Phone:
+1 877 302 8632
Fax:
+1 888 205 9894 (Toll-free)
E-Mail:
orders@antibodies-online.com

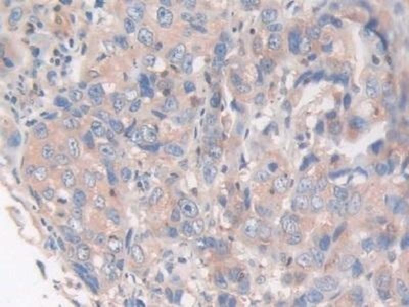
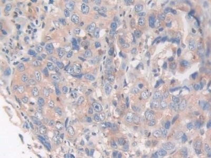
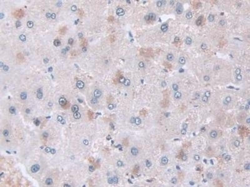
CAP2 antibody (AA 317-455)

The Rabbit Polyclonal anti-CAP2 antibody is suitable to detect CAP2 in samples from Human. It has been validated for WB, IHC, IP and ICC.
Catalog No. ABIN7435160
$326.15
Plus shipping costs $50.00
Shipping to: United States
Delivery in 13 to 17 Business Days

Quick Overview for CAP2 antibody (AA 317-455) (ABIN7435160)

Target

See all CAP2 Antibodies
CAP2 (Adenylyl Cyclase Associated Protein 2 (CAP2))

Reactivity

  • 49
  • 5
  • 4
  • 2
  • 2
  • 2
  • 1
  • 1
  • 1
Human

Host

  • 42
  • 7
Rabbit

Clonality

  • 33
  • 16
Polyclonal

Conjugate

  • 14
  • 4
  • 4
  • 2
  • 2
  • 2
  • 2
  • 2
  • 2
  • 2
  • 1
  • 1
  • 1
  • 1
  • 1
  • 1
  • 1
  • 1
  • 1
  • 1
  • 1
  • 1
  • 1
This CAP2 antibody is un-conjugated

Application

  • 24
  • 13
  • 13
  • 12
  • 11
  • 6
  • 3
  • 3
  • 2
  • 1
  • 1
Western Blotting (WB), Immunohistochemistry (IHC), Immunoprecipitation (IP), Immunocytochemistry (ICC)
  • Binding Specificity

    • 15
    • 6
    • 3
    • 1
    • 1
    • 1
    AA 317-455

    Purpose

    Polyclonal Antibody to Adenylyl Cyclase Associated Protein 2 (CAP2)

    Specificity

    The antibody is a rabbit polyclonal antibody raised against CAP2. It has been selected for its ability to recognize CAP2 in immunohistochemical staining and western blotting.

    Cross-Reactivity

    Mouse, Pig, Rat

    Purification

    Antigen-specific affinity chromatography followed by Protein A affinity chromatography

    Immunogen

    Recombinant Adenylyl Cyclase Associated Protein 2 (CAP2) corresdonding to Pro317~Ile455 (Accession # P40123)

    Isotype

    IgG
  • Application Notes

    Western blotting: 0.5-2 μg/mL,Immunohistochemistry: 5-20 μg/mL,Immunocytochemistry: 5-20 μg/mL,Optimal working dilutions must be determined by end user.

    Comment

    The thermal stability is described by the loss rate. The loss rate was determined by accelerated thermal degradation test, that is, incubate the protein at 37°C for 48h, and no obvious degradation and precipitation were observed. The loss rate is less than 5% within the expiration date under appropriate storage condition.

    Restrictions

    For Research Use only
  • Format

    Liquid

    Concentration

    500 μg/mL

    Buffer

    PBS, pH 7.4, containing 0.02 % Sodium azide, 50 % glycerol.

    Preservative

    Sodium azide

    Precaution of Use

    This product contains Sodium azide: a POISONOUS AND HAZARDOUS SUBSTANCE which should be handled by trained staff only.

    Storage

    4 °C,-20 °C

    Storage Comment

    Store at 4°C for frequent use. Stored at -20°C in a manual defrost freezer for two year without detectable loss of activity. Avoid repeated freeze-thaw cycles.

    Expiry Date

    24 months
  • Target

    CAP2 (Adenylyl Cyclase Associated Protein 2 (CAP2))

    Alternative Name

    CAP2

    UniProt

    P40123
You are here:
Chat with us!