thaw cycles.

    Expiry Date

    24 months
  • Target

    Gastrokine 1 (GKN1)

    Alternative Name

    GKN1

    Background

    CA11, AMP18, BRICD1, FOV, Foveolin, 18 kDa antrum mucosa protein

    UniProt

    Q9NS71
You are here:
Chat with us!