Phone:
+1 877 302 8632
Fax:
+1 888 205 9894 (Toll-free)
E-Mail:
orders@antibodies-online.com

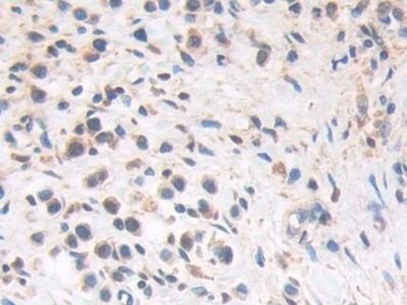
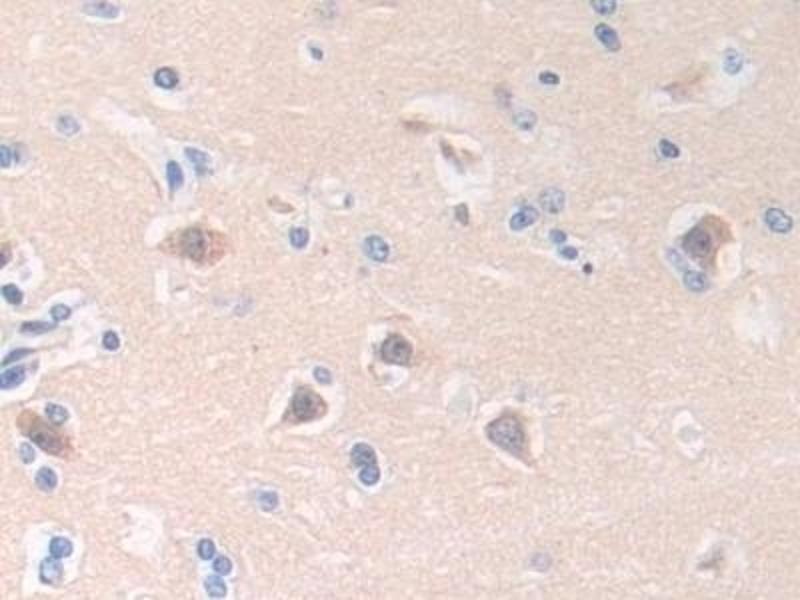
HLTF antibody (AA 837-996)

The Rabbit Polyclonal anti-HLTF antibody is suitable to detect HLTF in samples from Human. It has been validated for WB, IHC, ICC and IP.
Catalog No. ABIN7443560
$326.15
Plus shipping costs $50.00
Shipping to: United States
Delivery in 13 to 17 Business Days

Quick Overview for HLTF antibody (AA 837-996) (ABIN7443560)

Target

See all HLTF Antibodies
HLTF (Helicase-Like Transcription Factor (HLTF))

Reactivity

  • 72
  • 33
  • 14
  • 9
  • 9
  • 7
  • 4
  • 3
  • 3
  • 3
  • 1
Human

Host

  • 73
  • 1
Rabbit

Clonality

  • 50
  • 24
Polyclonal

Conjugate

  • 31
  • 4
  • 3
  • 3
  • 3
  • 3
  • 3
  • 3
  • 3
  • 2
  • 2
  • 2
  • 1
  • 1
  • 1
  • 1
  • 1
  • 1
  • 1
  • 1
  • 1
  • 1
  • 1
  • 1
This HLTF antibody is un-conjugated

Application

  • 47
  • 24
  • 17
  • 15
  • 13
  • 13
  • 11
  • 6
  • 4
  • 4
  • 3
  • 1
Western Blotting (WB), Immunohistochemistry (IHC), Immunocytochemistry (ICC), Immunoprecipitation (IP)
  • Binding Specificity

    • 15
    • 5
    • 5
    • 4
    • 2
    • 1
    • 1
    • 1
    • 1
    • 1
    • 1
    • 1
    • 1
    AA 837-996

    Purpose

    Polyclonal Antibody to Helicase Like Transcription Factor (HLTF)

    Specificity

    The antibody is a rabbit polyclonal antibody raised against HLTF. It has been selected for its ability to recognize HLTF in immunohistochemical staining and western blotting.

    Purification

    Antigen-specific affinity chromatography followed by Protein A affinity chromatography

    Immunogen

    Recombinant Helicase Like Transcription Factor (HLTF) corresdonding to Ala837~Lys996

    Isotype

    IgG
  • Application Notes

    Western blotting: 1-5 μg/mL,Immunocytochemistry in formalin fixed cells: 5-20 μg/mL,Immunohistochemistry in formalin fixed frozen section: 5-20 μg/mL,Immunohistochemistry in paraffin section: 5-20 μg/mL,Enzyme-linked Immunosorbent Assay: 0.05-2 μg/mL,Optimal working dilutions must be determined by end user.

    Comment

    The thermal stability is described by the loss rate. The loss rate was determined by accelerated thermal degradation test, that is, incubate the protein at 37°C for 48h, and no obvious degradation and precipitation were observed. The loss rate is less than 5% within the expiration date under appropriate storage condition.

    Restrictions

    For Research Use only
  • Format

    Liquid

    Concentration

    500 μg/mL

    Buffer

    0.01M PBS, pH 7.4, containing 0.05 % Proclin-300, 50 % glycerol.

    Preservative

    ProClin

    Precaution of Use

    This product contains ProClin: a POISONOUS AND HAZARDOUS SUBSTANCE which should be handled by trained staff only.

    Storage

    4 °C,-20 °C

    Storage Comment

    Store at 4°C for frequent use. Stored at -20°C in a manual defrost freezer for two year without detectable loss of activity. Avoid repeated freeze-thaw cycles.

    Expiry Date

    24 months
  • Target

    HLTF (Helicase-Like Transcription Factor (HLTF))

    Alternative Name

    HLTF

    Background

    HIP116A, HLTF1, RNF80, SMARCA3, SNF2L3, ZBU1, Sucrose nonfermenting protein 2-like 3, RING finger protein 80, DNA-binding protein/plasminogen activator inhibitor 1 regulator

    UniProt

    Q14527
You are here:
Chat with us!