Phone:
+1 877 302 8632
Fax:
+1 888 205 9894 (Toll-free)
E-Mail:
orders@antibodies-online.com

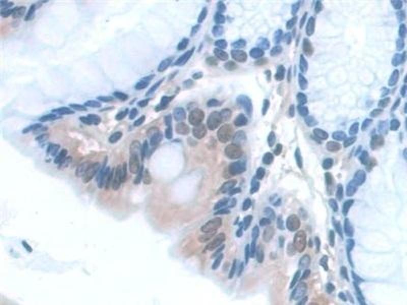
SNAP23 antibody (AA 1-210)

This Rabbit Polyclonal antibody specifically detects SNAP23 in WB, IHC, IP and ICC. It exhibits reactivity toward Mouse.
Catalog No. ABIN7444226
$333.16
Plus shipping costs $50.00
Shipping to: United States
Delivery in 13 to 17 Business Days

Quick Overview for SNAP23 antibody (AA 1-210) (ABIN7444226)

Target

See all SNAP23 Antibodies
SNAP23 (Synaptosomal-Associated Protein, 23kDa (SNAP23))

Reactivity

  • 75
  • 20
  • 19
  • 2
  • 2
  • 2
  • 1
  • 1
  • 1
  • 1
  • 1
Mouse

Host

  • 69
  • 4
  • 2
  • 1
  • 1
Rabbit

Clonality

  • 65
  • 12
Polyclonal

Conjugate

  • 40
  • 5
  • 4
  • 3
  • 2
  • 2
  • 2
  • 2
  • 2
  • 2
  • 1
  • 1
  • 1
  • 1
  • 1
  • 1
  • 1
  • 1
  • 1
  • 1
  • 1
  • 1
  • 1
This SNAP23 antibody is un-conjugated

Application

  • 41
  • 28
  • 26
  • 13
  • 13
  • 13
  • 10
  • 9
  • 6
  • 5
  • 5
  • 1
Western Blotting (WB), Immunohistochemistry (IHC), Immunoprecipitation (IP), Immunocytochemistry (ICC)
  • Binding Specificity

    • 15
    • 8
    • 6
    • 5
    • 5
    • 3
    • 2
    • 2
    • 2
    • 1
    • 1
    • 1
    • 1
    • 1
    • 1
    AA 1-210

    Purpose

    Polyclonal Antibody to Synaptosomal Associated Protein 23kDa (SNAP23)

    Specificity

    The antibody is a rabbit polyclonal antibody raised against SNAP23. It has been selected for its ability to recognize SNAP23 in immunohistochemical staining and western blotting.

    Cross-Reactivity

    Human, Rat

    Purification

    Antigen-specific affinity chromatography followed by Protein A affinity chromatography

    Immunogen

    Recombinant Synaptosomal Associated Protein 23kDa (SNAP23) corresdonding to Met1~Ser210

    Isotype

    IgG
  • Application Notes

    Western blotting: 0.5-2 μg/mL,Immunohistochemistry: 5-20 μg/mL,Immunocytochemistry: 5-20 μg/mL,Optimal working dilutions must be determined by end user.

    Comment

    The thermal stability is described by the loss rate. The loss rate was determined by accelerated thermal degradation test, that is, incubate the protein at 37°C for 48h, and no obvious degradation and precipitation were observed. The loss rate is less than 5% within the expiration date under appropriate storage condition.

    Restrictions

    For Research Use only
  • Format

    Liquid

    Concentration

    500 μg/mL

    Buffer

    0.01M PBS, pH 7.4, containing 0.05 % Proclin-300, 50 % glycerol.

    Preservative

    ProClin

    Precaution of Use

    This product contains ProClin: a POISONOUS AND HAZARDOUS SUBSTANCE which should be handled by trained staff only.

    Storage

    4 °C,-20 °C

    Storage Comment

    Store at 4°C for frequent use. Stored at -20°C in a manual defrost freezer for two year without detectable loss of activity. Avoid repeated freeze-thaw cycles.

    Expiry Date

    24 months
  • Target

    SNAP23 (Synaptosomal-Associated Protein, 23kDa (SNAP23))

    Alternative Name

    SNAP23

    Background

    SNAP23A, SNAP23B, Vesicle-membrane fusion protein SNAP-23

    UniProt

    O09044
You are here:
Chat with us!